Viêm lợi chảy máu chân răng và những điều bạn cần biết!
Viêm lợi chảy máu chân răng là tình trạng thường gặp ở nhiều lứa tuổi. Tình trạng viêm lợi và chảy máu chân răng nếu để lâu rất dễ gây ra hậu quả nghiêm trọng đối với sức khỏe răng miệng. Tìm cách khắc phục và điều trị dứt điểm viêm lợi ngay khi phát hiện là giải pháp hàng đầu tránh bệnh diễn biến trở nặng.
1. Viêm lợi chảy máu chân răng là bị gì?
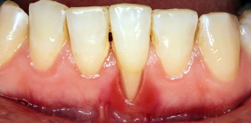
Một trường hợp điển hình bị viêm lợi chảy máu chân răng
Nướu răng hay còn gọi là lợi, là bộ phận bảo vệ và giúp răng được giữ chắc trên hàm. Đây là bộ phận rất nhạy cảm trong khoang miệng và dễ bị tổn thương trong quá trình đánh răng, xỉa răng hoặc ăn những thức ăn cứng. Thông thường khi bị tổn thương nhẹ, lợi sẽ tự hồi phục sau vài ngày.
Tuy nhiên khi các vết thương to hoặc vì một tác nhân nào đó khiến việc sinh sản của các tế bào mô nướu kéo dài, làm chậm hoặc làm mô nướu không thể phục hồi và dễ dàng bị các vi khuẩn có hại bên trong miệng xâm nhập. Lúc này, hệ miễn dịch của cơ thể sẽ tự tạo ra phản ứng viêm để bảo vệ mình. Và thế là bệnh viêm lợi hình thành.
Khi bị viêm, lợi thường sẽ cực kì nhạy cảm, thường xuyên cảm thấy đau tức, sưng tấy, thậm chí có thể chảy máu khi có tác động như chải răng, ăn thực phẩm cứng. Tình trạng này khiến người bệnh rất khó chịu và ảnh hưởng lớn đến chất lượng cuộc sống của người bệnh.
2. Nguyên nhân nào gây nên viêm lợi chảy máu chân răng?
2.1 Chăm sóc răng miệng không tốt gây viêm lợi chảy máu chân răng
Có nhiều nguyên nhân gây nên tình trạng viêm lợi và thường đều là những nguyên nhân rất quen thuộc. Phổ biến và dễ mắc phải nhất là viêm lợi xảy ra do vệ sinh răng miệng không tốt, thức ăn còn mắc lại ở răng sau khi ăn, từ đó hình thành nên mảng bám và trở thành cao răng – môi trường thích hợp cho vi khuẩn sinh sôi, tấn công răng và gây bệnh viêm lợi chảy máu chân răng.
Đối tượng dễ bị viêm lợi nhất do nguyên nhân này là trẻ em vì chúng không thể chủ động trong việc vệ sinh răng miệng, đôi khi những hành động hàng ngày như nhai thức ăn cứng, cắn móng tay hoặc mọc răng khiến lợi bị tổn thương cũng có thể là cơ hội để vi khuẩn từ mảng bám trên răng xâm nhập, gây viêm lợi.
Bên cạnh đó khi lợi bị va đập, chải răng không đúng cách khiến lợi bị chảy máu khi đánh răng, hút thuốc lá cũng là nguyên nhân gây bệnh. Khi việc này lặp đi lặp lại nhiều lần, mô ở chân răng sẽ khó có khả năng phục hồi lại như ban đầu. Vì vậy, chỉ cần một tác động nhỏ cũng có thể dẫn đến tình trạng chảy máu chân răng và viêm lợi.
2.2 Viêm lợi chảy máu chân răng do bệnh lý
– Biểu hiện của một số bệnh lý toàn thân như: tiểu đường, tim mạch, bệnh về máu, các bệnh lý gan, thận,…
– Biểu hiện của các bệnh lý răng miệng như viêm nha chu, u lợi.
– Nội tiết tố nữ thay đổi: Ở phái nữ, khi cơ thể có sự thay đổi lớn về nội tiết như bước vào giai đoạn dậy thì, mang thai, sử dụng thuốc tránh thai hoặc mãn kinh thường sẽ dẫn đến hiện tượng viêm lợi, chảy máu ở chân răng.
– Cơ thể thiếu hụt vitamin, suy dinh dưỡng: Khi cơ thể bị suy dinh dưỡng, thiếu hụt các loại vitamin, khoáng chất như vitamin C, vitamin K, canxi cũng gây ảnh hưởng tới sức khỏe răng miệng, nhất là rất dễ gây chảy máu ở chân răng.
3. Dấu hiệu cho thấy bị viêm lợi
Khi bị viêm lợi cấp, người bệnh có thể cảm thấy đau nhức phần lợi xung quanh răng, nhất là khi ăn uống những thức ăn có tính chất kích thích. Đồng thời khi soi gương có thể dễ dàng nhận thấy vùng lợi bị viêm sưng tấy đỏ, căng phồng, chạm vào răng cũng thấy đau. Nếu bị tình trạng viêm để lâu, tình trạng sưng tấy có thể sẽ giảm, chỉ hơi sưng tại viền cổ răng, thậm chí không còn bị đau nữa nhưng lại rất dễ gặp tình trạng chảy máu ở chân răng.
Màu nướu răng có thể tiết lộ mức độ viêm lợi
Lúc này, chúng ta phần nào có thể phát hiện và đánh giá mức độ bệnh qua tình trạng chảy máu với 4 mức độ như sau:
– Mức độ 1 – Chảy máu khi đánh răng: Xuất hiện những đốm đỏ hoặc màu sẫm trên bàn chải đánh răng hoặc chỉ nha khoa, đôi khi ở bọt kem đánh răng.
– Mức độ 2 – Chảy máu khi có tác động nhẹ: Thay vì chỉ chảy máu trong và sau đánh răng, nếu viêm lợi nặng hơn, người bệnh có thể thấy chân răng bị chảy máu khi ăn, uống bình thường.
– Mức độ 3 – Chảy máu chân răng tự phát: Chảy máu có thể tự phát mà không có bất cứ sự tác động hoặc kích thích nào.
– Mức độ 4 – Nướu răng đổi màu: Phần lợi răng có thể chuyển từ màu hồng nhạt lên đến đỏ đậm, màu càng đậm đồng nghĩa càng có nhiều tế bào nướu bị viêm nhiễm. Lúc này hậu quả có thể găp là mô nướu bị ăn mòn và tăng nguy cơ mất răng.
4. Giải pháp điều trị và cải thiện viêm lợi
Điều trị dứt điểm tình trạng viêm lợi chảy máu chân răng là một quá trình cần sự kết hợp từ việc thăm khám, điều trị theo chỉ dẫn của bác sĩ và tự chăm sóc răng tại nhà cũng như loại bỏ những thói quen xấu gây hại cho nướu.
Đi khám nha sĩ để được tư vấn điều trị đúng cách
Ở giai đoạn đầu nếu thấy nướu răng có biểu hiện nhức nhẹ hoặc hơi sưng và nghi ngờ viêm nướu, người bệnh có thể xem xét và chú ý hơn khi vệ sinh răng:
– Uống nước lọc tráng miệng ngay sau khi ăn, uống bất cứ thức ăn gì.
– Chú ý dùng chỉ nha khoa để làm sạch thức ăn dư thừa còn kẹt lại tại kẽ răng. Lưu ý không nên sử dụng tăm, hoặc các vật nhọn.
– Đánh răng ít nhất ngày 2 lần, vào buổi sáng sau khi ngủ dậy và buổi tối trước khi đi ngủ hoặc sau các bữa ăn 30 phút.
– Đánh răng đúng cách với bàn chải lông mềm, thay mới bàn chải sau mỗi 3 tháng.
– Súc miệng với nước súc miệng diệt khuẩn hoặc nước muối sinh lý hoặc muối pha với nước ấm ở lượng vừa đủ, không quá mặn.
Bên cạnh đó, người bệnh cũng nên loại bỏ những thói quen xấu như hút thuốc lá, uống rượu bia. Đồng thời xây dựng chế độ ăn uống giàu vitamin, khoáng chất với các loại rau củ, hạn chế thực phẩm nhiều đường.
Nếu tình trạng viêm lợi chảy máu chân răng vẫn xảy ra thường xuyên, liên tục, người bệnh cần thăm khám sớm tại cơ sở y tế, nha khoa uy tín để xác định nguyên nhân và có cách điều trị phù hợp


















