Cấp cứu:0901793122
English
Bệnh viện đa khoa Quốc Tế Thucuc | Hệ thống y tế TCI Hospital
Chăm sóc sức khoẻ trọn đời cho bạn
Tổng đài1900558892
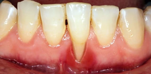
Bệnh viêm lợi

Bệnh viêm lợi

Trang chủ/Bệnh viêm lợi
Khám phá các thuốc chữa viêm lợi tụt lợi

Khám phá các thuốc chữa viêm lợi tụt lợi

Thuốc chữa viêm lợi tụt lợi được kê cho bệnh nhân sử dụng tại nhà nhằm điều trị bệnh lý viêm lợi với các triệu chứng điển hình gây nên. Bên cạnh đó, cần kết hợp các phương pháp điều trị nha khoa nhằm giải quyết triệt để tình trạng viêm chân răng, viêm nướu […]
Cách điều trị viêm lợi gây hôi miệng dứt điểm

Cách điều trị viêm lợi gây hôi miệng dứt điểm

Tình trạng lợi sưng đỏ, dễ bị chảy máu khi ăn hoặc khi đánh răng kèm theo mùi hôi khó chịu là các triệu chứng của bệnh viêm lợi. Viêm lợi hình thành do cao răng tồn lại lâu trong khoang miệng ở chân răng cùng vi khuẩn gây bệnh. Vậy cách điều trị viêm […]
Hôi miệng do viêm lợi, làm sao để khắc phục?

Hôi miệng do viêm lợi, làm sao để khắc phục?

Hôi miệng do viêm lợi là một bệnh lý không hiếm gặp về răng miệng. Về cơ bản, tình trạng này không gây ra hậu quả nghiêm trọng tức thời. Tuy nhiên về lâu dài, đó lại là nguyên nhân dẫn tới nhiều phiền phức cho sức khỏe và cả sinh hoạt hàng ngày. 1. […]
Chăm sóc răng bị viêm lợi và những lưu ý

Chăm sóc răng bị viêm lợi và những lưu ý

“Chăm sóc răng bị viêm lợi thế nào mới đúng” và “đâu là những điều cần lưu ý khi bị viêm lợi” là vấn đề nhận được sự quan tâm của nhiều người. Trên thực tế, rất nhiều câu trả lời đã được đưa ra. Thế nhưng không phải tất cả đều an toàn và […]
Những điều cần biết về viêm lợi loét hoại tử cấp

Những điều cần biết về viêm lợi loét hoại tử cấp

Viêm lợi loét hoại tử cấp là bệnh lý khởi phát bất ngờ, là tình trạng nhiễm trùng lợi cấp tính nghiêm trọng nhưng hoàn toàn có thể chữa khỏi khi được phát hiện ở giai đoạn đầu và chưa xảy ra biến chứng.  Bệnh có dấu hiệu gần tương tự viêm lợi thông thường […]
Nguyên nhân bị viêm lợi và cách điều trị

Nguyên nhân bị viêm lợi và cách điều trị

Khi lợi bị viêm sẽ gây ra những ảnh hưởng về sức khỏe răng miệng và nếu không điều trị lâu ngày sẽ gây ra những biến chứng nguy hiểm. Bài viết dưới đây sẽ giúp bạn tìm hiểu những nguyên nhân bị viêm lợi và cách điều trị hiệu quả 1. Bệnh viêm lợi […]
Viêm lợi phì đại là bệnh gì?

Viêm lợi phì đại là bệnh gì?

Viêm lợi phì đại là tình trạng khi bệnh lý viêm lợi đi vào giai đoạn nặng và gặp biến chứng do người bệnh không điều trị hoặc điều trị sai phương pháp. Đây là tình trạng có thể lây lan rộng ra các vùng xung quanh chỗ viêm khiến cho người bệnh đau nhức […]
Dấu hiệu bị viêm lợi và cách điều trị hiệu quả

Dấu hiệu bị viêm lợi và cách điều trị hiệu quả

Viêm lợi là bệnh lý răng miệng phổ biến và thường là hệ quả khi sâu răng nặng mà không được chữa trị hoặc do một số lý do khác. Mặc dù không gây ra những nguy cơ trực tiếp tới tính mạng của người bệnh nhưng cũng cần được phát hiện sớm để điều […]
Chuyên gia giải đáp: Viêm lợi có phải nhổ răng không?

Chuyên gia giải đáp: Viêm lợi có phải nhổ răng không?

Thuộc nhóm 3 bệnh lý răng miệng phổ biến nhất, viêm lợi làm lợi sưng, đỏ, đau, chảy máu khi vệ sinh răng miệng, ăn nhai, nói chuyện,… nhưng đó có phải là tất cả tác hại của viêm lợi? Bệnh nhân viêm lợi có phải nhổ răng không? Thắc mắc đó của bạn sẽ […]
Nguyên nhân viêm lợi chảy máu chân răng và cách điều trị

Nguyên nhân viêm lợi chảy máu chân răng và cách điều trị

Viêm lợi làm lợi sưng, chảy máu, đau,…, ảnh hưởng đến khả năng ăn nhai và cuộc sống thường nhật của bệnh nhân. Vậy, nguyên nhân viêm lợi chảy máu chân răng là gì? Làm thế nào để có thể nhanh chóng thoát khỏi bệnh lý này? Cùng Thu Cúc TCI tìm hiểu câu trả […]
Cách trị viêm lợi chân răng dứt điểm

Cách trị viêm lợi chân răng dứt điểm

Viêm lợi chân răng là bệnh lý nguy hiểm có thể dẫn tới mất răng nếu mọi người chủ quan trong việc phát hiện và điều trị bệnh. Mọi người cần cảnh giác với các dấu hiệu bất thường ở nướu răng và thăm khám kịp thời để được bác sĩ đưa ra những cách […]
Viêm lợi chảy máu chân răng và những điều bạn cần biết!

Viêm lợi chảy máu chân răng và những điều bạn cần biết!

Viêm lợi chảy máu chân răng là tình trạng thường gặp ở nhiều lứa tuổi. Tình trạng viêm lợi và chảy máu chân răng nếu để lâu rất dễ gây ra hậu quả nghiêm trọng đối với sức khỏe răng miệng. Tìm cách khắc phục và điều trị dứt điểm viêm lợi ngay khi phát […]
Răng khôn bị lợi trùm và những câu hỏi thường gặp

Răng khôn bị lợi trùm và những câu hỏi thường gặp

Răng khôn bị lợi trùm gây nên nhiều nguy cơ và cảm giác khó chịu đối với người bệnh. Đây mặc dù là loại bệnh răng miệng không hiếm gặp nhưng hầu như mọi người đều không biết nhiều về nó ngoài cái tên và biểu hiện sưng, căng tức lợi ở vị trí răng […]
6 cách chữa viêm lợi tại nhà: Ai áp dụng cũng hiệu quả

6 cách chữa viêm lợi tại nhà: Ai áp dụng cũng hiệu quả

Viêm lợi hay viêm nướu là bệnh lý răng miệng phổ biến và nguy hiểm. Bệnh thường đi kèm các triệu chứng: Lợi sưng tấy và đau, miệng có mùi khó chịu,… Cuộc sống của người bệnh vì thế mà bị ảnh hưởng nghiêm trọng. Bởi vậy, đâu là cách chữa viêm lợi tại nhà […]
Cách điều trị viêm lợi dứt điểm, không tái phát

Cách điều trị viêm lợi dứt điểm, không tái phát

Viêm lợi ảnh hưởng lớn tới sức khỏe răng miệng nhưng không phải ai cũng biết cách điều trị dứt điểm và chăm sóc sức khỏe răng miệng khoa học. Cùng tìm hiểu chi tiết hơn về các cách điều trị viêm lợi, viêm nướu răng dứt điểm, không tái phát ngay trong bài viết […]
Viêm lợi mọc hạch – Nguyên nhân, biến chứng và cách điều trị

Viêm lợi mọc hạch – Nguyên nhân, biến chứng và cách điều trị

Viêm lợi là một trong những bệnh lý răng miệng phổ biến với nhiều giai đoạn khác nhau. Viêm lợi nếu không được điều trị kịp thời có thể gây ra nhiều dấu hiệu tiến triển nặng hơn như sốt cao hay viêm lợi mọc hạch. Đây là những biến chứng có thể gây nguy […]
Bọc răng sứ bị viêm lợi: Nguyên nhân và cách điều trị

Bọc răng sứ bị viêm lợi: Nguyên nhân và cách điều trị

Bọc răng sứ bị viêm lợi là một trong những vấn đề được rất nhiều người quan tâm trong quá trình chăm sóc răng miệng. Theo các bác sĩ nha khoa, viêm lợi khi bọc răng sứ không chỉ ảnh hưởng tới sức khỏe răng miệng mà còn làm giảm tuổi thọ của răng và […]
Viêm lợi khi niềng răng: Nguyên nhân và cách điều trị

Viêm lợi khi niềng răng: Nguyên nhân và cách điều trị

Viêm lợi khi niềng răng là bệnh lý thường gặp, ảnh hưởng lớn tới sức khỏe răng miệng của mọi người. Nghiêm trọng hơn, nếu viêm lợi không được điều trị kịp thời và đúng cách, có thể ảnh hưởng lớn tới hiệu quả chỉnh nha. Tìm hiểu ngay! 1. Viêm lợi là gì? Lợi […]
Điểm mặt những cách trị viêm lợi hiệu quả nhất

Điểm mặt những cách trị viêm lợi hiệu quả nhất

Viêm lợi là vấn đề răng miệng phổ biến chỉ sau sâu răng. Hầu hết mỗi người trong chúng ta ít nhất đều từng bị viêm lợi 1 lần dù chỉ là ở mức độ rất nhẹ. Thông thường ở mức độ nhẹ này, người bệnh có thể tự khỏi hoặc cải thiện tình trạng […]
1900558892
zaloChat