Cấp cứu:0901793122
English
Bệnh viện đa khoa Quốc Tế Thucuc | Hệ thống y tế TCI Hospital
Chăm sóc sức khoẻ trọn đời cho bạn
Tổng đài1900558892
Tư vấn

Tư vấn

Trang chủ/Tư vấn
Vô kinh có thể có con không? chưa từng thấy kinh nguyệt

Vô kinh có thể có con không? chưa từng thấy kinh nguyệt

Chào bác sĩ! Em năm nay 25 tuổi, chưa từng thấy kinh nguyệt lần nào. Em đi khám thì được biết mình bị vô kinh. Xin hỏi bác sĩ, vô kinh có ảnh hưởng gì đến sức khỏe không? Vô kinh có thể có con không, thưa bác sĩ? Mong bác sĩ giải đáp sớm! […]
Bị lậu khi mang thai có nguy hiểm không?

Bị lậu khi mang thai có nguy hiểm không?

Chào bác sĩ! Em năm nay 27 tuổi, đang mang thai tháng thứ 4. Em đang bị sốc rất nặng khi vô tình phát hiện chồng mắc bệnh lậu. Em gặng hỏi thì được biết, chồng em đi công tác xa và đã có quan hệ với gái mại dâm. Do không biết mình mắc bệnh nên […]
Bệnh cường giáp kiêng ăn gì?Điều trị rồi nhưng lại tái phát

Bệnh cường giáp kiêng ăn gì?Điều trị rồi nhưng lại tái phát

Thưa Bác Sĩ ! Em 16 tuổi em bị bệnh cường giáp. Điều trị rồi nhưng lại tái phát. Bác sĩ cho cháu hỏi bệnh cường giáp kiêng ăn gì khi bị bệnh?  Ngọc Bích (28 tuổi, Hà Nội) Trả lời Chào Bích! Cảm ơn bạn đã có câu hỏi gửi về hòm thư của Bệnh […]
Vô sinh có chữa trị được không?

Vô sinh có chữa trị được không?

Chào bác sĩ! Vợ chồng em lấy nhau đã 3 năm nhưng chưa có con. Chúng em có đi khám thì bác sĩ chẩn đoán chồng em bị vô sinh do không có tinh trùng trong tinh dịch. Nhận kết quả, vợ chồng em rất buồn. Tuy nhiên, chúng em vẫn muốn hỗ trợ điều trị […]
Cách cải thiện rối loạn cương dương ở nam giới

Cách cải thiện rối loạn cương dương ở nam giới

Chào bác sĩ! Tôi năm nay 35 tuổi, đang bị rối loạn cương dương. Cụ thể là đang “lầm trận” thì cậu nhỏ đã không còn cương được nữa. Tình trạng này lặp đi lặp lại trong khoảng hơn 1 tháng nay. Tôi đã rất buồn và lo lắng. Xin bác sĩ tư vấn giúp […]
Bệnh viện Thu Cúc có khám nhi ngoài giờ không?

Bệnh viện Thu Cúc có khám nhi ngoài giờ không?

Chào bác sĩ, Mong bác sĩ cho biết Bệnh viện Thu Cúc có khám nhi ngoài giờ không. Bé nhà em năm nay là được gần 1 tuổi, trước giờ sức khỏe vẫn bình thường nhưng dạo này lại hay ho. Bình thường em vẫn cố gắng đưa bé tới Thu Cúc để khám, tuy […]
Khám phụ khoa ngoài giờ tại Bệnh viện Thu Cúc

Khám phụ khoa ngoài giờ tại Bệnh viện Thu Cúc

Chào bác sĩ, Bệnh viện Thu Cúc có khám phụ khoa ngoài giờ không ạ? Em đang có nhu cầu khám kiểm tra phụ khoa định kỳ nhưng công việc thời gian gần đây lại rất bận,  chỉ có thể thu xếp để khám sau khi làm xong. Mong bác sĩ trả lời sớm giúp […]
Liệt dương có chữa được không?

Liệt dương có chữa được không?

Chào bác sĩ! Tôi năm nay 33 tuổi. Khoảng 3 tháng trở lại đây tôi gặp trục trặc về vấn đề cương dương. Khi gần gũi bạn gái, dương vật của tôi không cương cứng được. Tôi rất buồn và lo lắng! Xin hỏi bác sĩ, liệt dương có chữa được không? Tôi bị như […]
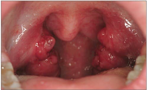
Viêm amidan mạn tính có nên cắt?

Viêm amidan mạn tính có nên cắt?

Chào bác sĩ, cháu năm nay 20 tuổi, có tiền sử bị viêm amidan mạn tính. Gần đây, cháu có ăn uống đồ chiên, đồ lạnh khá nhiều. Bệnh viêm amidan của cháu lại tái phát, trên  amidan có những hạt trắng trắng, cổ họng hay có đờm. Bác sĩ cho cháu hỏi viêm amidan […]
Khi nào cần nội soi đại tràng?

Khi nào cần nội soi đại tràng?

Chào bác sĩ. Tôi hay bị rối loạn tiêu hóa, vùng bụng dưới có lúc trướng khó chịu, đi ngoài 3-4 lần/ngày (lúc táo, lúc lỏng, có khi phân lẫn máu). Đã uống nhiều thuốc không khỏi. Có người khuyên nên đi nội soi đại tràng. Bác sĩ cho tôi hỏi khi nào cần nội […]
Lịch khám bệnh ngoài giờ tại Bệnh viện Thu Cúc

Lịch khám bệnh ngoài giờ tại Bệnh viện Thu Cúc

Chào bác sĩ, em muốn hỏi về lịch khám bệnh ngoài giờ tại Bệnh viện Thu Cúc cụ thể như thế nào ạ? Được biết bệnh viện có dịch vụ khám ngoài giờ hành chính, em dự định đưa bé tới để kiểm tra sức khỏe cho cả hai mẹ con. Em muốn biết cụ […]
Cắt một bên buồng trứng thì có thai được hay không?

Cắt một bên buồng trứng thì có thai được hay không?

Cách đây 2 năm tôi bị u nang buồng trứng và phải cắt bỏ một bên. Từ đó đến nay sức khỏe của tôi bình thường. Bây giờ, vợ chồng tôi muốn sinh em bé nhưng đã 4 tháng mà chưa có tin vui. Bác sĩ cho tôi hỏi, nếu bị cắt một bên buồng trứng thì có […]
Nhau tiền đạo nguy hiểm như thế nào?

Nhau tiền đạo nguy hiểm như thế nào?

Chào bác sĩ! Tôi theo dõi trên báo chí thì thấy có rất nhiều trường hợp sản phụ tử vong do nhau tiền đạo. Do đó, tôi rất tò mò muốn biết, nhau tiền đạo là gì. Xin hỏi bác sĩ, nhau tiền đạo là gì? Nhau tiền đạo nguy hiểm như thế nào? Cảm […]
Giãn tĩnh mạch thừng tinh nên kiêng gì?

Giãn tĩnh mạch thừng tinh nên kiêng gì?

Chào bác sĩ. Tôi vừa tiến hành phẫu thuật giãn tĩnh mạch thừng tinh. Tuy nhiên tôi rất lo lắng sợ bệnh không khỏi hoàn toàn. Bác sĩ cho tôi hỏi bệnh của tôi có nặng lắm không? Bị giãn tĩnh mạch thừng tinh nên kiêng gì trong khi hỗ trợ điều trị bệnh. Tôi […]
Ốm nghén nặng có ảnh hưởng đến thai nhi không?

Ốm nghén nặng có ảnh hưởng đến thai nhi không?

Chào bác sĩ! Em năm nay 25 tuổi, mang thai lần đầu. Hiện thai của em được 8 tuần. Em bị ốm nghén rất nặng, không ăn uống được gì, thường xuyên nôn ói, người mệt mỏi không còn sức lực. Hiện em đã sút mất 2 kg so với thời điểm trước khi có […]
Xử lý thế nào khi rò hậu môn tái phát?

Xử lý thế nào khi rò hậu môn tái phát?

Chào bác sĩ, tôi bị bệnh rò hậu môn đã được phẫu thuật nhưng tôi nghe nói bệnh này có thể dễ tái phát lại. Không biết nên xử lý thế nào khi rò hậu môn tái phát lại? Việc tái phát bệnh có nguy hiểm không? (Duy Hưng – Cầu Giấy, HN) Trả lời […]
1900558892
zaloChat