Chụp X quang có phát hiện ung thư phổi không?
Ung thư phổi là một trong những bệnh lý ác tính nguy hiểm, thường tiến triển âm thầm và khó nhận biết ở giai đoạn đầu. Nhiều người khi thấy cơ thể mệt mỏi hoặc ho kéo dài thường tìm đến phương pháp chụp X-quang phổi. Tuy nhiên, liệu chụp X quang có phát hiện ung thư phổi không hay cần thực hiện thêm các chẩn đoán chuyên sâu nào khác? Bài viết dưới đây sẽ giúp bạn hiểu rõ vai trò, giới hạn của X-quang phổi trong việc phát hiện sớm ung thư phổi.
1. Giải đáp chụp x quang có phát hiện ung thư phổi không
1.1. Cách thức chụp X-quang
Chụp X-quang ngực thường là xét nghiệm đầu tiên mà bác sĩ chỉ định khi nghi ngờ có bất thường tại phổi. Kỹ thuật này sử dụng tia X xuyên qua cơ thể để tạo ra hình ảnh cấu trúc bên trong lồng ngực.
Trong khi chụp, người bệnh có thể đứng, ngồi hoặc nằm theo hướng dẫn của kỹ thuật viên để đạt góc chụp phù hợp. Do các mô hấp thụ tia X khác nhau, xương hiện màu trắng, không khí trong phổi hiện màu đen, còn mô mềm hiển thị các sắc độ xám trên phim.
Nhờ cơ chế này, bác sĩ có thể quan sát tổng thể phổi, tim, xương sườn và phát hiện những vùng bất thường về hình dạng hoặc mật độ. Đây là lý do X-quang thường được chỉ định như xét nghiệm hình ảnh ban đầu.

1.2. Hình ảnh ung thư phổi khi chụp X-quang
Vậy ung thư phổi chụp X quang có thấy không? Câu trả lời là có thấy những bất thường, nhưng không thể khẳng định chắc chắn đó là ác tính hay lành tính. Theo National MRI Scan, trên phim X-quang, ung thư phổi có thể xuất hiện dưới dạng một vùng mờ hoặc đậm màu hơn so với mô phổi xung quanh. Những bất thường này thường là các đốm trắng, vùng che mờ hoặc hình khối có ranh giới không đồng đều.
- Nốt phổi: Một đốm tròn hoặc bầu dục nhỏ có đường kính dưới 3cm.
- Khối u phổi: Những vùng phát triển bất thường có kích thước lớn hơn 3cm.
- Tân sinh phổi: Thuật ngữ chỉ sự tăng trưởng mô mới không bình thường, bao gồm cả nốt và khối u.
- Tổn thương phổi: Bất kỳ vùng mô nào không bình thường, có thể do viêm, nhiễm trùng hoặc u.
- Bóng mờ trên phổi: Vùng tối tăng đậm độ, gợi ý sự hiện diện của khối u hoặc các cấu trúc chồng lấp.
2. Vai trò của chụp X-quang phổi trong phát hiện ung thư
2.1. Giai đoạn phát hiện ung thư phổi sớm
X-quang phổi đóng vai trò quan trọng trong sàng lọc ban đầu và định hướng chẩn đoán, nhưng không phải là phương pháp xác định ung thư phổi. Ở giai đoạn sớm, ung thư phổi thường có kích thước nhỏ và chưa gây triệu chứng rõ ràng.
Trong một số trường hợp, X-quang phổi có thể phát hiện nốt mờ nhỏ, đơn độc trong nhu mô phổi. Những nốt này thường xuất hiện như một đốm trắng nhỏ trên nền phổi tối màu do chứa không khí. Đây có thể là dấu hiệu sớm cần được theo dõi và đánh giá thêm. Tuy nhiên, nhiều tổn thương ung thư giai đoạn sớm có kích thước rất nhỏ hoặc nằm ở vị trí khó quan sát, dễ bị che khuất bởi xương sườn hoặc tim. Vì vậy, X-quang có thể bỏ sót ung thư phổi giai đoạn đầu.
Do đó, dù ung thư phổi chụp X-quang có thấy không trong một số trường hợp, nhưng độ nhạy của phương pháp này vẫn còn hạn chế. X-quang chủ yếu giúp bác sĩ quyết định có cần làm thêm các xét nghiệm chuyên sâu hơn hay không.
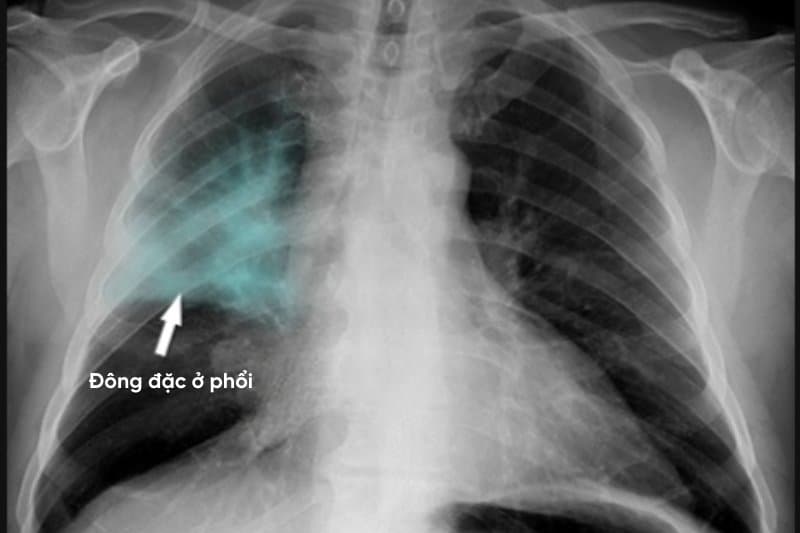
2.2. Giai đoạn ung thư phổi muộn
Ngược lại, ở giai đoạn tiến triển, hình ảnh X-quang thường rõ ràng với các khối trắng lớn, rất khó bỏ sót. Phim chụp lúc này có thể dễ dàng trả lời chụp X quang phổi có phát hiện khối u không và cho thấy các biến chứng kèm theo như tràn dịch màng phổi hoặc các vùng viêm phổi nặng. Nhiều bệnh nhân chỉ đi khám khi các triệu chứng như ho ra máu, đau ngực đã trở nên nghiêm trọng.
Sự chậm trễ trong chẩn đoán thường do các dấu hiệu ung thư dễ bị nhầm lẫn với viêm phế quản hoặc hậu quả của hút thuốc. Khi có những nghi ngờ ở giai đoạn muộn, X-quang có thể cho thấy tình trạng đông đặc phổi. Trong thực hành lâm sàng, việc chẩn đoán thường dựa vào kết hợp triệu chứng, tiền sử, kết quả chẩn đoán hình ảnh chuyên sâu và sinh thiết mô bệnh học. Vì vậy, thông tin lâm sàng và các phương pháp như CT scan sẽ mang tính quyết định hơn trong giai đoạn này.

3. Một số phương pháp chẩn đoán hình ảnh hỗ trợ phát hiện ung thư phổi
3.1. Chụp CT có cản quang
Chụp CT là bước tiếp theo thường được thực hiện khi X-quang phát hiện bất thường nghi ngờ. CT sử dụng tia X kết hợp máy tính để tạo hình ảnh cắt lớp chi tiết theo nhiều góc độ. Khi tiêm thuốc cản quang, hình ảnh mạch máu và mô phổi trở nên rõ ràng hơn, giúp đánh giá chính xác kích thước, hình dạng và mức độ xâm lấn của khối u.
CT phổi có cản quang giúp phát hiện ung thư phổi giai đoạn sớm hơn, đồng thời đánh giá khả năng lan rộng đến hạch bạch huyết hoặc các cơ quan lân cận. Hiện nay, Hệ thống Y tế Thu Cúc TCI triển khai gói tầm soát ung thư phổi bằng CT có tiêm thuốc cản quang, hỗ trợ phát hiện sớm ung thư phổi và nhiều bệnh lý nguy hiểm khác, từ đó tăng cơ hội điều trị hiệu quả.

3.2. Chụp PET-CT
Nếu CT scan phát hiện khối u nghi ngờ, bác sĩ có thể chỉ định chụp PET-CT để đánh giá mức độ hoạt động của tế bào ung thư. PET-CT kết hợp hình ảnh CT và cắt lớp phát xạ positron, giúp phát hiện các tế bào ung thư đang chuyển hóa mạnh, từ đó xác định giai đoạn bệnh, phát hiện di căn và hỗ trợ lựa chọn phác đồ điều trị phù hợp.
3.3. Chụp MRI
MRI sử dụng từ trường và sóng radio để tạo hình ảnh chi tiết của mô mềm. Phương pháp này không dùng tia X nên an toàn trong nhiều trường hợp. Trong ung thư phổi, MRI thường được sử dụng để kiểm tra xem tế bào ác tính đã di căn lên não hay chưa. Ngoài ra, MRI rất quan trọng trong việc đánh giá các khối u Pancoast (u đỉnh phổi). Đây là loại ung thư hiếm gặp có thể xâm lấn vào mạng lưới thần kinh cánh tay, mạch máu lớn hoặc cột sống.
3.4. Nội soi phế quản
Nếu khối u nằm ở trung tâm gần đường thở, nội soi phế quản cho phép bác sĩ quan sát trực tiếp đường thở và lấy mẫu mô nghi ngờ để xét nghiệm. Kỹ thuật nội soi siêu âm qua phế quản giúp đánh giá hạch trung thất và sinh thiết hạch khi cần thiết. Kết quả mô bệnh học là cơ sở để chẩn đoán xác định.
Hy vọng bài viết đã giúp bạn trả lời được câu hỏi chụp x-quang phổi có phát hiện ung thư không. X-quang là một công cụ sàng lọc hữu ích, nhanh chóng nhưng không đủ để khẳng định bệnh ở giai đoạn sớm. Thực hiện tầm soát ung thư phổi định kỳ là vô cùng cần thiết, đặc biệt với những người có tiền sử hút thuốc lá. Gói tầm soát ung thư phổi tại Thu Cúc TCI giúp phát hiện sớm tổn thương nguy hiểm, nâng cao cơ hội điều trị và bảo vệ sức khỏe lâu dài.
















