Viêm amidan mạn tính có nên cắt?
Chào bác sĩ, cháu năm nay 20 tuổi, có tiền sử bị viêm amidan mạn tính. Gần đây, cháu có ăn uống đồ chiên, đồ lạnh khá nhiều. Bệnh viêm amidan của cháu lại tái phát, trên amidan có những hạt trắng trắng, cổ họng hay có đờm. Bác sĩ cho cháu hỏi viêm amidan mạn tính có nên cắt không? Những lần trước cháu chỉ uống thuốc điều trị bệnh. Mong sớm nhận được tư vấn của bác sĩ. Cháu cảm ơn!
quoctuanhn@gmail.com
Trả lời
Bạn Quốc Tuấn thân mến!
Viêm Amidan là một trong những bệnh lý về tai mũi họng thường gặp ở trẻ em và người lớn. Bệnh có thể diễn tiến cấp tính hoặc mạn tính…ảnh hưởng tới sức khỏe.
Bệnh viêm amidan mạn tính thường biểu hiện bằng những đợt viêm amidan cấp tái diễn, giữa các đợt này thường có phản ứng viêm dai dẳng hơn 4 tuần nhưng không rầm rộ. Vi khuẩn gây bệnh chủ yếu là vi khuẩn gram dương, hay gặp là liên cầu tan huyết bêta nhóm A.
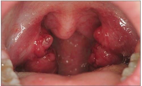
Viêm amidan mạn tính thường hay tái đi tái lại nhiều lần ảnh hưởng tới sức khỏe
Triệu chứng chủ yếu như đau họng tái đi tái lại, sốt nhẹ, đau tai, hạch cổ to lên (do phản ứng viêm của cơ thể), khó nuốt, hơi thở hôi, khạc ra chất bã đậu hôi. Khi khám thấy amidan to hoặc teo, nhưng bề mặt amidan có nhiều chấm trắng như bã đậu.
Viêm amidan là bệnh có thể gây ra nhiều biến chứng và di chứng nguy hiểm. Cần phải được điều trị sớm, nên bắt đầu bằng điều trị thuốc trong trường hợp viêm amidan cấp họặc đợt cấp tái diễn của viêm amidan mạn. Tuy nhiên cũng có nhiều trường hợp viêm amidan dùng thuốc không mang lại hiệu quả cao. Vậy viêm amidan mạn tính có nên cắt?
Hiện nay, cắt amidan là phương pháp điều trị hữu hiệu khi được chỉ định nhằm loại bỏ tổ chức amidan không còn vai trò miễn dịch và trở thành một ổ viêm chứa đầy các loại vi khuẩn hoặc quá phát gây chèn ép đường hô hấp trên hoặc nghi ngờ phát triển thành u ác tính. Trường hợp của bạn nên tiến hành cắt bỏ amidan để cải thiện tình trạng sức khỏe và ngăn ngừa những biến chứng nguy hiểm có thể xảy ra.
Có thể cắt amidan ở bất kỳ lứa tuổi nào nhưng thường sau 4 tuổi. Tuy nhiên, có trường hợp trẻ nhỏ hơn vẫn phải cắt amidan khi amidan quá to gây những cơn ngưng thở trong lúc ngủ hoặc gây biến chứng.
Để điều trị hiệu quả viêm amidan mạn tính, người bệnh cần tìm đến bệnh viện để các bác sĩ trực tiếp thăm khám và điều trị hiệu quả
Không được cắt amidan ở bệnh nhân có rối loạn đông cầm máu bẩm sinh hoặc bệnh máu mắc phải (Hemophilia A, B, C; suy tủy, xuất huyết giảm tiểu cầu, ung thư máu…).
Để hạn chế viêm amidan mạn tính tái phát sau khi cắt, bạn phải chú ý giữ gìn vệ sinh, giữ ấm vùng mũi họng, tránh môi trường sống ô nhiễm, tránh dùng những thức ăn quá nóng hoặc quá lạnh, vệ sinh răng miệng sau khi ăn, súc miệng bằng nước muối pha loãng (1 thìa cà phê muối pha với 0,5 lít nước). Không nên pha quá mặn sẽ làm hỏng niêm mạc họng.
Tốt nhất bạn vẫn nên đi khám lại tại các bệnh viện có chuyên khoa Tai mũi họng để các bác sĩ chỉ định phương pháp chữa trị phù hợp.
Chúc bạn mau khỏi bệnh!










