Ung thư biểu mô tuyến đại tràng
Ung thư biểu mô tuyến đại tràng là một dạng phổ biến của ung thư đại tràng. Ung thư biểu mô tuyến đại tràng xuất hiện ở tế bào biểu mô hay còn gọi là lớp lót bên trong đại tràng.
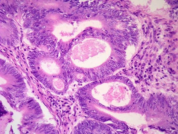
Hình ảnh ung thư biểu mô tuyến đại tràng
1. Ai dễ mắc ung thư biểu mô tuyến đại tràng?
- Ung thư biểu mô tuyến đại tràng có thể gặp ở mọi lứa tuổi, nhưng tỉ lệ người già và trung niên nguy cơ mắc bệnh cao hơn người trẻ.
- Người có tiền sử gia đình mắc bệnh ung thư biểu mô tuyến đại tràng nguy cơ mắc bệnh cao hơn người bình thường.
- Người đang hoặc từng bị polyp đại tràng
- Người ăn nhiều chất béo và thịt đỏ, ăn ít chất xơ nguy cơ mắc bệnh ung thư biểu mô tuyến đại tràng cao hơn.
- Những người lười vận động, hút thuốc lá, thường xuyên uống nhiều bia, rượu…làm tăng nguy cơ mắc bệnh ung thư biểu mô tuyến đại tràng.
2. Chẩn đoán ung thư biểu mô tuyến đại tràng
- Xét nghiệm tìm máu trong phân: Giúp tìm kiếm dấu hiệu của máu trong phân do chảy máu khối u và
- Nội soi đại tràng: Đây là phương pháp quan trọng giúp chẩn đoán sớm ung thư đại tràng. Qua hình ảnh nội soi, bác sĩ sẽ quan sát toàn bộ đại tràng, phát hiện sớm khối u.
- Chụp X-quang: Giúp bác sĩ quan sát một cách toàn diện toàn bộ đại tràng xem có sự hiện diện của các khối u và các tế bào ung thư hay không.
- Chụp CT/ MRI: Các phương pháp chẩn đoán này giúp xác định kích thước khối u và xác định mức độ lây lan của bệnh trong cơ thể.
- Siêu âm ổ bụng: Giúp bác sĩ quan sát các cơ quan trong cơ thể để phát hiện ung thư đã lan rộng hay chưa.
- Sinh thiết: Tiến hành lấy một số mẫu mô ở ung thư biểu mô tuyến đại tràng sau đó quan sát dưới kính hiển vi để chẩn đoán chính xác bệnh.
Nội soi đại tràng tại bệnh viện Thu Cúc
Các phương pháp chẩn đoán ung thư biểu mô tuyến đại tràng sẽ giúp phát hiện sớm những dấu hiệu từ đó các bác sĩ kịp thời đưa ra liệu pháp điều trị phù hợp.
Tham khảo: Khám tầm soát ung thư đại trực tràng sớm
3. Phương pháp điều trị bệnh ung thư biểu mô tuyến đại tràng
Tuỳ thuộc vào mức độ xâm lấn của tế bào ung thư và tình trạng sức khỏe của bệnh nhân mà các bác sĩ sẽ đưa ra phác đồ điều trị bệnh ung thư biểu mô tuyến đại tràng phù hợp.
- Phẫu thuật
Phương pháp này thường được lựa chọn trong điều trị ung thư biểu mô tuyến đại tràng giai đoạn sớm. Lúc này khối u chưa phát triển tới lớp cơ trong thành đại tràng và tỷ lệ được chữa khỏi bệnh lên tới 90%.
Ở giai đoạn phát triển, các khối u đã phát triển với kích thước lớn và lây lan đến các hạch bạch huyết. Khi đó, các bác sĩ có thể kết hợp phẫu thuật với liệu pháp hoá trị, xạ trị để giảm các triệu chứng đau, ngăn chặn sự lây lan của các tế bào ung thư, giúp tăng cơ hội sống cho bệnh nhân.
- Hóa trị và xạ trị
Ở giai đoạn cuối khi các tế bào ung thư đã di căn đến gan, xương hay các bộ phận khác phẫu thuật giúp loại bỏ khối u và giảm biến chứng tắc nghẽn ruột. Ngoài ra bệnh nhân có thể được xạ trị nhằm làm giảm triệu chứng, cải thiện chất lượng đời sống và kéo dài tuổi thọ.
Cũng giống như các bệnh ung thư khác, ung thư biểu mô tuyến đại tràng nếu được phát hiện sớm hiệu quả điều trị rất cao. Ở giai đoạn sớm bệnh nhân có cơ hội chữa khỏi bệnh. Nhưng khi bệnh đã di căn thì tỉ lệ sống tỷ lệ sống sau 5 năm là khoảng 10%. Do đó, bạn hãy chủ động khám sức khỏe định kì, duy trì chế độ ăn uống khoa học và lối sống lành mạnh để chống lại bệnh tật.














