Cấp cứu:0901793122
English
Bệnh Viện Đa Khoa Quốc Tế Thu Cúc | TCI Hospital
Chăm sóc sức khoẻ trọn đời cho bạn
Tổng đài1900558892
Tư vấn

Tư vấn

Trang chủ/Tư vấn
U xơ tử cung có nguy hiểm không?

U xơ tử cung có nguy hiểm không?

Chào bác sĩ! Mẹ em năm nay 50 tuổi. Thời gian gần đây, mẹ em thường xuyên bị táo bón, đau lưng, mót tiểu nhiều lần trong ngày. Mẹ em đi khám thì bác sĩ kết luận bị u xơ tử cung. Dù đã được bác sĩ giải đáp khá chi tiết về căn bệnh […]
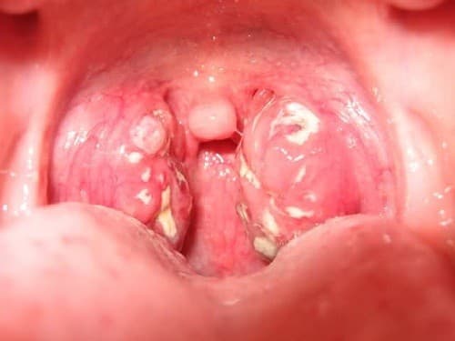
Bệnh viêm amidan có lây không?

Bệnh viêm amidan có lây không?

Nhiều bệnh nhân cho rằng các bệnh về đường hô hấp có khả năng lây lan, trong đó có bệnh viêm amidan. Vậy viêm amidan có lây không? Phương hướng điều trị và phòng tránh căn bệnh này thế nào? Cùng tìm hiểu qua bài viết sau đây. 1. Bệnh viêm amidan và tính chất […]
U tuyến giáp lành tính có cần phẫu thuật không?

U tuyến giáp lành tính có cần phẫu thuật không?

Chào chuyên mục tư vấn sức khỏe Bệnh viện Đa khoa Quốc tế Thu Cúc! Tôi đã đi khám và được chẩn đoán bị u tuyến giáp lành tính. Hiện tại tôi đang dùng thuốc điều trị bệnh. Bác sĩ cho tôi hỏi u tuyến giáp lành tính có cần phẫu thuật không? Mặc dù nó […]
Chửa bụng dưới có ảnh hưởng gì tới thai nhi không?

Chửa bụng dưới có ảnh hưởng gì tới thai nhi không?

Chào bác sĩ. Năm nay em 27 tuổi mang thai lần đầu. Thai của em được 22 tuần tuổi. Ai cũng bảo em mang thai bụng dưới. Bác sĩ cho em hỏi chửa bụng dưới có ảnh hưởng gì tới thai nhi không? Em nên ăn uống như thế nào cho hợp lý? Thu Phương […]
Xuất huyết nang buồng trứng có nguy hiểm không

Xuất huyết nang buồng trứng có nguy hiểm không

Chào chuyên mục tư vấn sức khỏe Bệnh viện Đa khoa Quốc tế Thu Cúc! Em bị đau bụng ở vùng dưới đã mấy ngày nhưng không thấy bớt, hôm nay em mới đi khám thì được chẩn đoán là bị xuất huyết nang buồng trứng. Xin bác sĩ tư vấn giúp tình trạng bệnh […]
Cắt amidan có hại gì không?có khỏi hoàn toàn được không

Cắt amidan có hại gì không?có khỏi hoàn toàn được không

Chào bác sĩ. Bé nhà cháu bị viêm amidan, 2 bên amidan sưng to khiến bé thường xuyên đau họng, sốt, ăn uống kém. Mọi người đều bảo cháu nên cho bé đi cắt amidan nhưng cháu rất lo lắng không biết cắt amidan có hại gì không? Sau khi cắt amidan bệnh có khỏi […]
U tuyến giáp kiêng ăn gì? bệnh rất quan trọng

U tuyến giáp kiêng ăn gì? bệnh rất quan trọng

Chào chuyên mục tư vấn sức khỏe Bệnh viện Đa khoa Quốc tế Thu Cúc! Tôi đang băn khoăn không biết bị u tuyến giáp kiêng ăn gì tốt cho tình trạng bệnh?Tôi đang dùng thuốc điều trị u tuyến giáp. Tôi nghe nói chế độ ăn khi bị bệnh rất quan trọng, nên mong […]
Bệnh quai bị có lây không? phòng ngừa nguy cơ

Bệnh quai bị có lây không? phòng ngừa nguy cơ

Chào bác sĩ. Anh trai cháu mắc bệnh quai bị. Cháu rất lo lắng sợ bị mắc bệnh từ anh. Bác sĩ cho cháu hỏi bệnh quai bị có lây không? Làm thế nào để phòng ngừa nguy cơ mắc bệnh? Cháu xin cảm ơn!  hoangnhatminh@gmail.com Trả lời Chào bạn. Cảm ơn bạn đã gửi câu hỏi về […]
Nạo VA cho bé nên tiến hành nạo VA cho bé sớm

Nạo VA cho bé nên tiến hành nạo VA cho bé sớm

Chào chuyên mục tư vấn sức khỏe Bệnh viện Đa khoa Quốc tế Thu Cúc! Vừa rồi cháu có đưa bé đi khám thì được kết luận mắc viêm VA. Bác sĩ cũng tư vấn nên tiến hành nạo VA cho bé sớm. Bác sĩ cho cháu hỏi bệnh viêm VA có nhất thiết phải nạo […]
Khàn tiếng uống gì? hết bệnh nên tôi không đi khám

Khàn tiếng uống gì? hết bệnh nên tôi không đi khám

Chào chuyên mục tư vấn sức khỏe Bệnh viện Đa khoa Quốc tế Thu Cúc! Tôi đang băn khoăn không biết khàn tiếng uống gì phù hợp? Tôi bị khàn tiếng 2 ngày nay chưa khỏi. Do chủ quan cứ nghĩ một vài hôm là hết bệnh nên tôi không đi khám. Mong bác sĩ […]
Viêm amidan hốc mủ có nguy hiểm không?

Viêm amidan hốc mủ có nguy hiểm không?

Chào chuyên mục tư vấn sức khỏe Bệnh viện Đa khoa Quốc tế Thu Cúc! Vừa rồi đi khám tôi được chẩn đoán bị viêm amidan hốc mủ. Tôi rất lo lắng không biết bệnh viêm amidan hốc mủ có nguy hiểm không? Bác sĩ bảo tôi phải phẫu thuật cắt amidan. Không biết còn […]
Chảy máu sau khi cắt amidan cần lưu ý điều gì

Chảy máu sau khi cắt amidan cần lưu ý điều gì

Hỏi: Chào bác sĩ. Em mới cắt amidan đã được hơn mười ngày rồi nhưng hôm qua em lại chảy ra 1 ít máu tươi. Bác sĩ cho em hỏi chảy máu sau khi cắt amidan có ảnh hưởng gì không ạ? Em xin cảm ơn. Băng Nhi (Mai Dịch, Cầu Giấy, HN) Trả lời: […]
Mổ ruột thừa bao nhiêu tiền? tại Bệnh viện Thu Cúc

Mổ ruột thừa bao nhiêu tiền? tại Bệnh viện Thu Cúc

Chào bác sĩ, tôi muốn hỏi mổ ruột thừa bao nhiêu tiền tại Bệnh viện Thu Cúc? Và bệnh viện có áp dụng thanh toán theo bảo hiểm không? Xin cảm ơn. Nguyễn Thanh Hiền (Long Biên, Hà Nội) Trả lời: Chào bạn, cảm ơn bạn đã gửi câu hỏi tới chuyên mục tư vấn […]
Sau mổ sỏi thận nên ăn gì? thực phẩm tốt nhất

Sau mổ sỏi thận nên ăn gì? thực phẩm tốt nhất

Chào bác sĩ, cháu muốn hỏi là sau mổ sỏi thận nên ăn gì. Bố cháu đang chuẩn bị mổ lấy sỏi thận nên cháu muốn nhờ bác sĩ tư vấn giúp về cách ăn uống. Mong bác sĩ trả lời giúp cháu ạ. Cháu cảm ơn. Trần Thị Trà My (Ba Đình, Hà Nội) […]
Nội soi dạ dày có phải nhịn ăn không?

Nội soi dạ dày có phải nhịn ăn không?

Chào bác sĩ, em muốn hỏi là nội soi dạ dày có phải nhịn ăn không. Dạo này em hay bị đầy hơi, khó tiêu, ăn uống không ngon miệng và sụt cân nên muốn tới bệnh viện Thu Cúc để kiểm tra, làm nội soi dạ dày xem có vấn đề gì không. Tuy […]
1900558892
zaloChat