Giúp bạn hiểu rõ về hình ảnh chụp X quang ung thư phổi
Chụp X-quang phổi là phương pháp chẩn đoán hình ảnh phổ biến, giúp phát hiện sớm các bất thường trong phổi như tổn thương hoặc nhiễm trùng. Bài viết dưới đây sẽ cung cấp thông tin chi tiết về hình ảnh chụp X quang ung thư phổi và vai trò của phương pháp này trong việc tầm soát bệnh lý.
1. Khái quát về phương pháp chụp X quang phổi
Chụp X-quang phổi là phương pháp chẩn đoán hình ảnh cơ bản, sử dụng tia X để tái hiện hình ảnh chi tiết của các cơ quan trong lồng ngực như tim, phổi, đường thở, mạch máu và hệ bạch huyết. Phương pháp này thường được chỉ định trong nhiều trường hợp, bao gồm:
– Kiểm tra sức khỏe định kỳ, đặc biệt với người hút thuốc lá, thuốc lào hoặc thường xuyên tiếp xúc với khói thuốc.
– Người có triệu chứng hô hấp như ho dai dẳng, khó thở, đau tức ngực.
– Nghi ngờ bệnh lý phổi như viêm phổi, lao phổi, u phổi, áp xe phổi…
– Chấn thương vùng ngực cần đánh giá mức độ tổn thương.
– Phát hiện bệnh lý tim mạch thông qua hình ảnh tim và mạch máu vùng ngực.
Có thể thấy, chụp X-quang phổi giúp phát hiện sớm nhiều bệnh lý nguy hiểm, hỗ trợ bác sĩ đưa ra chẩn đoán và phương án điều trị phù hợp.

Chụp X-quang phổi là phương pháp chẩn đoán hình ảnh cơ bản, sử dụng tia X để tái hiện hình ảnh chi tiết của các cơ quan trong lồng ngực
2. Tìm hiểu về bệnh ý ung thư phổi
Đây là một bệnh lý ác tính xảy ra khi các tế bào bất thường trong phổi phát triển mất kiểm soát, hình thành khối u và có nguy cơ lan rộng sang các cơ quan khác. Quá trình này khởi phát từ các cấu trúc trong phổi như khí quản, phế quản, tiểu phế quản và phế nang – nơi diễn ra sự trao đổi oxy và carbon dioxide (CO2). Khi bệnh tiến triển, các tế bào ung thư có thể xâm lấn các mô lân cận hoặc di căn đến nhiều cơ quan trong cơ thể.
Ung thư phổi có hai loại chính:
– Ung thư phổi tế bào nhỏ: Dạng ung thư hiếm gặp hơn nhưng tiến triển rất nhanh và có khả năng di căn sớm. Loại này chủ yếu xuất hiện ở những người hút thuốc lá lâu năm.
– Ung thư phổi không tế bào nhỏ: Loại ung thư này chiếm khoảng 85% tổng số ca ung thư phổi, gồm ba dạng chính: ung thư biểu mô tuyến, ung thư biểu mô tế bào vảy và ung thư biểu mô tế bào lớn.
Ung thư phổi có thể xảy ra ở cả nam và nữ, với tỷ lệ mắc bệnh và tử vong khác nhau giữa các nhóm dân cư. Nguyên nhân hàng đầu gây bệnh là hút thuốc lá, bên cạnh đó còn có các yếu tố nguy cơ khác như tiếp xúc với hóa chất độc hại (radon, amiăng), ô nhiễm không khí và yếu tố di truyền.

Ung thư phổi là một bệnh lý ác tính xảy ra khi các tế bào bất thường trong phổi phát triển mất kiểm soát, hình thành khối u và có nguy cơ lan rộng sang các cơ quan khác
3. Làm rõ một số điều về hình ảnh chụp X quang ung thư phổi
3.1. Trước khi tìm hiểu về hình ảnh chụp X quang ung thư phổi, cùng nắm rõ ưu – nhược điểm của kỹ thuật này
Chụp X-quang phổi là một trong những kỹ thuật chẩn đoán hình ảnh được sử dụng rộng rãi trong thực hành lâm sàng, có thể thực hiện ở nhiều cơ sở y tế nhờ các ưu điểm nổi bật như:
– Nhanh chóng, không xâm lấn giúp bệnh nhân dễ dàng thực hiện mà không cần can thiệp phức tạp.
– Chi phí hợp lý, phù hợp với nhiều đối tượng.
– Quan sát được toàn bộ vùng lồng ngực, bao gồm xương sườn, tim, phổi và hệ thống mạch máu, hỗ trợ phát hiện nhiều bệnh lý liên quan.
Tuy nhiên, kỹ thuật chụp X quang phổi cũng có một số hạn chế như:
– Khó phát hiện tổn thương nhỏ hoặc giai đoạn sớm, đặc biệt là những bất thường kích thước nhỏ.
– Hạn chế quan sát tổn thương bị che lấp bởi bóng tim, xương sườn hoặc các vị trí khó nhìn thấy như vùng đỉnh phổi.
– Không đánh giá chi tiết cấu trúc bên trong tổn thương, cần kết hợp với các phương pháp hình ảnh cao cấp hơn như CT scan hoặc MRI để có chẩn đoán chính xác hơn.
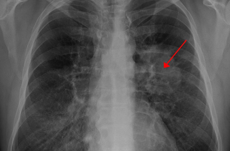
3.2. Phân tích hình ảnh chụp X quang ung thư phổi
Các khối u phổi trên phim X-quang có hình thái đa dạng nhưng thường biểu hiện dưới dạng khối mờ (vùng sáng trên phim), có hình tròn với ranh giới có thể rõ hoặc không. Dựa vào vị trí xuất hiện, u phổi được chia thành hai loại chính:
– U phổi trung tâm: Xuất hiện ở vùng rốn phổi, thường có hình ảnh khối mờ tại rốn phổi, với bờ tua gai (dạng tia nắng mặt trời) và ranh giới không rõ ràng. Do xuất phát từ các phế quản lớn, loại u này có thể gây xẹp thùy phổi nếu xâm lấn vào nhánh phế quản.
– U phổi ngoại vi: Xuất hiện ở vùng ngoại vi phổi, thường có hình tròn hoặc bầu dục, với bờ rõ nét hơn so với u trung tâm.
Ngoài hình ảnh của ung thư nguyên phát tại phổi, X-quang còn có thể phát hiện các tổn thương di căn từ ung thư ở cơ quan khác. Khi đó, phim X-quang có thể xuất hiện các nốt mờ nhỏ, kích thước không đồng đều, rải rác hai bên phổi, thường được gọi là hình ảnh “thả bóng”.
Chụp X-quang phổi là một phương pháp quan trọng giúp bác sĩ đánh giá sơ bộ các tổn thương tại phổi, đặc biệt có giá trị trong tầm soát ung thư phổi. Nếu phim X-quang phát hiện các dấu hiệu nghi ngờ tổn thương ác tính như khối mờ vùng rốn phổi, bờ tua gai, ranh giới không rõ hoặc hình ảnh “thả bóng” hai trường phổi, bác sĩ sẽ xem xét thêm các triệu chứng lâm sàng và chỉ định các phương pháp chẩn đoán chuyên sâu như chụp cắt lớp vi tính, xét nghiệm máu hoặc sinh thiết u phổi,… để đưa ra kết luận chính xác.

Chụp X-quang phổi là một phương pháp quan trọng giúp bác sĩ đánh giá sơ bộ các tổn thương tại phổi
Với vai trò quan trọng trong phát hiện sớm các bệnh lý hô hấp, đặc biệt là ung thư phổi, chụp X-quang phổi là dịch vụ mà bạn nên thực hiện trong các đợt khám sức khỏe định kỳ. Bên cạnh việc tìm hiểu kỹ về phương pháp này, bạn cũng nên lựa chọn cơ sở y tế đạt chuẩn, có hệ thống trang thiết bị hiện đại và đội ngũ bác sĩ giàu kinh nghiệm để đảm bảo kết quả chính xác, an toàn cho bản thân và gia đình. Hãy thăm khám định kỳ để bảo vệ sức khỏe hô hấp của bạn ngay từ hôm nay!