Tăng sinh mô lympho đáy lưỡi thành họng có nguy hiểm không?
Tăng sinh mô lympho đáy lưỡi thành họng là tình trạng khá thường gặp, đặc biệt ở những người hay bị viêm đường hô hấp trên kéo dài hoặc trào ngược dạ dày – thực quản. Tuy nhiên, nhiều người vẫn lo lắng không biết hiện tượng tăng sinh mô lympho đáy lưỡi thành họng có nguy hiểm không. Việc hiểu rõ nguyên nhân, mức độ và hướng theo dõi phù hợp sẽ giúp người bệnh yên tâm hơn, chủ động trong chăm sóc sức khỏe tai mũi họng.
1. Lympho đáy lưỡi là gì? Tăng sinh mô lympho đáy lưỡi là gì?
Lympho đáy lưỡi là các mô lympho (mô bạch huyết) nằm ở vùng đáy lưỡi và hạ họng. Các mô này thuộc vòng bạch huyết Waldeyer, cùng với amidan khẩu cái, amidan vòm, amidan vòi… Chức năng chính của các mô này là tham gia bảo vệ cơ thể, giúp nhận diện và chống lại vi khuẩn, virus, các tác nhân gây bệnh xâm nhập qua đường ăn uống và hô hấp.
Vậy tăng sinh mô lympho đáy lưỡi là gì hay quá phát lympho đáy lưỡi là gì? Thực chất, đây đều là tình trạng các mô lympho tại vùng đáy lưỡi tăng kích thước và số lượng so với bình thường. Khi các yếu tố kích thích kéo dài không được kiểm soát, mô lympho phải tăng sinh liên tục và điều này có thể tiềm ẩn nguy cơ xuất hiện những biến đổi bất thường theo thời gian.

2. Nguyên nhân và triệu chứng tăng sinh mô lympho đáy lưỡi là gì?
Nguyên nhân tăng sinh lympho đáy lưỡi là do phản ứng của cơ thể trước sự kích thích kéo dài như viêm họng tái diễn, viêm họng mạn, viêm amidan mạn, trào ngược dạ dày – thực quản, hoặc dịch mũi xoang chảy xuống họng. Khi các mô này liên tục tiếp xúc với dịch viêm hay acid, chúng bị kích ứng và tăng sinh, tạo thành các hạt hoặc khối nhỏ. Người bệnh thường có các biểu hiện kéo dài, gây khó chịu rõ rệt, bao gồm:
- Cảm giác vướng họng, vướng đàm dai dẳng
- Nuốt vướng, nuốt khó
- Khô rát, nóng rát, khó chịu ở thành sau họng
- Cảm giác sưng đau vùng đáy lưỡi hoặc hạ họng
- Đau khi nuốt nước bọt hoặc khi ăn uống
- Lưỡi bẩn, nhiều rêu lưỡi, lưỡi trắng
- Hơi thở có mùi
- Mệt mỏi, chán ăn
- Sốt trong giai đoạn viêm cấp
- Có thể xuất hiện hạch cổ hoặc hạch góc hàm.
3. Tăng sinh mô lympho đáy lưỡi thành họng có nguy hiểm không?
Vậy tăng sinh mô lympho đáy lưỡi thành họng có nguy hiểm không? Phần lớn là KHÔNG nguy hiểm nếu là tăng sinh lành tính. Tuy nhiên người bệnh không nên chủ quan hay để tình trạng này kéo dài mà không kiểm soát đúng cách.

Ở giai đoạn đầu, tăng sinh mô lympho chủ yếu là phản ứng lành tính của cơ thể trước tình trạng viêm nhiễm tại họng. Nếu nguyên nhân chỉ là viêm họng cấp, sau khi điều trị ổn định, các mô lympho này có thể tự thu nhỏ lại và không gây nguy hiểm.
Ngược lại, nếu yếu tố kích thích diễn ra liên tục và kéo dài, mô lympho có thể tăng sinh dai dẳng, gây triệu chứng khó chịu. Về mặt y học, mọi mô tăng sinh kéo dài đều tiềm ẩn nguy cơ loạn sản, dù nguy cơ hóa ác là thấp và hiếm gặp, đặc biệt sẽ cao hơn ở người hút thuốc, nhiễm HPV vùng miệng – họng hoặc có tiền sử gia đình ung thư.
Ngoài ra, tài liệu cũng ghi nhận một số trường hợp rất hiếm tăng sản lympho lành tính phát triển quá mức gây tắc nghẽn đường thở, phải can thiệp phẫu thuật, cho thấy bệnh không nên xem nhẹ dù bản chất lành tính. Những dấu hiệu như nốt xuất hiện một bên, bề mặt sần sùi, có loét, to dần theo thời gian, kèm hạch cổ được xem là dấu hiệu cảnh báo, cần thăm khám chuyên khoa Tai Mũi Họng sớm để loại trừ tổn thương ác tính.
4. Phân biệt tăng sinh lympho đáy lưỡi với u ác tính
Phần lớn tăng sinh lympho đáy lưỡi là lành tính, tuy nhiên hình ảnh lâm sàng đôi khi có thể khiến người bệnh và bác sĩ nhầm lẫn với những bệnh lý nguy hiểm hơn, đặc biệt là u ác tính vùng hầu họng. Vì vậy, việc phân biệt đặc điểm của tăng sinh lympho đáy lưỡi với u ác tính có ý nghĩa quan trọng, giúp làm rõ vấn đề tăng sinh mô lympho đáy lưỡi thành họng có nguy hiểm không và định hướng theo dõi, điều trị phù hợp cho người bệnh.
Về bản chất bệnh:
- Tăng sinh lympho đáy lưỡi: Là phản ứng lành tính của mô lympho trước tình trạng viêm hoặc kích thích kéo dài (viêm họng mạn, trào ngược dạ dày – thực quản, viêm mũi xoang…). Đây là cơ chế bảo vệ tự nhiên của cơ thể.
- U ác tính vùng đáy lưỡi – hầu họng: Là sự tăng sinh tế bào bất thường, có khả năng xâm lấn mô xung quanh và di căn.
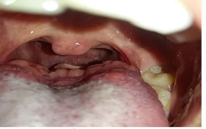
Hình ảnh tổn thương khi quan sát:
- Tăng sinh lympho: Thường là nhiều nốt nhỏ, phân bố hai bên, khá đối xứng, màu hồng hoặc hồng thẫm.
- U ác tính: Thường là một khối đơn độc, hay xuất hiện một bên, bề mặt sần sùi và dễ loét chảy máu, Kích thước tăng dần theo thời gian
5. Cách điều trị tăng sinh lympho đáy lưỡi
Điều trị tăng sinh lympho đáy lưỡi cần được tiếp cận theo hướng toàn diện, lấy việc kiểm soát nguyên nhân kích thích kéo dài làm nền tảng, đồng thời đánh giá mức độ tổn thương để lựa chọn phương pháp phù hợp. Tùy từng trường hợp, bác sĩ có thể chỉ định điều trị nội khoa, theo dõi sát hoặc can thiệp khi cần thiết.
5.1. Xử lý nguyên nhân gây kích thích mạn tính
Trước hết, cần điều trị triệt để các bệnh lý nền như trào ngược dạ dày – thực quản theo chuyên khoa tiêu hóa, kết hợp điều chỉnh chế độ ăn uống và sinh hoạt. Song song đó là điều trị viêm mũi xoang chảy dịch mũi sau, viêm họng mạn, viêm amidan mạn theo chuyên khoa Tai Mũi Họng. Khi các yếu tố kích thích được kiểm soát tốt, mô lympho thường giảm tăng sinh hoặc ổn định dần.
5.2. Điều trị nội khoa nhằm giảm triệu chứng
Sử dụng thuốc chống viêm, giảm phù nề để cải thiện cảm giác vướng họng, khó chịu. Kết hợp các dung dịch súc họng, thuốc xịt họng chuyên dụng. Kháng sinh hoặc thuốc kháng nấm chỉ được dùng khi có bằng chứng rõ ràng về nhiễm khuẩn hoặc nhiễm nấm.
5.3. Theo dõi và sinh thiết khi cần thiết
Sinh thiết được cân nhắc trong trường hợp tổn thương to nhanh, xuất hiện lệch một bên, bề mặt sần sùi, loét hoặc không đáp ứng với điều trị nội khoa. Mục đích là đánh giá mức độ tăng sinh và loại trừ nguy cơ loạn sản hay ác tính.

5.4. Can thiệp phẫu thuật (ít gặp)
Phẫu thuật chỉ đặt ra khi mô lympho tăng sinh quá mức, gây tắc nghẽn đường thở hoặc triệu chứng kéo dài, ảnh hưởng nhiều đến sinh hoạt. Khi đó, bác sĩ có thể chỉ định cắt giảm amidan lưỡi phù hợp.
5.5. Biện pháp hỗ trợ và phòng ngừa
Người bệnh cần tránh hút thuốc và khói bụi, súc họng nước muối đều đặn, uống đủ nước mỗi ngày. Đồng thời hạn chế thực phẩm cay nóng, nhiều dầu mỡ, rượu bia để giảm kích thích vùng họng.
Như vậy, tăng sinh mô lympho đáy lưỡi thành họng có nguy hiểm không thì đa phần là KHÔNG nguy hiểm, vì đây thường là phản ứng lành tính của cơ thể trước các yếu tố viêm kích thích kéo dài. Tuy nhiên, bệnh không nên bị xem nhẹ, đặc biệt khi tổn thương tăng nhanh, lệch một bên, sần sùi hoặc không đáp ứng điều trị. Theo dõi định kỳ, kiểm soát tốt nguyên nhân nền và thăm khám chuyên khoa kịp thời là cách để phòng ngừa biến chứng cho người bệnh.
















