Hình ảnh ung thư phổi biến chứng nguy hiểm
Ung thư phổi là nguyên nhân gây tử vong hàng đầu trên thế giới và đang có xu hướng tăng mạnh. Chính vì thế việc hiểu đúng về bệnh qua chùm hình ảnh ung thư phổi dưới đây sẽ giúp chúng ta biết cách nhận biết, điều trị và phòng ngừa bệnh hiệu quả.

Ung thư phổi là tình trạng xuất hiện khối u ác tính, các tế bào ung thư phổi tăng sinh mất kiểm soát. Bệnh xuất hiện nhiều ở người trẻ tuổi.

Hình ảnh ung thư phổi này cho thấy bệnh được chia thành 2 loại: ung thư phổi tế bào nhỏ và ung thư phổi không tế bào nhỏ.

Đa số ung thư phổi thường gặp ở những người đã và đang hút thuốc lá (chiếm tới 80%) và 5% ở người tiếp xúc thụ động với khói thuốc lá.

Yếu tố di truyền, môi trường làm việc độc hại… cũng ảnh hưởng tới sức khỏe, làm gia tăng nguy cơ mắc ung thư phổi.

Khoảng 70% các trường hợp ung thư phổi có triệu chứng khó thở, ho ra máu, viêm phổi tái diễn, đau ngực.

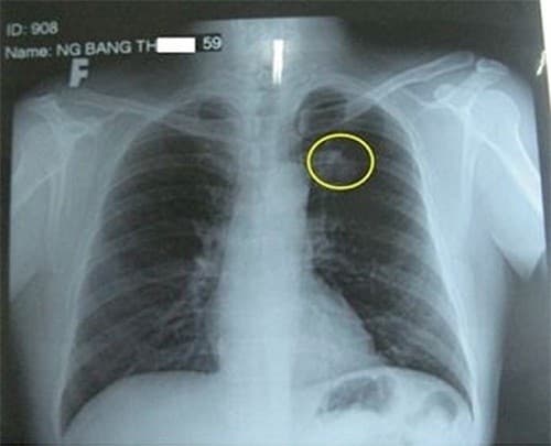
Người bệnh chỉ có thể thấy được hình ảnh ung thư phổi khi tiến hành chụp X-quang ngực. Ngoài ra có thể kết hợp chụp CT/ MRI để chẩn đoán bệnh tiến triển và di căn sang các vị trí khác hay chưa.

Hình ảnh ung thư phổi này giúp nhận biết các giai đoạn bệnh cụ thể.

Từ đó bác sĩ sẽ chỉ định phẫu thuật hoặc hóa trị để loại bỏ tế bào ung thư phổi.

Người bệnh cần tuân thủ theo đúng chỉ định của bác sĩ. Việc điều trị sớm, đúng phương pháp sẽ giúp cải thiện sớm tình trạng bệnh.

Nếu chữa trị sớm, tiên lượng sống sẽ cao hơn việc điều trị ở giai đoạn muộn.
Để tìm hiểu thêm thông tin về bệnh ung thư phổi hoặc đặt lịch tầm soát bệnh, vui lòng liên hệ tổng đài 1900 55 88 92 hoặc hotline 0936 388 288 để được tư vấn kỹ lưỡng















