Viêm amidan hốc mủ có nguy hiểm không?
Chào chuyên mục tư vấn sức khỏe Bệnh viện Đa khoa Quốc tế Thu Cúc! Vừa rồi đi khám tôi được chẩn đoán bị viêm amidan hốc mủ. Tôi rất lo lắng không biết bệnh viêm amidan hốc mủ có nguy hiểm không? Bác sĩ bảo tôi phải phẫu thuật cắt amidan. Không biết còn phương pháp nào điều trị hiệu quả mà không phải cắt amidan không? Tuấn Anh (27 tuổi, Từ Liêm, HN)
Trả lời
Chào anh. Cảm ơn anh đã gửi câu hỏi về địa chỉ hòm thư contact@thucuchospital.vn của Bệnh viện Đa khoa Quốc tế Thu Cúc. Với thắc mắc “viêm amidan hốc mủ có nguy hiểm không” của chị, chúng tôi xin được giải đáp như sau:
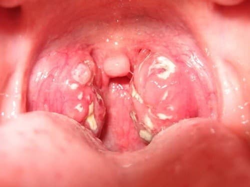
Với cấu trúc vòm họng được phân chia thành nhiều hốc, ngăn, vi khuẩn, nên amidan dễ dàng bị vi khuẩn xâm nhập, lâu ngày tạo nên các khối mủ bã đậu và vón cục. Đồng thời với sự cọ xát của thức ăn khi đi qua thành họng, các kém mủ trong hốc amidan bị bật ra. Mủ có hình dạng như hạt tấm, có màu trắng xanh và mùi hôi.
Viêm amidan hốc mủ là bệnh lý nguy hiểm cần phải điều trị sớm
Cũng giống như bạn, nhiều cũng có chung thắc mắc viêm amidan hốc mủ có nguy hiểm không? Đây là bệnh viêm nhiễm nặng cần phải điều trị đúng phương pháp mới cải thiện được tình trạng bệnh, cũng như ngăn ngừa biến chứng.
Thông thường bị viêm amidan hốc mủ, người bệnh sẽ được chỉ định điều trị bằng phương pháp cắt amidan. Tuy nhiên phương pháp này chỉ áp dụng trong một số trường hợp người bệnh bị viêm amidan từ 3-5 lần một năm, viêm amidan làm hơi thở hôi do vi khuẩn gây ra hoặc có các biến chứng nguy hiểm như viêm tấy, áp xe quanh amidan, viêm xoang, viêm phế quản, thấp tim…
Phẫu thuật cắt amidan là giải pháp hiệu quả cho những trường hợp bị viêm amidan hốc mủ
Trường hợp của bạn được chỉ định cắt amidan thì bạn nên tiến hành phẫu thuật cắt amidan sớm. Đây là một thủ thuật đơn giản nhưng cần được thực hiện tại các cơ sở y tế, bệnh viện có đủ trang thiết bị y tế và đội ngũ bác sĩ giỏi để không gây biến chứng sau phẫu thuật hoặc tái phát bệnh.
Khi bị viêm amidan hốc mủ anh cần phẫu thuật cắt amidan mới có thể cải thiện nhanh chóng tình trạng bệnh. Anh nên tuân thủ theo đúng chỉ định điều trị của bác sĩ và tái khám định kỳ để theo dõi tình trạng bệnh.
Nếu còn thắc mắc hay cần được tư vấn hỗ trợ thêm, mời độc giả liên hệ với Bệnh viện Đa khoa Quốc tế Thu Cúc theo số điện thoại 0936 388 288 hoặc 1900 55 88 92.










