Cấp cứu:0901793122
English
Bệnh Viện Đa Khoa Quốc Tế Thu Cúc | TCI Hospital
Chăm sóc sức khoẻ trọn đời cho bạn
Tổng đài1900558892
viêm amidan

viêm amidan

Trang chủ/viêm amidan
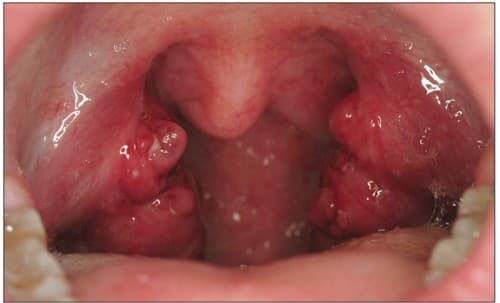
Chữa viêm amidan theo nhiều cách khác nhau

Chữa viêm amidan theo nhiều cách khác nhau

Hiện nay, có nhiều cách chữa viêm amidan được mọi người thường xuyên áp dụng như dùng mật ong, dùng thuốc tây y và phẫu thuật cắt amidan. Tuy nhiên không phải trường hợp nào cũng áp dụng chung một cách điều trị. Viêm amidan là nhóm bệnh hay gặp, đứng hàng đầu trong những […]
Phương pháp điều trị viêm amidan cấp

Phương pháp điều trị viêm amidan cấp

Hiện nay, phương pháp điều trị viêm amidan cấp chủ yếu là dùng thuốc. Bệnh có thể tiến triển thành mạn tính nếu không điều trị kịp thời. Vì thế người bệnh cần tuân thủ theo đúng chỉ định điều trị của bác sĩ để đạt hiệu quả cao nhất. 1. Bệnh viêm amidan cấp […]
Dấu hiệu viêm amidan nhiều người không phát hiện sớm bệnh

Dấu hiệu viêm amidan nhiều người không phát hiện sớm bệnh

Do không nắm được những dấu hiệu viêm amidan nên nhiều người không phát hiện sớm bệnh. Nhiều trường hợp cứ nghĩ viêm họng thông thường nên tự dùng thuốc điều trị. Điều này đã gây ảnh hưởng xấu tới sức khỏe và tình trạng bệnh. Trẻ em và trẻ vị thành niên là đối […]
Cắt amidan có tốt không? trường hợp nào cũng cần cắt amidan

Cắt amidan có tốt không? trường hợp nào cũng cần cắt amidan

Phẫu thuật cắt amidan rất phổ biến nhưng nhiều người vẫn còn băn khoăn không biết cắt amidan có tốt không? Không phải trường hợp nào cũng cần cắt amidan. Nếu cắt không đúng kỹ thuật có thể để lại biến chứng sau phẫu thuật, ảnh hưởng tới sức khỏe. 1. Khi nào cần cắt […]
Biểu hiện viêm amidan cách điều trị hiệu quả

Biểu hiện viêm amidan cách điều trị hiệu quả

Nhận biết các biểu hiện viêm amidan là rất cần thiết. Bệnh tiến triển thành từng đợt, có thể tự khỏi, có thể đưa đến biến chứng tại chỗ hoặc toàn thân, có khi rất nguy hiểm như thấp tim. Vì thế cần nhận biết các biểu hiện của bệnh để có cách điều trị hiệu […]
Chữa viêm amidan bằng thảo dược

Chữa viêm amidan bằng thảo dược

Chữa viêm amidan bằng thảo dược giúp làm giảm triệu chứng và tăng tốc độ phục hồi cho người bệnh. Tuy nhiên các loại thảo mộc có thể gây tác dụng phụ, do đó tốt nhất nên hỏi ý kiến bác sĩ trước khi sử dụng. Ngoài ra một số trường hợp viêm amidan, thảo […]
Cách chữa sưng amidan tình trạng sưng và người bệnh

Cách chữa sưng amidan tình trạng sưng và người bệnh

Cách chữa sưng amidan phụ thuộc vào nguyên nhân dẫn tới tình trạng này. Sưng amidan có thể xuất phát từ nhiều nguyên nhân, chẳng hạn như biến chứng của viêm họng do liên cầu khuẩn hay vi rút gây cảm cúm… Ngoài ra cách chữa sưng amidan cũng dựa trên mức độ nghiêm trọng […]
Cách chữa bệnh amidan nên đi khám để biết chính xác nguyên nhân

Cách chữa bệnh amidan nên đi khám để biết chính xác nguyên nhân

Cách chữa bệnh viêm amidan tùy thuộc vào nguyên nhân gây bệnh. Mặc dù viêm amidan thông thường có thể tự khỏi mà không cần phải điều trị nhưng cũng có trường hợp bệnh gây ra nhiều biến chứng nghiêm trọng nếu không điều trị hoặc điều trị không đúng cách. Vì thế khi có […]
Bệnh viêm VA là gì?Cách nhận biết và điều trị như thế nào

Bệnh viêm VA là gì?Cách nhận biết và điều trị như thế nào

Tỷ lệ viêm VA chiếm khoảng 30% các bệnh nhiễm khuẩn đường hô hấp trên ở trẻ nhỏ. Bệnh thường tái phát và có thể gây ra các biến chứng nguy hiểm. Tìm hiểu bệnh viêm VA là gì? Cách nhận biết và điều trị như thế nào sẽ được chúng tôi cung cấp qua […]
Viêm amidan hốc mủ là gì? gây ra nhiều biến chứng

Viêm amidan hốc mủ là gì? gây ra nhiều biến chứng

Viêm amidan hốc mủ là gì? Làm thế nào để phát hiện và điều trị sớm bệnh…là câu hỏi được nhiều người đặt ra.  Viêm amidan hốc mủ nếu không được phát hiện và điều trị sớm sẽ gây ra nhiều biến chứng nguy hiểm. Amidan nằm ở vị trí cầu nối giữa đường thở […]
Các bước trị viêm amidan tại nhà hiệu quả, dễ áp dụng

Các bước trị viêm amidan tại nhà hiệu quả, dễ áp dụng

Viêm amidan là một trong những bệnh lý đường hô hấp nguy hiểm, tiềm ẩn nhiều biến chứng nếu không điều trị đúng cách và dứt điểm. Tìm hiểu ngay các bước trị viêm amidan tại nhà dễ dàng áp dụng ngay sau đây! 1. Về bệnh viêm amidan 1.1. Viêm amidan là gì? Amidan […]
Nguyên nhân gây bệnh viêm amidan

Nguyên nhân gây bệnh viêm amidan

Tìm hiểu nguyên nhân gây bệnh viêm amidan để từ đó có cách phòng tránh hiệu quả là việc làm rất cần thiết. Bởi đây là bệnh phổ biến, có thể xảy ra ở mọi lứa tuổi, nếu không điều trị kịp thời sẽ dẫn tới nhiều biến chứng nghiêm trọng. Nguyên nhân thường gặp […]
Cách chữa viêm amidan mạn tính

Cách chữa viêm amidan mạn tính

Viêm amidan mạn tính có thể gặp ở mọi lứa tuổi, bất cứ ai cũng có thể mắc bệnh. Tỷ lệ mắc amidan chiếm khoảng gần 20% dân số. Bệnh dễ gây biến chứng nên cần có cách chữa viêm amidan mạn tính phù hợp, kịp thời. Thông thường, viêm amidan mạn tính là do […]
Cắt amidan trong trường hợp nào?

Cắt amidan trong trường hợp nào?

Nhiều người cứ nghĩ rằng bị viêm amidan là phải cắt bỏ, tuy nhiên thực tế không phải vậy. Tùy từng trường hợp mà có phác đồ điều trị phù hợp. Vậy cắt amidan trong trường hợp nào? Theo các chuyên gia y tế,  bệnh hay gặp nhất của amidan là viêm. Viêm amidan có […]
Bệnh viêm amidan có lây không?

Bệnh viêm amidan có lây không?

Nhiều bệnh nhân cho rằng các bệnh về đường hô hấp có khả năng lây lan, trong đó có bệnh viêm amidan. Vậy viêm amidan có lây không? Phương hướng điều trị và phòng tránh căn bệnh này thế nào? Cùng tìm hiểu qua bài viết sau đây. 1. Bệnh viêm amidan và tính chất […]
Tìm hiểu về cách chữa bệnh viêm amidan

Tìm hiểu về cách chữa bệnh viêm amidan

Viêm amidan là bệnh lý đường hô hấp thường gặp với các triệu chứng khó chịu và khiến sức khoẻ, tinh thần người bệnh giảm sút. Cùng theo dõi ngay bài viết sau để tìm hiểu về cách chữa bệnh viêm amidan và phòng ngừa mắc bệnh hiệu quả. 1. Viêm amidan là gì? Amidan […]
Triệu chứng viêm amidan hốc mủ

Triệu chứng viêm amidan hốc mủ

Khi bạn bị đau họng, ho, sốt hoặc thấy có mủ quanh amidan thì có thể đó là những triệu chứng viêm amidan hốc mủ. Nhiều người do thiếu kiến thức về căn bệnh này nên không phát hiện sớm. Viêm amidan hốc mủ nếu không được điều trị kịp thời có thể gây biến […]
Cách làm giảm đau amidan nuốt đau, nuốt vướng

Cách làm giảm đau amidan nuốt đau, nuốt vướng

Bệnh nhân viêm amidan thường có biểu hiện như nuốt đau, nuốt vướng, khô rát, nóng ở cổ họng. Trường hợp amidan sưng viêm sẽ gây sốt và mệt mỏi. Để làm giảm bớt sự khó chịu và các cơn đau do amidan, hãy chú ý tìm hiểu bệnh, các biện pháp điều trị và […]
Trước khi cắt amidan cần chuẩn bị gì?

Trước khi cắt amidan cần chuẩn bị gì?

Trước khi cắt amidan cần chuẩn bị gì để phẫu thuật diễn ra thuận lợi và an toàn là thắc mắc chung của nhiều người bệnh. Nhìn chung trước khi chuẩn bị cắt amidan, bệnh nhân sẽ được bác sĩ điều trị hướng dẫn chi tiết về những điều cần lưu ý. Trước khi cắt […]
Viêm amidan bệnh lý hay gặp ở cả người lớn và trẻ em

Viêm amidan bệnh lý hay gặp ở cả người lớn và trẻ em

Những biến chứng của viêm amidan thường gặp là viêm quanh amidan, viêm tai giữa, viêm phế quản…Đây là bệnh lý hay gặp ở cả người lớn và trẻ em, nhưng bệnh chiếm một tỷ lệ cao ở trẻ. Bệnh tiến triển thành từng đợt, có thể tự khỏi, có thể đưa đến biến chứng nguy […]
1900558892
zaloChat