Cấp cứu:0901793122
English
Bệnh Viện Đa Khoa Quốc Tế Thu Cúc | TCI Hospital
Chăm sóc sức khoẻ trọn đời cho bạn
Tổng đài1900558892
Bệnh viêm lợi

Bệnh viêm lợi

Trang chủ/Bệnh viêm lợi
Viêm lợi ở trẻ em 2 tuổi: Nguyên nhân và cách điều trị

Viêm lợi ở trẻ em 2 tuổi: Nguyên nhân và cách điều trị

Không chỉ người lớn hoặc trẻ em đã mọc đầy đủ răng mới gặp phải những vấn đề về viêm lợi. Trên thực tế, trẻ sơ sinh và trẻ nhỏ những có thể gặp phải bệnh lý này. Viêm lợi là một trong những căn bệnh thường gặp ở trẻ em 2 tuổi. Vậy nguyên […]
6 cách chữa trị viêm lợi đơn giản

6 cách chữa trị viêm lợi đơn giản

Viêm lợi là bệnh lý nha khoa phổ biến, không những gây đau đớn mà còn khiến hơi thở có mùi. Nhiều người thắc mắc đâu là cách chữa trị viêm lợi mà không biết được bệnh này có thể khắc phục bằng các nguyên liệu tự nhiên. Nếu thực hiện điều trị sớm, bạn […]
Bệnh viêm lợi trẻ em: Cha mẹ cần lưu ý những gì?

Bệnh viêm lợi trẻ em: Cha mẹ cần lưu ý những gì?

Viêm lợi trẻ em là một trong các bệnh khá phổ biến về răng miệng. Trẻ bị viêm lợi do nhiều nguyên nhân khác nhau gây ra, hiểu rõ hơn về bệnh lý này sẽ giúp cha mẹ có hướng chăm sóc và những phương pháp điều trị phù hợp, hiệu quả. 1. Nguyên nhân […]
Nguyên nhân nào dẫn đến viêm lợi?

Nguyên nhân nào dẫn đến viêm lợi?

Viêm lợi là một trong những bệnh lý răng miệng phổ biến, có thể xảy ra ở mọi đối tượng, mọi lứa tuổi. Mặc dù đây không phải là bệnh lý nguy hiểm nhưng lại là khởi nguồn của nhiều bệnh lý khác. Dưới đây là những nguyên nhân dẫn đến viêm lợi. Viêm lợi […]
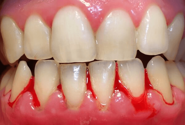
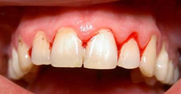
Chảy máu chân răng cảnh báo bệnh gì?

Chảy máu chân răng cảnh báo bệnh gì?

Nếu chỉ cần một tác động nhỏ như chải răng thậm chí ấn nhẹ vào lợi cũng khiến bạn bị chảy máu chân răng thì có nghĩa là răng lợi của bạn đang phát tín hiệu mắc bệnh. Khi thường xuyên chảy máu chân răng bạn hãy đi kiểm tra và điều trị kịp thời […]
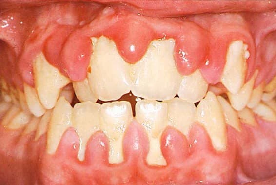
Nguyên nhân và biến chứng của bệnh viêm lợi

Nguyên nhân và biến chứng của bệnh viêm lợi

Lợi có nhiệm vụ bảo vệ, che chở và giữ cho chân răng được chắc chắn. Nếu như bị sưng đỏ, dễ chảy máu, đặc biệt là khi chải răng, tổ chức chân răng lỏng, dễ chảy máu, kèm hôi miệng,.. rất có thể bạn đang bị bệnh viêm lợi. Nếu như bị sưng đỏ, […]
Bệnh viêm lợi khám và điều trị hiệu quả

Bệnh viêm lợi khám và điều trị hiệu quả

Viêm lợi là bệnh lý răng miệng phổ biến ở vùng miệng, bệnh dễ chẩn đoán và điều trị ở mức độ nhẹ, tuy nhiên nếu người bệnh không chú ý thăm khám, chữa trị, bệnh có thể tiến triển nặng hơn gây chảy máu hoặc viêm quanh răng. Khoa Răng hàm mặt – bệnh […]
Chuyên gia tư vấn: Bệnh viêm lợi và cách chữa trị

Chuyên gia tư vấn: Bệnh viêm lợi và cách chữa trị

Bệnh viêm lợi rất nhiều người mắc phải. Dù không gây nguy hiểm cấp tính nhưng nó khiến cho người bệnh có cảm giác khó chịu, mất tự tin trong giao tiếp. Bài viết này sẽ cùng đề cập đến bệnh viêm lợi và cách chữa trị. Nguyên nhân gây bệnh viêm lợi là do […]
1900558892
zaloChat