Chữa viêm amidan theo nhiều cách khác nhau
Hiện nay, có nhiều cách chữa viêm amidan được mọi người thường xuyên áp dụng như dùng mật ong, dùng thuốc tây y và phẫu thuật cắt amidan. Tuy nhiên không phải trường hợp nào cũng áp dụng chung một cách điều trị.
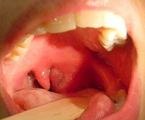
Viêm amidan là nhóm bệnh hay gặp, đứng hàng đầu trong những bệnh lý về họng. Bệnh có thể tiến triển cấp tính hay mạn tính. Viêm amidan cấp là bệnh thường gặp trong tình trạng nhiễm trùng còn phổ biến ở nước ta.
Viêm amidan là nhóm bệnh hay gặp, đứng hàng đầu trong những bệnh lý về họng. Bệnh có thể tiến triển cấp tính hay mạn tính.
Tỷ lệ bị bệnh khoảng 10% dân số. Viêm amidan rất hay tái phát và có thể gây các biến chứng nguy hiểm cho người bệnh, đặc biệt đối với trẻ em.
Chữa viêm amidan bằng mật ong
Mật ong là một phương pháp được nhiều người truyền tai nhau sử dụng. Trong mật ong chứa nhiều chất diệt khuẩn, kháng viêm và lại cung cấp nhiều dưỡng chất cho cơ thể và giúp bạn tăng cường sức đề kháng để chống lại bệnh viêm amidan.
Khi bị viêm amidan trong vòm họng luôn rất khó chịu, nuốt thì có cảm giác rát, đau. Đờm cũng được sinh ra do bị viêm nhiễm, dùng mật ong và chanh để giảm ho, tiêu đờm giảm viêm amidan.
Cách dùng: lấy 2 thìa mật ong trộn đều với ½ thìa cà phê nước cốt chanh tươi, thêm 5 thìa cà phê nước lọc. Nên uống thường xuyên trong ngày để giảm ho, đau họng và quan trọng là kháng khuẩn giúp viêm mau lành.
Chữa viêm amidan bằng mật ong và chanh cũng là một biện pháp được nhiều người truyền tai nhau sử dụng
Chú ý: không nên cho trẻ em dưới 1 tuổi uống hỗn hợp này vì trong mật ong có chứa một lượng nhỏ vi khuẩn Clostridium botulinum có thể làm cho trẻ sinh bệnh, ngoài ra khi ong đi lấy mật cũng có thể lấy phải một số loại phấn hoa có độc, đối với người lớn thì lượng nhỏ không gây hại gì nhưng đối với trẻ em hệ miễn dịch đang còn yếu nên rất dễ mắc bệnh.
Chữa viêm amidan bằng thuốc tây y
Người bệnh viêm amidan có thể sử dụng thuốc điều trị bệnh như thuốc kháng sinh toàn thân, thuốc hạ sốt, giảm đau như paracetamol, thuốc giảm xung huyết, giảm phù nề: các men chống viêm a choay, amitase, thuốc giảm ho.
Việc dùng thuốc nào với liều lượng ra sao cần có sự chỉ định cụ thể của bác sĩ. Do đó người bệnh cần tuân thủ theo đúng hướng dẫn về cách dùng thuốc, liều lượng và thời gian chữa trị nhằm cải thiện nhanh chóng tình trạng sức khỏe.
Phẫu thuật chữa viêm amidan
Phẫu thuật cắt amidan được áp dụng trong trường hợp viêm amidan mạn tính, chữa trị bằng thuốc không hiệu quả
Đây là phương pháp được áp dụng trong trường hợp viêm amidan mạn tính. Phẫu thuật cắt amidan được chỉ định trong trường hợp viêm amidan quá phát nhiều lần trong năm, viêm amidan đã có biến chứng hoặc gây tắc nghẽn đường thở, ảnh hưởng tới sức khỏe người bệnh.
Phẫu thuật cắt amidan cần được điều trị tại các cơ sở y tế, bệnh viện có chuyên khoa Tai mũi họng với đội ngũ bác sĩ giỏi và trang thiết bị y tế hiện đại, hệ thống phòng mổ vô khuẩn. Có như vậy mới mang lại sự an toàn cho người bệnh và điều trị hiệu quả viêm amidan.
Những thông tin về phương pháp điều trị viêm amidan nêu trên chỉ mang tính chất tham khảo. Để biết chính xác Bệnh viện Thu Cúc áp dụng phương pháp nào vui lòng liên hệ 1900 55 88 92 hoặc 0936 388 288 để được tư vấn cụ thể.




















