U lành mạch máu dạng hang có nguy hiểm?
U lành mạch máu dạng hang là một dị dạng mạch máu bẩm sinh hoặc mắc phải, thường gặp ở não và tủy sống. Do được xếp vào nhóm tổn thương lành tính, nhiều người cho rằng bệnh không đáng lo ngại. Tuy nhiên, cấu trúc thành mạch mỏng và dễ rò rỉ khiến khối u tiềm ẩn nguy cơ chảy máu, đặc biệt khi nằm trong hệ thần kinh trung ương. Vậy thực chất u lành mạch máu dạng hang có nguy hiểm không? Trong những trường hợp nào người bệnh cần đặc biệt lưu ý?
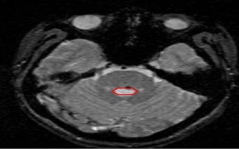
1. U lành mạch máu dạng hang là gì? Thường gặp ở vị trí nào?
U mạch máu dạng hang (dị dạng thể hang) là một tập hợp bất thường của các mao mạch (những mạch máu rất nhỏ) kết tụ sát nhau thành từng cụm. Bên trong khối tổn thương có các khoang chứa máu, được ngăn cách bởi mô liên kết. Do thành mạch mỏng và cấu trúc nâng đỡ kém hơn bình thường, các mạch này dễ rò rỉ hoặc chảy máu.
U mạch máu dạng hang có thể xuất hiện ở nhiều vị trí trong cơ thể, nhưng thường gặp nhất ở não, thân não và tủy sống. Ngoài ra, có thể xuất hiện u lành mạch máu dạng hang ở lưỡi, da, gan hoặc mắt, tuy nhiên các vấn đề nghiêm trọng chủ yếu xảy ra khi tổn thương nằm tại não hoặc tủy sống.

2. U mạch máu dạng hang có nguy hiểm không?
U lành mạch máu dạng hang có thể nguy hiểm, nhưng mức độ nguy hiểm không giống nhau ở tất cả mọi người. Nguyên nhân chính khiến tổn thương này tiềm ẩn rủi ro là do cấu trúc thành mạch rất mỏng và thiếu sự nâng đỡ vững chắc. Các mao mạch trong khối u dễ bị rò rỉ hoặc vỡ, dẫn đến chảy máu (xuất huyết), đặc biệt khi nằm ở não hoặc tủy sống.
Khi xảy ra xuất huyết trong não hoặc tủy sống, người bệnh có thể gặp các biến chứng nghiêm trọng như co giật, yếu hoặc liệt tay chân, rối loạn thị lực, nói khó, thậm chí đột quỵ. Trong trường hợp chảy máu nhiều, tình trạng này có thể đe dọa tính mạng. Ngoài ra, nếu đã từng bị chảy máu một lần, nguy cơ tái xuất huyết trong tương lai sẽ cao hơn.
Tuy vậy, không phải tất cả u mạch máu dạng hang đều gây biến chứng. Nhiều trường hợp không có triệu chứng và được phát hiện tình cờ. Mức độ nguy hiểm phụ thuộc vào kích thước khối u, số lượng tổn thương, vị trí xuất hiện và tiền sử đã từng chảy máu hay chưa. Vì mỗi người có hoàn cảnh khác nhau, việc đánh giá nguy cơ cần dựa trên tư vấn và theo dõi của bác sĩ chuyên khoa.
3. U mạch máu dạng hang có phải ung thư không?
U mạch máu dạng hang KHÔNG PHẢI là ung thư. Đây là một tổn thương mạch máu lành tính, hình thành do sự tập trung bất thường của các mạch máu giãn nở tạo thành nhiều khoang chứa máu. Về bản chất, đây là dị dạng hoặc tăng sinh mạch máu chứ không phải khối u ác tính có khả năng xâm lấn và di căn như ung thư.

Ở não, gan hay lưỡi, u mạch máu thể hang đều được mô tả là tổn thương lành tính. Kết quả mô bệnh học cho thấy các khoang mạch máu được lót bởi tế bào nội mô bình thường, không có dấu hiệu loạn sản hay ác tính. Tuy nhiên, dù không phải ung thư, chúng vẫn có thể gây nguy hiểm do nguy cơ chảy máu, chèn ép cấu trúc xung quanh hoặc gây rối loạn chức năng tùy theo vị trí và kích thước.
4. U mạch máu dạng hang có cần điều trị không?
U lành mạch máu dạng hang có cần điều trị hay không phụ thuộc vào vị trí tổn thương, tình trạng chảy máu và các triệu chứng mà người bệnh gặp phải.
Trong trường hợp u không chảy máu và không gây triệu chứng, bác sĩ thường chưa can thiệp ngay mà theo dõi định kỳ bằng chụp cộng hưởng từ (MRI). Người bệnh sẽ được hướng dẫn nhận biết các dấu hiệu cảnh báo để kịp thời xử trí nếu xảy ra xuất huyết giữa các lần tái khám.
Ngược lại, nếu u mạch máu thể hang đã gây chảy máu, co giật, đau đầu kéo dài, yếu liệt hoặc rối loạn thị lực, việc điều trị là cần thiết để hạn chế biến chứng. Khi đã từng xuất huyết, nguy cơ chảy máu tái phát sẽ cao hơn, do đó bác sĩ có thể cân nhắc can thiệp tích cực.
Hiện nay có hai phương pháp điều trị chính:
- Phẫu thuật loại bỏ khối dị dạng: Được chỉ định khi tổn thương gây xuất huyết có triệu chứng, làm suy giảm chức năng thần kinh, co giật không kiểm soát bằng thuốc và khi vị trí u cho phép can thiệp an toàn.

- Xạ phẫu bằng dao gamma (dao gamma kinh điển, dao gamma quay, Cyberknife…): Là phương pháp ít xâm lấn, có thể áp dụng cho nhiều vị trí khác nhau trong não, giúp giảm nguy cơ tai biến và biến chứng so với phẫu thuật mở trong một số trường hợp phù hợp.
Như vậy, không phải mọi u lành mạch máu dạng hang đều bắt buộc phải điều trị ngay. Tuy nhiên, khi tổn thương gây triệu chứng hoặc đã xuất huyết, việc can thiệp là cần thiết để phòng ngừa biến chứng nghiêm trọng như đột quỵ hoặc suy giảm chức năng thần kinh lâu dài. Quyết định điều trị cần dựa trên đánh giá cụ thể của bác sĩ chuyên khoa đối với từng người bệnh.
Nhìn chung, u lành mạch máu dạng hang không phải ung thư và nhiều trường hợp không gây triệu chứng. Tuy nhiên, nếu tổn thương nằm ở não hoặc tủy sống và xảy ra chảy máu, người bệnh có thể gặp các biến chứng nghiêm trọng như co giật, yếu liệt hoặc đột quỵ. Vì vậy, mức độ nguy hiểm phụ thuộc vào vị trí, kích thước và tiền sử xuất huyết. Việc theo dõi định kỳ và điều trị khi cần thiết sẽ giúp kiểm soát rủi ro và bảo vệ sức khỏe lâu dài.
















