Ý nghĩa hàn răng sâu và lưu ý sau khi hàn
Tình trạng sâu răng không phải là hiếm gặp và có nguồn gốc từ nhiều nguyên nhân khác nhau như việc chăm sóc không đúng cách, chế độ ăn không lành mạnh, và vi khuẩn. Sâu răng có thể ảnh hưởng đến khả năng nhai thức ăn, gây ra mùi hôi miệng khó chịu và làm mất đi vẻ đẹp tự nhiên của hàm răng. Một trong những lựa chọn khắc phục răng sâu phổ biến là hàn răng. Vậy ý nghĩa hàn răng sâu và lưu ý sau khi hàn là gì? Cùng Thu Cúc TCI tìm hiểu 2 vấn đề trên qua bài viết sau đây nhé.
1. Ý nghĩa hàn răng sâu là gì?
Hàn răng là phương pháp dùng các vật liệu chuyên dụng để lấp đầy những khoảng trống do sâu răng, sứt mẻ,… Có nhiều phương pháp hàn trám răng khác nhau bao gồm trám trực tiếp và trám răng gián tiếp Inlay/Onlay. Bác sĩ sẽ tùy thuộc vào tình trạng cụ thể của răng và mục đích điều trị của bạn để tư vấn về phương pháp và chất liệu phù hợp nhất.
Ý nghĩa của hàn răng sâu đem lại bao gồm:
– Ý nghĩa hàn răng điều trị:
Đây là quy trình được sử dụng để phục hồi và điều trị trong các trường hợp răng bị sâu, bị tổn thương do chấn thương, nứt vỡ, hoặc bị mòn men răng.
Ý nghĩa hàn răng điều trị bằng vật liệu composite trắng là chi phí thấp và ăn nhai tốt.
– Ý nghĩa hàn răng phòng ngừa:
Phương pháp này sử dụng các vật liệu trám mỏng được áp dụng lên răng để ngăn ngừa các vấn đề răng miệng hoặc bảo vệ khỏi tác động của axit và thực phẩm gây hại.
– Ý nghĩa hàn răng thẩm mỹ:
Đây là lựa chọn khi bạn muốn che đi các khuyết điểm trên răng, điều chỉnh hình dạng và cải thiện vẻ đẹp tổng thể của răng.
Ý nghĩa hàn răng thẩm mỹ đem lại vẻ đẹp tự nhiên cho răng cửa phía trước (minh họa).
2. Hàn răng sâu khi quá muộn có thể gây hậu quả gì?
Hậu quả của việc điều trị sâu răng quá muộn có thể làm tăng nguy cơ xảy ra những vấn đề nghiêm trọng. Hàn răng sâu là một phương pháp khá đơn giản, mất ít thời gian và không đau. Nhưng trong thực tế, nhiều người trì hoãn việc này, và điều này có thể dẫn đến những hậu quả đáng tiếc. Cụ thể:
2.1 Gây khó khăn trong việc nhai và nghiến thức ăn:
Vi khuẩn trong khoảng trống răng làm cho việc nhai và nghiến thức ăn trở nên khó khăn hơn. Hơn nữa, hơi thở có mùi hôi do vi khuẩn cũng gây mất sự tự tin hàng ngày.
2.2 Nguy cơ viêm nhiễm nướu và tủy răng:
Khi sâu răng tiến triển và xâm nhập vào tủy răng, nó có thể gây ra viêm nhiễm nướu và khiến tủy răng lộ ra bên ngoài. Tình trạng này có thể gây đau đớn và nếu tủy răng bị chết hoặc nhiễm trùng, nó có thể lan tỏa và ảnh hưởng đến sức khỏe tổng thể của cơ thể.
2.3 Rủi ro mất răng:
Trường hợp răng bị vỡ nặng, bị tổn thương sâu và bị viêm nhiễm kéo dài có thể dẫn đến việc cần phải nhổ răng. Điều này có nguy cơ rất cao xảy ra mất răng.
2.3 Lan rộng sang các răng lân cận:
Sâu răng có thể lan sang các răng lân cận, hủy hoại răng miệng tổng thể.
2.4 Tác động xấu đến thẩm mỹ:
Sâu răng không chỉ ảnh hưởng đến răng trong hàm mà còn có thể ảnh hưởng đến răng cửa. Kết quả, răng cửa thường bị thâm đen, xuất hiện lỗ hoặc bị vỡ vừa đau vừa mất thẩm mỹ. Từ đó, gây tự ti khi giao tiếp và tác động xấu đến cuộc sống hàng ngày và sự tự tin. Những hậu quả trên chính là lời cảnh tỉnh để bạn thấy ý nghĩa của việc hàn răng sớm.
3. Hàn răng sâu sử dụng những vật liệu nào?
Những loại vật liệu hàn cần có khả năng tồn tại trong môi trường miệng lâu dài. Hơn nữa không gây kích ứng, phải có khả năng chịu lực nhai và chống mòn tốt. Các vật liệu phổ biến được sử dụng trong hàn răng sâu bao gồm:
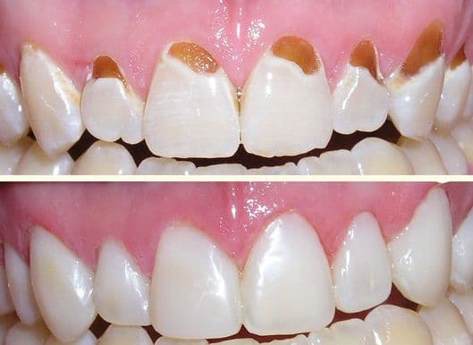
Hình ảnh trước và sau khi hàn răng (minh họa).
3.1 Chất hàn composite
Đây là lựa chọn hàng đầu cho nhiều trường hợp hàn răng sâu. Chất này có nhiều ưu điểm như đảm bảo tính thẩm mỹ, khả năng chịu lực và chống mòn tốt. Đặc biệt màu sắc composite tương tự với màu tự nhiên của răng. Tuy nhiên, sau khi hàn xong, răng có thể trải qua tình trạng hơi ê buốt do chất hàn. Hơn nữa, sau vài năm, chất này có thể bị vỡ hoặc thay đổi màu, đòi hỏi hàn lại.
3.2 Xi măng thủy tinh
Thường được sử dụng khi điều trị những trẻ em không hợp tác trong quá trình hàn răng. Tuy nhiên, loại vật liệu xi măng thủy tinh này có thể giải phóng flour. Đây là một chất tạo độ vững chắc cho cấu trúc răng nhưng lại dễ vỡ, mòn nhanh và khó tạo hình. Nó cũng thường có bảng màu ít để lựa chọn.
3.3 Sứ
Sứ trở nên phổ biến hơn vì tính thẩm mỹ của nó, tuy nhiên chi phí khá cao. Hơn nữa, quá trình thực hiện hàn răng bằng sứ phức tạp và đòi hỏi nha sĩ có trình độ chuyên môn cao để đạt được kết quả tốt nhất.
3.4 Kim loại
Kim loại, như vàng hoặc titan, thường được sử dụng phổ biến nhất trong hàn răng sâu. Chúng có khả năng thích ứng tốt với môi trường trong miệng, chịu lực và mòn tốt, giúp hạn chế nguy cơ sâu răng tái phát. Tuy nhiên, kim loại có hạn chế là không đồng màu với răng tự nhiên. Vì thế nó thường chỉ được sử dụng cho hàn răng ở vị trí răng hàm hoặc các răng bên trong.
4. 5 Lưu ý sau khi hàn răng sâu để bảo vệ răng
Sau khi hàn răng sâu, quan trọng để tuân theo một số hướng dẫn sau đây để bảo vệ vết hàn và thích nghi với răng “mới”:
Bác sĩ đang thực hiện hàn và giải thích ý nghĩa lớn nhất của hàn răng chính là để bảo tồn răng thật bệnh nhân.
4.1 Tác động của thuốc gây tê
Thuốc gây tê có thể gây ra một số tác dụng phụ như làm mặt bị tê bì, sưng to, hoặc mắt trĩu. Thường thì những tác dụng này sẽ biến mất nhanh chóng sau khi thuốc tê không còn tác dụng.
4.2 Hạn chế thức ăn
Tránh ăn những thức ăn quá lạnh hoặc quá nóng, cũng như thức ăn giòn và cứng trong những ngày đầu sau khi hàn răng. Hãy nhai bằng hàm không có răng được hàn.
4.3 Thực phẩm sau hàn răng bằng Composite
Nếu bạn đã hàn răng bằng chất liệu Composite, bạn có thể ăn và nhai bình thường ngay lập tức. Tuy nhiên, nếu răng được hàn bằng vật liệu khác, bạn nên tránh nhai ở chỗ vừa hàn trong vòng 4 giờ đầu.
4.4 Thức uống và thực phẩm màu
Hạn chế ăn các thực phẩm và thức uống như nước ngọt, cà phê,… Bởi vì chúng có thể làm mất màu của miếng hàn nhanh chóng.
4.5 Tránh tác động bằng tăm hoặc vật cứng
Không nên sử dụng tăm để xỉa hoặc tác động vào vùng răng chứa miếng hàn. Điều này có thể gây vỡ hoặc làm tróc cấu trúc miếng hàn. Thay vào đó, bạn nên sử dụng chỉ nha khoa hoặc tăm nước để loại bỏ thức ăn thừa. Phương pháp này giúp làm sạch các kẽ, tránh làm xước và gây đau lợi. Đặc biệt bảo tồn tính thẩm mỹ của răng sau hàn trám.
Hy vọng những thông tin về ý nghĩa hàn răng sâu và lưu ý sau khi hàn hữu ích cho bạn. Thực tế, ý nghĩa lớn nhất của hàn răng chính là để bảo tồn răng thật và khắc phục răng bị sâu. Đừng để răng sâu viêm ảnh hưởng đến tủy răng mà hãy đến Thu Cúc để thăm khám và điều trị sớm nhé.


















