Cấp cứu:0901793122
English
Bệnh Viện Đa Khoa Quốc Tế Thu Cúc | TCI Hospital
Chăm sóc sức khoẻ trọn đời cho bạn
Tổng đài1900558892
viêm amidan

viêm amidan

Trang chủ/viêm amidan
Trước khi cắt amidan cần chuẩn bị gì?

Trước khi cắt amidan cần chuẩn bị gì?

Trước khi cắt amidan cần chuẩn bị gì để phẫu thuật diễn ra thuận lợi và an toàn là thắc mắc chung của nhiều người bệnh. Nhìn chung trước khi chuẩn bị cắt amidan, bệnh nhân sẽ được bác sĩ điều trị hướng dẫn chi tiết về những điều cần lưu ý. Trước khi cắt […]
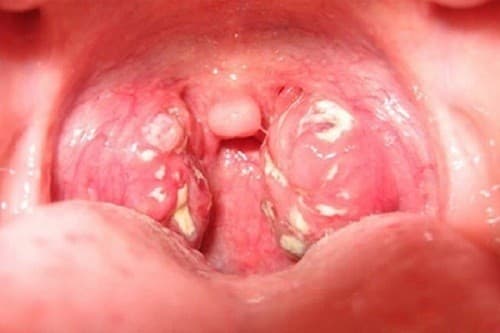
Viêm amidan bệnh lý hay gặp ở cả người lớn và trẻ em

Viêm amidan bệnh lý hay gặp ở cả người lớn và trẻ em

Những biến chứng của viêm amidan thường gặp là viêm quanh amidan, viêm tai giữa, viêm phế quản…Đây là bệnh lý hay gặp ở cả người lớn và trẻ em, nhưng bệnh chiếm một tỷ lệ cao ở trẻ. Bệnh tiến triển thành từng đợt, có thể tự khỏi, có thể đưa đến biến chứng nguy […]
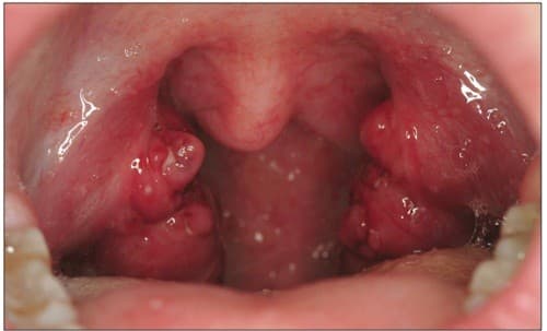
Viêm amidan mạn tính

Viêm amidan mạn tính

Viêm amidan mạn tính là hiện tượng viêm thường xuyên, bệnh tái đi tái lại nhiều lần. Tuỳ theo mức độ viêm nhiễm và phản ứng của cơ thể, amidan có thể (quá phát) thường gặp ở trẻ em hay người trẻ tuổi, hoặc amiđan có thể nhỏ lại (xơ chìm). Tỷ lệ viêm amidan […]
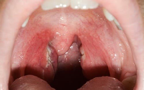
Bệnh viêm amidan hốc mủ

Bệnh viêm amidan hốc mủ

Do nằm ở ngay vị trí cửa ngõ giữa đường ăn uống và đường thở nên amidan rất dễ viêm nhiễm mỗi khi có sự thay đổi đột ngột về nhiệt độ và độ ẩm, khói bụi, hóa chất… Bệnh viêm amidan hốc mủ là tình trạng viêm nhiễm mạn tính. Nếu không điều trị […]
Cắt amidan có ảnh hưởng gì không?

Cắt amidan có ảnh hưởng gì không?

Cắt amidan có ảnh hưởng gì không là lo lắng của nhiều người bệnh khi được chỉ định phẫu thuật cắt bỏ amidan. Viêm amidan là tình trạng nhiễm trùng amidan khiến amidan trở nên sưng và đau. Vậy cắt amidan có ảnh hưởng gì không? Bài viết sau sẽ giải đáp thắc mắc chung […]
Triệu chứng viêm amidan phát hiện sớm bệnh

Triệu chứng viêm amidan phát hiện sớm bệnh

Viêm amidan là bệnh lý về tai mũi họng khá phổ biến và có thể gây ra nhiều biến chứng nguy hiểm nên cần điều trị sớm. Thông qua các triệu chứng viêm amidan sẽ giúp độc giả phát hiện sớm bệnh. Từ đó có biện pháp xử trí kịp thời. 1. Triệu chứng viêm […]
Viêm amidan quá phát là gì? thông tin cần thiết

Viêm amidan quá phát là gì? thông tin cần thiết

Viêm amidan quá phát là tình trạng amidan bị viêm nhiễm lâu ngày và nhiều lần khiến amidan trở nên to hơn cấu trúc bình thường. Bài viết dưới đây sẽ giúp độc giả có thêm những thông tin cần thiết về bệnh viêm amidan quá phát là gì, triệu chứng và cách điều trị […]
Chảy máu sau khi cắt amidan cần lưu ý điều gì

Chảy máu sau khi cắt amidan cần lưu ý điều gì

Hỏi: Chào bác sĩ. Em mới cắt amidan đã được hơn mười ngày rồi nhưng hôm qua em lại chảy ra 1 ít máu tươi. Bác sĩ cho em hỏi chảy máu sau khi cắt amidan có ảnh hưởng gì không ạ? Em xin cảm ơn. Băng Nhi (Mai Dịch, Cầu Giấy, HN) Trả lời: […]
Lưu ý khi bé bị viêm amidan cấp

Lưu ý khi bé bị viêm amidan cấp

Amidan là bệnh thường gặp ở cả trẻ em và người lớn. Nếu không điều trị sớm sẽ để lại các biến chứng như: viêm khớp, viêm cơ tim và viêm cầu thận… vô cùng nguy hiểm. Chính vì thế cha mẹ cần lưu ý khi bé bị viêm amidan cấp để chăm sóc, điều […]
Làm gì để phòng biến chứng sau khi cắt amidan?

Làm gì để phòng biến chứng sau khi cắt amidan?

Không phải trường hợp viêm amidan nào cũng được chỉ định cắt, bởi cắt amidan nếu như không cẩn thận, không thực hiện tại các bệnh viện có đội ngũ bác sĩ, trang thiết bị y tế hiện đại có thể gặp phải một số tai biến. Vậy làm gì để phòng biến chứng sau […]
Điều trị viêm amidan viêm tấy quanh amidan, viêm phế quản

Điều trị viêm amidan viêm tấy quanh amidan, viêm phế quản

Viêm amidan là tổn thương viêm nhiễm cấp hoặc mạn tính tuyến amidan do vi khuẩn hoặc virut gây ra. Bệnh gây nhiều biến chứng nguy hiểm như áp-xe amidan, viêm tấy quanh amidan, viêm phế quản, viêm xoang, áp-xe thành bên họng, viêm thận…nếu không được chữa trị kịp thời. Vậy nguyên nhân gây […]
Cách chữa viêm amidan hốc mủ dễ xâm nhập gây viêm

Cách chữa viêm amidan hốc mủ dễ xâm nhập gây viêm

Amidan nằm ở vị trí cầu nối giữa đường thở và đường tiêu hóa có cấu trúc nhiều hốc, ngăn nên giống như một hạch bạch huyết nghĩa là có nhiều múi, chia nhiều ngăn tạo thành các hốc nên thức ăn và vi khuẩn dễ xâm nhập gây viêm. Để có cách chữa viêm […]
Cách chữa bệnh viêm amidan gây biến chứng và khó chịu

Cách chữa bệnh viêm amidan gây biến chứng và khó chịu

Cách chữa bệnh viêm amidan sẽ phụ thuộc một phần vào nguyên nhân. Đây là một trong những bệnh lý về tai mũi họng rất phổ biến ở cả trẻ em và người lớn. Viêm amidan có thể gây biến chứng và khó chịu cho người bệnh nếu không được điều trị hoặc điều trị […]
Phẫu thuật amidan

Phẫu thuật amidan

Phẫu thuật amidan là phẫu thuật để cắt bỏ amidan. Amidan trên thực tế là các hạch bạch huyết nằm ở 2 bên phía sau họng, đóng vai trò thanh lọc các vi khuẩn và vi rút muốn xâm nhập cơ thể qua đường mũi hoặc miệng. Tuy nhiên amidan cũng có thể bị viêm […]
Viêm amidan quá phát

Viêm amidan quá phát

Viêm amidan quá phát là tình trạng amidan bị viêm nhiễm lâu ngày và nhiều lần khiến amidan trở nên to hơn cấu trúc bình thường. Lúc này việc điều trị bệnh chủ yếu là ngoại khoa phẫu thuật. 1. Viêm amidan quá phát là gì? Amidan là hai tuyến hạnh nhân nằm ở hai […]
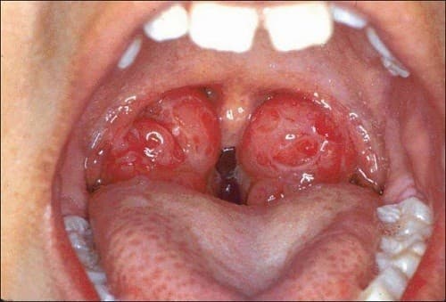
Viêm amidan hốc mủ Chất bã đậu tiết ra

Viêm amidan hốc mủ Chất bã đậu tiết ra

Viêm amidan hốc mủ là thể viêm amidan mạn tính. Chất bã đậu tiết ra nhiều hơn bình thường rồi ứ đọng trong các hốc amidan gây ra các chấm trắng trên amidan. 1. Viêm amidan hốc mủ là gì? Amidan là một bộ phận của cơ thể, nằm ở vị trí cầu nối giữa […]
Nguyên nhân viêm amidan với virus, vi khuẩn gây bệnh

Nguyên nhân viêm amidan với virus, vi khuẩn gây bệnh

Viêm amidan là bệnh lý thường gặp ở cả trẻ em và người lớn, có chức năng miễn dịch, sinh ra các kháng thể và lympho bào, giúp tăng khả năng chống đỡ của mũi họng với virus, vi khuẩn gây bệnh. Vậy nguyên nhân viêm amidan là gì? Triệu chứng nào báo hiệu bệnh? […]
Triệu chứng bị viêm amidan có thể xảy ra ở mọi lứa tuổi

Triệu chứng bị viêm amidan có thể xảy ra ở mọi lứa tuổi

Viêm amidan có thể xảy ra ở mọi lứa tuổi và gây không ít phiền toái tới sức khỏe người bệnh. Chính vì thế khi thấy những triệu chứng bị viêm amidan sau đây người bệnh cần hết sức lưu ý, điều trị sớm để hiệu quả cao. Viêm amidan thông thường có thể tự […]
Làm gì khi bé bị viêm amidan? Điều trị bệnh cho trẻ

Làm gì khi bé bị viêm amidan? Điều trị bệnh cho trẻ

Viêm amidan là bệnh thường xảy ra ở mọi đối tượng, phổ biến nhất là ở trẻ em khi hệ thống miễn dịch của cơ thể chưa hoàn thiện và yếu. Bé bị viêm amidan nếu không được chữa trị kịp thời hiệu quả sẽ gây ảnh hưởng lớn tới sức khỏe, đặc biệt nếu […]
Nên ăn gì khi bị viêm amidan để nhanh hồi phục?

Nên ăn gì khi bị viêm amidan để nhanh hồi phục?

Viêm amidan là bệnh nguy hiểm, ảnh hưởng tới sức khỏe và cuộc sống của người mắc bệnh. Khi bị viêm amidan, ngoài việc điều trị kịp thời để tránh biến chứng thì người bệnh cũng nên quan tâm tới chế độ dinh dưỡng khoa học. Tìm hiểu ngay nên ăn gì khi bị viêm […]
1900558892
zaloChat