Cách điều trị viêm lợi gây hôi miệng dứt điểm
Tình trạng lợi sưng đỏ, dễ bị chảy máu khi ăn hoặc khi đánh răng kèm theo mùi hôi khó chịu là các triệu chứng của bệnh viêm lợi. Viêm lợi hình thành do cao răng tồn lại lâu trong khoang miệng ở chân răng cùng vi khuẩn gây bệnh. Vậy cách điều trị viêm lợi gây hôi miệng dứt điểm là gì? Cùng Thu Cúc TCI tìm hiểu ngay về những cách điều trị viêm lợi ngay qua bài viết dưới đây.
1. Tìm hiểu bệnh viêm lợi gây hôi miệng là gì?
Lợi là vùng bao quanh chân răng, có chức năng bảo vệ và duy trì phần chân răng. Tình trạng lợi khỏe có màu hồng nhạt, không sưng tấy hoặc chảy máu, đi kèm với hơi thở thơm tho.
Khi không vệ sinh răng lợi đều đặn, vi khuẩn và thức ăn dư thừa có thể tích tụ trong khoang miệng, trên bề mặt răng và trong các kẽ răng. Điều này có thể dẫn đến nhiều vấn đề về sức khỏe răng miệng, bao gồm cả viêm lợi.
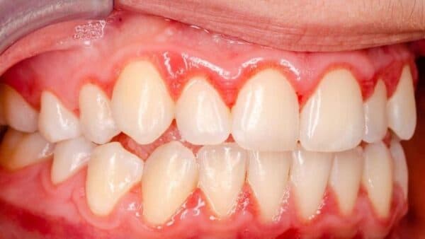
Viêm lợi xảy ra do mảng bám và vi khuẩn tích tụ (minh họa).
Mảng bám cùng với vi khuẩn có thể tồn tại lâu trong miệng nếu không được làm sạch. Từ đó, gây ra tình trạng viêm lợi trầm trọng hơn. Viêm lợi có thể gây ra nhiều triệu chứng khó chịu như đau nhức, sưng to, áp xe ở chân răng,… Đặc biệt, tình trạng viêm lợi kèm theo hôi miệng có thể ảnh hưởng đến khả năng giao tiếp của người bệnh.
Thường thì, khi thấy nướu bị đỏ, sưng nhiều người có xu hướng bỏ qua. Tuy nhiên,điều này có thể làm cho tình trạng viêm lợi trở nên nghiêm trọng hơn. Thậm chí có thể dẫn đến việc rỉ máu từ chân răng và rụng răng một cách bất ngờ.
2. Dấu hiệu nhận biết viêm lợi điển hình
Trạng thái khỏe mạnh của lợi có thể được nhận biết qua một số đặc điểm. Lợi khỏe mạnh thường có màu hồng nhẹ, không sưng đỏ và không gặp tình trạng chảy máu khi tiến hành các hoạt động như chải răng, ăn uống hoặc chạm nhẹ. Nếu lợi khỏe mạnh, hơi thở của bạn cũng sẽ thơm tho và ít có mảng bám ở các kẽ răng.
Có một số dấu hiệu điển hình cho thấy sự xuất hiện của viêm lợi:
– Lợi sẽ có màu sắc đỏ nhạt hoặc thậm chí là đỏ đậm. Trong đó, mức độ đỏ càng nặng thường tương ứng với mức độ nghiêm trọng của viêm.
– Lợi bị sưng, tình trạng sưng phì đại này chính là viêm lợi nặng.
– Mảng bám và cao răng thường xuất hiện đặc biệt nhiều ở vùng lợi bị sưng và đỏ.
– Viêm lợi có thể dẫn đến việc lợi bong khỏi chân răng và làm cấu trúc chân răng yếu.
– Ngoài ra, miệng có thể có mùi hôi do viêm kèm theo mảng bám và cao răng.
– Chảy máu trong quá trình ăn uống hoặc chải răng có thể là một dấu hiệu tự nhiên của viêm lợi.
3. Viêm lợi gây hôi miệng bắt nguồn từ nguyên nhân nào?
Các trường hợp bệnh viêm lợi hôi miệng thường xuất hiện phổ biến nhất ở trẻ nhỏ. Tình trạng viêm lợi lúc nhỏ có thể tác động mạnh đến sự phát triển sau này của răng lợi. Để xử lý vấn đề này một cách hiệu quả, cần hiểu rõ nguyên nhân viêm lợi gây nên mùi hôi:
3.1 Vấn đề về vệ sinh răng miệng kém
Đây được xem là nguyên nhân viêm lợi kèm hôi miệng hàng đầu hiện nay. Vi khuẩn cùng với thức ăn dư thừa bám vào mặt răng không dễ dàng loại bỏ. Những tác nhân này cư trú trong khoang miệng và góp phần tạo thành mảng bám. Mảng bám này là nguyên nhân gây tổn thương mô và viêm lợi.
Vấn đề về vệ sinh răng miệng kém gây viêm lợi (minh họa).
3.2 Thói quen ăn uống gây hại cho răng miệng
Nguyên nhân này cũng gây ra viêm lợi, tuy nhiên nhiều người không chú ý đến. Những loại thực phẩm như đồ ngọt, đồ uống có cồn, thuốc lá, chất kích thích có khả năng hình thành mảng cứng trên bề mặt răng. Vi khuẩn tập trung ở khoang miệng dễ dàng khiến lợi bị viêm, sưng đỏ và hôi miệng.
3.3 Mùi hôi miệng do ảnh hưởng từ việc sử dụng thuốc
Những loại thuốc chống trầm cảm hoặc an thần có thể gây ra tình trạng miệng khô. Hiện tượng này ảnh hưởng đến khoang miệng và có thể dẫn đến viêm lợi, do việc giảm tiết nước bọt trong miệng. Hậu quả của việc này là mảng bám trên răng sẽ tăng lên, lan tỏa và trở nên dày đặc hơn theo thời gian.
3.4 Các nguyên nhân khác gây bệnh
Ngoài các nguyên nhân chính đã nêu, viêm lợi dẫn đến hôi miệng còn liên quan đến những bệnh lý khác. Ví dụ như tiểu đường, dạ dày, rối loạn nội tiết, viêm amidan, và sâu răng.
4. Cách điều trị viêm lợi gây hôi miệng dứt điểm
Nguyên nhân chủ yếu viêm lợi xuất phát từ sự phát triển mạnh mẽ của vi khuẩn trong mảng bám và cao răng. Việc tham khảo ý kiến bác sĩ sẽ giúp xác định rõ nguyên nhân chính gây bệnh. Từ đó đưa ra phương pháp xử trí hiệu quả bằng các biện pháp điều trị sau:
4.1 Nước súc miệng
Dùng nước súc miệng cực kỳ quan trọng để loại bỏ mảng bám cùng vi khuẩn trong khoang miệng. Các thành phần kháng khuẩn như Zin Gluconat, Chlorhexidine thường có trong nước súc miệng, giúp tiêu diệt vi khuẩn.
4.2 Thuốc kháng viêm không chứa thành phần steroid
Các loại thuốc như Meloxicam, Ibuprofen hay Diclofenac có khả năng giảm sưng lợi nhanh chóng. Tuy nhiên, cần tránh sử dụng những loại này khi bạn có vấn đề về dạ dày.
4.3 Thành phần kháng viêm Corticosteroid
Prednisolon và Dexamethason là các loại thuốc kháng viêm mạnh, giúp giảm nhanh tình trạng viêm sưng và tấy đỏ ở nướu. Khi nướu ổn định thì sẽ giảm mùi hôi miệng.
4.4 Thuốc kháng sinh hoặc giảm đau
Sử dụng kháng sinh để diệt vi khuẩn trong khoang miệng thường được bác sĩ chỉ định. Kết hợp giữa 2 chất Spiramycin và Metronidazol cho viêm nha chu, viêm lợi hoặc sâu răng.
Trong quá trình điều trị viêm lợi, Paracetamol hoặc Aspirin có thể được dùng để giảm đau.
4.5 Đến bệnh viện chuyên khoa để lấy cao răng và xử lý triệt để
Bên cạnh việc sử dụng thuốc uống, nha sĩ có thể lấy cao răng để loại bỏ tận gốc mảng bám. Trong trường hợp viêm lợi nặng, các biện pháp xử lý mủ có thể cần thiết để bảo vệ răng khỏi vi khuẩn. Việc điều trị triệt để viêm lợi sẽ giúp niêm mạc nướu tái tạo và khỏe mạnh hơn. Từ đó, mùi miệng khó chịu cũng sẽ được khắc phục.
Đến bệnh viện chuyên khoa để lấy cao răng và xử lý triệt để viêm lợi gây hôi miệng (minh họa).
Lưu ý: người bệnh không được tự ý dùng thuốc hoặc áp dụng các cách trên mà không có chỉ dẫn của bác sĩ. Tự ý dùng thuốc có thể gây ra những biến chứng nghiêm trọng và gây hại cho sức khỏe răng miệng trong tương lai.
Hy vọng những thông tin về cách điều trị viêm lợi dẫn đến mùi hôi hữu ích với bạn đọc. Mọi thắc mắc liên quan đều sẽ được giải đáp khi bạn liên hệ tới Thu Cúc TCI nhé.


















