Giải mã về tuyến giáp có nhân giảm âm
Tuyến giáp có nhân giảm âm là thuật ngữ trong chẩn đoán hình ảnh. Tuy đây là thuật ngữ mới lạ nhưng chúng ta cần hiểu rõ để biết tình trạng sức khỏe của mình hay người thân nếu gặp phải.
1. Tuyến giáp có nhân giảm âm là gì?
Nhân giáp giảm âm là một khối u hay đoạn bị phình to hơn bình thường và có màu tối hơn so với các nhu mô giáp xung quanh. Tính đặc trưng của nhân giáp giảm âm thường có thể dùng để đánh giá nguy cơ mắc bệnh tuyến giáp hoặc ung thư tuyến giáp trong chẩn đoán hình ảnh.
Các nguyên nhân gây ra nhân giáp giảm âm vẫn chưa được hiểu rõ hoàn toàn, nhưng một số yếu tố có thể góp phần vào việc hình thành nhân giáp bao gồm:
– Viêm giáp Hashimoto: Đây là một loại viêm nhiễm tự miễn, trong đó hệ thống miễn dịch của cơ thể tấn công tuyến giáp, gây viêm nhiễm và làm giảm hoạt động của tuyến giáp. Dấu hiệu tiêu biểu của viêm giáp Hashimoto là sưng to và đau nhức ở tuyến giáp.
– Thiếu i-ốt: i-ốt là một yếu tố cần thiết cho sản xuất hormon tuyến giáp. Nếu cơ thể thiếu i-ốt, tuyến giáp có thể phát triển một khối u để cố gắng sản xuất hormon.

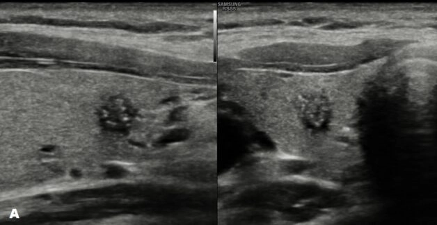
Hình ảnh tuyến giáp có nhân giảm âm
2. Triệu chứng của tuyến giáp có nhân giảm âm
Nhân giáp giảm âm thường không gây ra các triệu chứng rõ ràng và không thể nhận biết được bằng cách thường xuyên kiểm tra sức khỏe hoặc tự kiểm tra bản thân. Điều này làm cho việc phát hiện bệnh trở nên khó khăn và thường xảy ra khi nhân giáp đã phát triển đáng kể.
Khi nhân giáp giảm âm lớn hơn và gây áp lực hoặc chèn ép vào các cơ quan xung quanh, như khí quản hoặc thực quản, mới có thể xuất hiện các triệu chứng như khó nuốt, nuốt vướng hoặc thay đổi giọng nói. Do đó, quá trình chẩn đoán thường bắt đầu khi bệnh nhân cảm thấy khó chịu hoặc xuất hiện các triệu chứng này.
Vì tính không rõ ràng của triệu chứng và nguy cơ khiến nhân giáp phát triển lớn hơn, việc theo dõi và kiểm tra sức khỏe định kỳ, cũng như thăm khám y tế định kỳ, đặc biệt là nếu bạn có tiền sử gia đình về các bệnh liên quan đến tuyến giáp, có thể giúp trong việc phát hiện sớm vấn đề và thực hiện điều trị khi còn ở giai đoạn dễ điều trị hơn.
3. Cách chẩn đoán tuyến giáp có nhân giảm âm
Việc chẩn đoán và điều trị nhân giáp thường bắt đầu bằng việc phát hiện khối u tuyến giáp qua các phương pháp hình ảnh và xác định tình trạng của tuyến giáp bằng các xét nghiệm máu. Dưới đây là các bước chẩn đoán và điều trị nhân giáp:
3.1. Siêu âm tuyến giáp
Siêu âm tuyến giáp thường là bước đầu tiên trong việc xác định sự có mặt của nhân giáp. Siêu âm này sử dụng sóng siêu âm để tạo hình ảnh tuyến giáp và khối u, giúp bác sĩ xác định kích thước và vị trí của nhân giáp giảm âm.

Siêu âm để chẩn đoán nhân tuyến giáp giảm âm hay không
3.2. MRI tuyến giáp
MRI là một phương pháp hình ảnh sử dụng sóng từ từ từng hạt proton trong cơ thể để tạo ra hình ảnh. Kỹ thuật này không sử dụng tia X hoặc tia gamma, nên không có tác động ionizing lên cơ thể, làm cho nó an toàn hơn so với các phương pháp hình ảnh khác trong một số trường hợp. MRI tuyến giáp có thể được sử dụng để đánh giá các vấn đề khác nhau liên quan đến tuyến giáp, chẳng hạn như nhân giáp, các bất thường cơ bản, hoặc kiểm tra xem có các khối u hay bất thường trong tuyến giáp không.
MRI tuyến giáp thường được sử dụng khi bác sĩ cần có cái nhìn chi tiết về tuyến giáp hoặc để đánh giá tình trạng tuyến giáp trong trường hợp nghi ngờ về các vấn đề như tăng tuyến giáp, giảm tuyến giáp, hoặc sự xuất hiện của các khối u hay bất thường.
4. Cách điều trị tuyến giáp có nhân giảm âm
Điều trị tuyến giáp có nhân giảm âm có thể được thực hiện thông qua một số phương pháp, bao gồm đốt sóng cao tần, theo dõi, phẫu thuật và xạ trị. Lựa chọn phương pháp cụ thể sẽ phụ thuộc vào kích thước và tính chất của nhân giáp, tình trạng sức khỏe tổng quát của bệnh nhân và các yếu tố khác. Dưới đây là một cái nhìn tổng quan về mỗi phương pháp:
4.1. Điều trị tuyến giáp có nhân giảm âm là đốt sóng cao tần (RFA – Radiofrequency Ablation)
Đốt sóng cao tần là một phương pháp không phẫu thuật được sử dụng để điều trị nhân giảm âm tuyến giáp nhỏ và có tính chất không ác tính. Trong quy trình này, một kim nhỏ được đưa vào nhân giáp dưới hướng dẫn của siêu âm hoặc CT scan. Sau đó, sóng cao tần được sử dụng để nhiệt lên và tiêu diệt các tế bào bất thường trong nhân giáp. Phương pháp này thường không đòi hỏi phẫu thuật và có ít biến chứng sau điều trị.

Đốt sóng cao tần điều trị tuyến giáp
4.2. Điều trị tuyến giáp có nhân giảm âm bằng cách theo dõi bệnh lý
Nếu nhân giáp nhỏ và không gây ra triệu chứng hoặc nguy hiểm, bác sĩ có thể quyết định theo dõi tình trạng bằng cách thường xuyên kiểm tra và siêu âm tuyến giáp. Điều này áp dụng cho những trường hợp nhân giáp có tính chất lành tính và không cần can thiệp ngay lập tức.
4.3. Phẫu thuật
Nếu nhân giáp lớn, gây áp lực lên các cơ quan xung quanh hoặc bị nghi ngờ có tế bào ung thư, phẫu thuật cắt bỏ tuyến giáp (thyroidectomy) có thể là tùy chọn. Sau phẫu thuật, bệnh nhân sẽ phải sử dụng thuốc hormone để thay thế chức năng của tuyến giáp mất đi.
4.4. Xạ trị
Xạ trị thường được sử dụng khi nhân giáp có tế bào ung thư hoặc tình trạng cường giáp. Bệnh nhân uống một loại thuốc chứa iodine phóng xạ, và tuyến giáp sẽ thu thập iodine này. Phóng xạ iodine sau đó tiêu diệt các tế bào ung thư trong tuyến giáp. Điều này thường được sử dụng sau phẫu thuật để loại bỏ tuyến giáp còn lại hoặc sau khi chẩn đoán ung thư tuyến giáp.
Việc chọn lựa phương pháp điều trị tuyến giáp có nhân giảm âm sẽ dựa vào sự đánh giá của bác sĩ và tình trạng của bệnh nhân. Chẩn đoán và điều trị tuyến giáp nhân giảm âm nên được thực hiện bởi các chuyên gia y tế có kinh nghiệm trong lĩnh vực tuyến giáp để đảm bảo quyết định điều trị đúng đắn và an toàn cho bệnh nhân.