Cấp cứu:0901793122
English
Bệnh Viện Đa Khoa Quốc Tế Thu Cúc | TCI Hospital
Chăm sóc sức khoẻ trọn đời cho bạn
Tổng đài1900558892
Răng hàm mặt

Răng hàm mặt

Trang chủ/Sống khỏe/Răng hàm mặt
Đau răng số 6 nguyên nhân do đâu, xử trí như thế nào?

Đau răng số 6 nguyên nhân do đâu, xử trí như thế nào?

Đau răng số 6 là tình trạng không ít người gặp phải, gây ra nhiều bất tiện trong sinh hoạt. Nếu không xác định nguyên nhân gây đau và xử trí kịp thời thì tình trạng này sẽ ảnh hưởng rất lớn tới sức khỏe răng miệng. Tìm hiểu ngay! 1. Răng số 6 là […]
Chuyên gia giải đáp: Trẻ bị nấm miệng phải làm sao?

Chuyên gia giải đáp: Trẻ bị nấm miệng phải làm sao?

Nấm miệng, đẹn miệng hay tưa lưỡi là bệnh lý rất phổ biến ở trẻ nhỏ, đặc biệt là trẻ sơ sinh và trẻ dưới 1 tuổi. Mặc dù không nguy hiểm, bệnh vẫn ảnh hưởng đến vấn đề ăn uống, ngủ, nghỉ,… của trẻ. Vậy, nếu nghi ngờ bé nhà bạn bị nấm miệng, […]
Nắn chỉnh răng cho trẻ em ở độ tuổi nào hiệu quả nhất?

Nắn chỉnh răng cho trẻ em ở độ tuổi nào hiệu quả nhất?

Một hàm răng đẹp không chỉ liên quan đến thẩm mỹ mà đôi khi còn là thứ quyết định sự tự tin cho con trẻ ngay từ khi còn trên ghế nhà trường. Thay đổi hàm răng xô lệch, khấp khểnh bằng cách nắn chỉnh răng cho trẻ em là sự lựa chọn cho tương […]
Nguyên tắc chăm sóc sức khỏe răng miệng trẻ em

Nguyên tắc chăm sóc sức khỏe răng miệng trẻ em

Chắc hẳn bậc phụ huynh nào cũng quan tâm tới vấn đề răng miệng và tìm cách để bảo vệ sức khỏe hàm răng cho con trẻ. Vậy, đâu là những giải pháp hữu hiệu nhất mà bạn nên làm? Hãy cùng tìm hiểu các nguyên tắc chăm sóc sức khỏe răng miệng trẻ em […]
Chuyên gia giải đáp: Bệnh herpes môi có lây không?

Chuyên gia giải đáp: Bệnh herpes môi có lây không?

Herpes môi là bệnh lý khởi phát do hoạt động của một loại virus có tên là HSV. Bệnh nhân Herpes môi có thể bị sốt, đau miệng, đau họng,… Vậy, bệnh Herpes môi có lây không? Nếu có thì bệnh lây qua những đường nào, nên xử trí ra sao khi mắc bệnh? Lời […]
Thông tin cơ bản về khối u xương hàm lành tính và ác tính

Thông tin cơ bản về khối u xương hàm lành tính và ác tính

Có 2 loại khối u xương hàm: Lành tính và ác tính. Dù là u lành tính hay u ác tính, triệu chứng của chúng cũng rất đặc trưng. Vậy, làm thế nào để nhận biết và điều trị chúng. Đọc bài viết sau ngay, chắc chắn bạn sẽ có được câu trả lời thỏa […]
Chữa viêm cuống răng có khó không?

Chữa viêm cuống răng có khó không?

Viêm cuống răng là bệnh rất dễ xảy ra do nhiều yếu tố và gây ảnh hưởng không nhỏ đến cuộc sống, công việc với những biểu hiện và biến chứng nghiêm trọng. Để ngăn chặn những rủi ro có thể xảy ra, cũng như bất kì bệnh lý răng miệng nói riêng và bệnh […]
Sâu men răng và cách điều trị tối ưu

Sâu men răng và cách điều trị tối ưu

Sâu răng là quá trình dài từ khi bắt đầu hình thành tổn thương tại răng cho đến khi tổn thương lớn dần và tới một mức độ có thể gây mất răng. Sâu men răng là giai đoạn nhẹ nhất, diễn ra đầu tiên trong quá trình sâu đó. Việc phát hiện ra tình […]
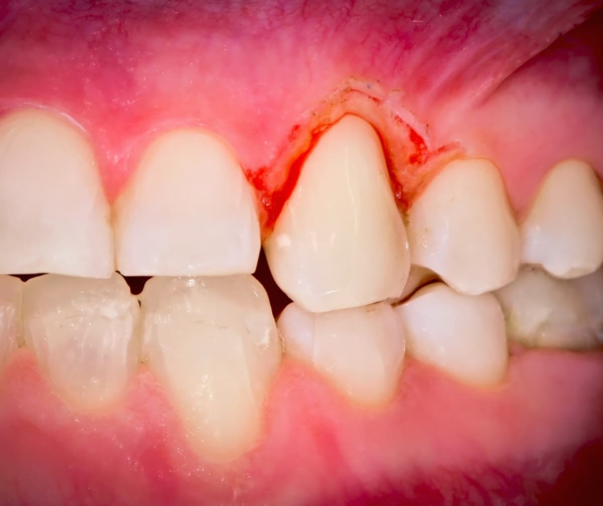
Viêm lợi chảy máu chân răng và những điều bạn cần biết!

Viêm lợi chảy máu chân răng và những điều bạn cần biết!

Viêm lợi chảy máu chân răng là tình trạng thường gặp ở nhiều lứa tuổi. Tình trạng viêm lợi và chảy máu chân răng nếu để lâu rất dễ gây ra hậu quả nghiêm trọng đối với sức khỏe răng miệng. Tìm cách khắc phục và điều trị dứt điểm viêm lợi ngay khi phát […]
Tác nhân khiến răng sâu nặng và giải pháp từ chuyên gia

Tác nhân khiến răng sâu nặng và giải pháp từ chuyên gia

Điều trị sâu răng là vấn đề mà mọi người bệnh đều phải đau đầu mỗi khi nhắc đến. Ấy vậy, không phải việc điều trị lúc nào cũng diễn ra suôn sẻ, sẽ vẫn có những khi tình trạng răng sâu nặng hơn trước và đôi khi chữa xong răng này lại đến răng […]
Chuyên gia giải đáp: Có cần thiết phải lấy cao răng không?

Chuyên gia giải đáp: Có cần thiết phải lấy cao răng không?

Cao răng là tổ hợp cặn lắng cứng của các muối vô cơ (bao gồm canxi carbonat và phosphate) kết hợp với các cặn lắng mềm (bao gồm mảnh vụn thức ăn, các khoáng chất trong khoang miệng), vi khuẩn, tế bào chết biểu mô, cặn lắng sắt trong huyết thanh. Vị trí bám của […]
7 cách trị viêm nướu răng tại nhà hiệu quả và đơn giản

7 cách trị viêm nướu răng tại nhà hiệu quả và đơn giản

Viêm nướu là bệnh lý nha khoa ai trong chúng ta cũng có thể mắc phải. Bệnh không chỉ gây khó chịu mà còn tiềm ẩn nhiều nguy cơ biến chứng tai hại. Chính vì vậy, điều trị dứt điểm viêm nướu là vô cùng cần thiết. Trong dân gian có nhiều cách trị viêm […]
Giải pháp khắc phục cười hở lợi không phẫu thuật

Giải pháp khắc phục cười hở lợi không phẫu thuật

Hở lợi là tình trạng khiến nhiều người tự ti vì khuôn mặt thiếu thẩm mỹ. Đôi khi, hở lợi cũng là một dấu hiệu cho thấy sức khỏe răng miệng đang bị đe dọa. Tuy vậy, điều trị cười hở lợi có nhất thiết phải phẫu thuật hay không? Hãy cùng tìm hiểu về […]
Bị viêm chân răng là bệnh gì?

Bị viêm chân răng là bệnh gì?

Bị viêm chân răng là một trong những tình trạng nhiễm trùng rất nguy hiểm do sự chủ quan trong vấn đề vệ sinh răng miệng khiến cho nướu tổn thương và biến chứng thành viêm nhiễm ở chân răng. Tuy nhiên, không phải ai cũng biết về tình trạng viêm chân răng và những […]
Giải đáp: Khi nào cần cấy implant cho răng?

Giải đáp: Khi nào cần cấy implant cho răng?

Cấy ghép Implant được biết đến là một phương pháp trồng răng hiện đại, có thể khắc phục hoàn toàn tình trạng mất răng ở nhiều người. Vậy, khi nào cần cấy implant cho răng, cùng tìm hiểu ngay trong bài viết dưới đây! 1. Cấy ghép Implant là gì? Cấy ghép implant là một […]
Vi khuẩn sâu răng: Cơ chế hoạt động và những nguy cơ

Vi khuẩn sâu răng: Cơ chế hoạt động và những nguy cơ

90% dân số Việt Nam mắc các bệnh lý răng miệng và phổ biến nhất là sâu răng. người dân mắc bệnh về răng miệng, chủ yếu là sâu răng. Sâu răng từng được xem là một trong ba mối nguy hại đối với sức khỏe con người chỉ sau bệnh tim mạch và ung […]
1900558892
zaloChat