Định nghĩa và sự thật về bệnh viêm ruột thừa
Bệnh viêm ruột thừa là một bệnh lý tiêu hóa khá thường gặp. Có đủ kiến thức để nhận biết và xử trí kịp thời đối với viêm ruột thừa là một yếu tố vô cùng quan trọng.
1. Các câu hỏi thường gặp về bệnh viêm ruột thừa
– Đau ruột thừa là gì?
Đau ruột thừa do viêm là tình trạng ruột thừa của bạn bị viêm, nhiễm trùng.
– Viêm ruột thừa phổ biến như thế nào?
Tại Hoa Kỳ, viêm ruột thừa là nguyên nhân phổ biến nhất gây đau bụng cấp tính cần phẫu thuật. Trên 5% dân số bị viêm ruột thừa tại một số thời điểm.
– Ai có nhiều khả năng bị viêm ruột thừa?
Viêm ruột thừa thường xảy ra nhất ở thanh thiếu niên và đôi mươi nhưng có thể xảy ra ở mọi lứa tuổi. Tức là sẽ thường gặp viêm ruột thừa ở 14 đến 25 tuổi.
Bệnh viêm ruột thừa là một bệnh lý tiêu hóa khá thường gặp
2. Các biến chứng của viêm ruột thừa là gì?
Nếu bệnh viêm ruột thừa không được điều trị, nó có thể dẫn đến các biến chứng. Các biến chứng của ruột thừa bị vỡ là
– Viêm phúc mạc: Có thể là một tình trạng nguy hiểm. Viêm phúc mạc xảy ra nếu ruột thừa vỡ ra và nhiễm trùng lan rộng trong bụng. Nếu bạn bị viêm phúc mạc, bạn có thể bị bệnh nặng.
-Sốt
– Buồn nôn
– Đau dữ dội ở bụng của bạn
– Nôn mửa
– Áp xe ruột thừa
3. Các triệu chứng và nguyên nhân của bệnh viêm ruột thừa
3.1 Các triệu chứng của bệnh viêm ruột thừa là gì?
Triệu chứng phổ biến nhất của viêm ruột thừa là đau ở bụng.
Nếu bạn bị viêm ruột thừa, bạn sẽ thường bị đau ở bụng. Đau có thể bắt đầu ở gần rốn của bạn và sau đó di chuyển xuống thấp hơn và sang bên phải. Cơn đau trở nên tồi tệ hơn trong vài giờ. Đau tăng lên khi bạn di chuyển, đi lại, hít thở sâu, ho hoặc hắt hơi. Cơn đau nghiêm trọng và thường được mô tả là khác với bất kỳ cơn đau nào bạn từng cảm thấy trước đây. Đau cũng có thể xảy ra đột ngột và thậm chí có thể đánh thức bạn nếu bạn đang ngủ. Đau bụng thường xảy ra trước các triệu chứng khác
3.2 Các triệu chứng khác của viêm ruột thừa
– Ăn mất ngon, chán ăn
– Buồn nôn
– Nôn mửa
– Táo bón hoặc tiêu chảy
– Không có khả năng thải khí (bí trung tiện)
– Sốt nhẹ
– Sưng trong bụng của bạn (bụng chướng)
– Cảm giác đi tiêu sẽ giảm khó chịu
Các triệu chứng có thể khác nhau ở mỗi người và có thể giống như các tình trạng sau đây cũng gây đau bụng:
– Táo bón
– Bệnh viêm ruột , bao gồm bệnh Crohn và viêm loét đại tràng , các rối loạn kéo dài gây kích ứng và loét đường tiêu hóa
– Tắc ruột
– Bệnh viêm vùng chậu
Triệu chứng phổ biến nhất của viêm ruột thừa là đau ở bụng .
3.3 Nguyên nhân nào gây ra bệnh viêm ruột thừa?
Viêm ruột thừa có thể có nhiều nguyên nhân, và trong nhiều trường hợp, nguyên nhân không rõ ràng. Các nguyên nhân có thể bao gồm:
– Sự tắc nghẽn của lỗ bên trong ruột thừa
– Mô phì đại ở thành ruột thừa của bạn, do nhiễm trùng ở đường tiêu hóa (GI) hoặc những nơi khác trong cơ thể bạn
– Bệnh viêm ruột
– Phân, ký sinh trùng hoặc sự phát triển có thể làm tắc nghẽn lòng ruột thừa của bạn
– Chấn thương ở bụng của bạn
4. Chẩn đoán viêm ruột thừa
Làm thế nào để bác sĩ chẩn đoán bệnh viêm ruột thừa?
Thông thường, các chuyên gia chăm sóc sức khỏe nghi ngờ chẩn đoán viêm ruột thừa dựa trên các triệu chứng, tiền sử bệnh và khám sức khỏe của bạn. Bác sĩ có thể xác nhận chẩn đoán bằng siêu âm, chụp X-quang hoặc chụp MRI.
4.1 Hỏi bệnh
Chuyên gia chăm sóc sức khỏe sẽ hỏi những câu hỏi cụ thể về các triệu chứng và tiền sử sức khỏe của bạn để giúp loại trừ các vấn đề sức khỏe khác. Chuyên gia chăm sóc sức khỏe sẽ muốn biết:
– Khi cơn đau bụng của bạn bắt đầu
– Vị trí chính xác và mức độ nghiêm trọng của cơn đau của bạn
– Khi các triệu chứng khác của bạn xuất hiện
– Các tình trạng y tế khác của bạn, các bệnh trước đây và các thủ tục phẫu thuật
– Cho dù bạn sử dụng thuốc, rượu hoặc ma túy bất hợp pháp
4.2 Khám bệnh
Các chuyên gia chăm sóc sức khỏe cần chi tiết cụ thể về cơn đau ở bụng của bạn để chẩn đoán chính xác bệnh viêm ruột thừa. Chuyên gia chăm sóc sức khỏe sẽ đánh giá cơn đau của bạn bằng cách chạm hoặc ấn lên các vùng cụ thể trên bụng.
4.3 Xét nghiệm
Các bác sĩ sử dụng các xét nghiệm để giúp xác định chẩn đoán viêm ruột thừa hoặc tìm các nguyên nhân khác gây đau bụng.
– Xét nghiệm máu: Chuyên gia chăm sóc sức khỏe lấy máu của bạn để xét nghiệm máu tại văn phòng bác sĩ hoặc cơ sở thương mại. Chuyên gia chăm sóc sức khỏe gửi mẫu máu đến phòng thí nghiệm để xét nghiệm. Xét nghiệm máu có thể thấy số lượng bạch cầu cao, dấu hiệu của nhiễm trùng. Xét nghiệm máu cũng có thể cho thấy mất nước hoặc mất cân bằng chất lỏng và điện giải.
– Phân tích nước tiểu: Phân tích nước tiểu là xét nghiệm mẫu nước tiểu. Bạn sẽ cung cấp mẫu nước tiểu trong một hộp đựng đặc biệt trong văn phòng bác sĩ, cơ sở thương mại hoặc bệnh viện. Các chuyên gia chăm sóc sức khỏe có thể thử nước tiểu ở cùng một vị trí hoặc gửi đến phòng thí nghiệm để kiểm tra. Các bác sĩ sử dụng phương pháp phân tích nước tiểu để loại trừ nhiễm trùng đường tiết niệu hoặc sỏi thận .
– Thử thai: Đối với phụ nữ, các chuyên gia chăm sóc sức khỏe cũng có thể yêu cầu lấy mẫu máu hoặc nước tiểu để kiểm tra thai kỳ.
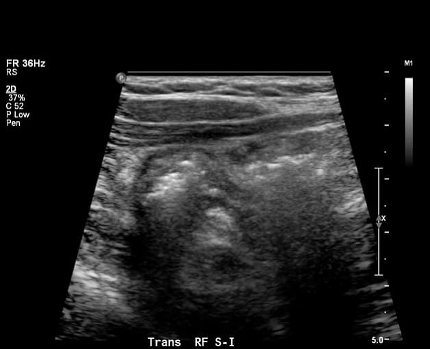
4.4 Siêu âm ổ bụng
Các bác sĩ sử dụng các xét nghiệm hình ảnh để xác định chẩn đoán bệnh viêm ruột thừa hoặc tìm các nguyên nhân khác gây đau bụng.
– Siêu âm ổ bụng: Trong siêu âm, chuyên gia chăm sóc sức khỏe sử dụng một thiết bị, được gọi là bộ chuyển đổi, phát sóng âm thanh an toàn, không đau từ các cơ quan của bạn để tạo ra hình ảnh về cấu trúc của chúng. Người đó có thể di chuyển đầu dò sang các góc độ khác nhau để kiểm tra các cơ quan khác nhau. Trong siêu âm bụng, chuyên gia chăm sóc sức khỏe thoa một lớp gel lên vùng bụng của bạn và di chuyển đầu dò cầm tay trên da của bạn. Chuyên gia chăm sóc sức khỏe thực hiện quy trình này tại phòng khám bác sĩ, trung tâm ngoại trú hoặc bệnh viện và bạn không cần gây mê. Các chuyên gia chăm sóc sức khỏe sử dụng siêu âm làm xét nghiệm hình ảnh đầu tiên cho khả năng viêm ruột thừa ở trẻ sơ sinh, trẻ em, thanh niên và phụ nữ mang thai.
– Ngoài ra, bác sĩ X quang xem xét các hình ảnh, có thể cho thấy các dấu hiệu của tắc nghẽn trong lòng ruột thừa của bạn và các nguyên nhân khác của đau bụng
Các chuyên gia chăm sóc sức khỏe sử dụng siêu âm làm xét nghiệm hình ảnh đầu tiên cho khả năng viêm ruột thừa ở trẻ sơ sinh, trẻ em, thanh niên và phụ nữ mang thai.
4.5 Chụp cộng hưởng từ
Chụp cộng hưởng từ (MRI). Máy MRI sử dụng sóng vô tuyến và nam châm để tạo ra hình ảnh chi tiết về các cơ quan nội tạng và mô mềm của cơ thể bạn mà không cần sử dụng tia X.
Chuyên gia chăm sóc sức khỏe thực hiện thủ tục tại trung tâm ngoại trú hoặc bệnh viện. Một bác sĩ chẩn đoán hình ảnh xem xét các hình ảnh. Bệnh nhân không cần gây mê, mặc dù chuyên gia chăm sóc sức khỏe có thể tiêm thuốc an thần nhẹ, uống cho trẻ em và những người sợ không gian nhỏ. Chuyên gia chăm sóc sức khỏe có thể tiêm một loại thuốc đặc biệt, được gọi là thuốc cản quang vào cơ thể bạn.
Trong hầu hết các trường hợp, bạn sẽ nằm trên bàn trượt vào một thiết bị hình đường hầm. Đường hầm có thể mở ở cuối hoặc đóng ở một đầu.
Hình ảnh chụp MRI có thể cho thấy các dấu hiệu của:
– Tắc nghẽn trong lòng ruột thừa của bạn
– Một ruột thừa bị vỡ
– Viêm nhiễm ruột thừa
– Các nguyên nhân khác của đau bụng
Khi chẩn đoán viêm ruột thừa và các nguyên nhân khác gây đau bụng, bác sĩ có thể sử dụng MRI như một phương pháp thay thế an toàn, đáng tin cậy.
4.6 Chụp cắt lớp vi tính.
Chụp CT sử dụng tia X và công nghệ máy tính để tạo ra hình ảnh.
Chuyên gia chăm sóc sức khỏe có thể đưa cho bạn dung dịch để uống và tiêm thuốc cản quang. Bạn sẽ nằm trên một chiếc bàn trượt vào một thiết bị hình đường hầm để chụp. Kỹ thuật viên thực hiện chụp CT tại trung tâm điều trị ngoại trú hoặc bệnh viện. Các bác sĩ chẩn đoán hình ảnh xem xét các hình ảnh.
Bệnh nhân không cần gây mê, mặc dù các chuyên gia chăm sóc sức khỏe có thể cho trẻ dùng thuốc an thần để giúp trẻ ngủ trong khi làm xét nghiệm.
Chụp CT vùng bụng có thể cho thấy các dấu hiệu viêm, chẳng hạn như:
– Ruột thừa căng to hoặc vỡ
– Áp xe ruột thừa
– Tắc nghẽn trong lòng ruột thừa của bạn
Phụ nữ trong độ tuổi sinh đẻ nên thử thai trước khi chụp CT. Bức xạ từ chụp CT có thể gây hại cho thai nhi đang phát triển.
5. Điều trị viêm ruột thừa và biến chứng của nó
5.1 Bác sĩ điều trị bệnh viêm ruột thừa như thế nào?
Các bác sĩ thường điều trị viêm ruột thừa bằng phẫu thuật cắt bỏ ruột thừa. Bác sĩ phẫu thuật thực hiện phẫu thuật trong bệnh viện với gây mê toàn thân. Bác sĩ sẽ đề nghị phẫu thuật nếu bạn bị đau bụng và sốt liên tục, hoặc có dấu hiệu của ruột thừa vỡ và nhiễm trùng. Phẫu thuật kịp thời làm giảm nguy cơ vỡ ruột thừa.
Các chuyên gia chăm sóc sức khỏe gọi phẫu thuật cắt bỏ ruột thừa là phẫu thuật cắt bỏ ruột thừa. Bác sĩ phẫu thuật thực hiện phẫu thuật bằng một trong các phương pháp sau:
– Phẫu thuật nội soi: Trong phẫu thuật nội soi, bác sĩ phẫu thuật sử dụng một số vết mổ nhỏ hơn và các dụng cụ phẫu thuật đặc biệt mà họ đưa qua các vết mổ để loại bỏ ruột thừa của bạn. Phẫu thuật nội soi dẫn đến ít biến chứng hơn, chẳng hạn như nhiễm trùng liên quan đến bệnh viện và có thời gian hồi phục ngắn hơn.
– Phẫu thuật mổ mở: mở bụng. Các bác sĩ phẫu thuật sử dụng phương pháp phẫu thuật mở bụng để loại bỏ ruột thừa thông qua một vết rạch duy nhất ở vùng dưới bên phải của bụng bạn.
Sau khi phẫu thuật, hầu hết bệnh nhân khỏi bệnh viêm ruột thừa hoàn toàn và không cần thay đổi chế độ ăn uống, tập thể dục hay lối sống. Các bác sĩ phẫu thuật khuyên bạn nên hạn chế hoạt động thể chất trong 10 đến 14 ngày đầu tiên sau khi phẫu thuật mổ mở và trong 3 đến 5 ngày đầu tiên sau khi phẫu thuật nội soi.
5.2 Bác sĩ điều trị biến chứng của ruột thừa vỡ như thế nào?
Điều trị các biến chứng của ruột thừa vỡ sẽ tùy thuộc vào loại biến chứng. Trong hầu hết các trường hợp viêm phúc mạc, bác sĩ phẫu thuật sẽ cắt bỏ ruột thừa của bạn ngay lập tức bằng phẫu thuật. Bác sĩ phẫu thuật sẽ sử dụng phương pháp phẫu thuật mở bụng để làm sạch bên trong bụng của bạn để ngăn ngừa nhiễm trùng và sau đó cắt bỏ ruột thừa của bạn. Nếu không được điều trị kịp thời, viêm phúc mạc có thể gây tử vong.
Bác sĩ phẫu thuật có thể dẫn lưu mủ từ áp xe ruột thừa trong khi phẫu thuật hoặc phổ biến hơn là trước khi phẫu thuật. Để dẫn lưu áp xe, bác sĩ phẫu thuật đặt một ống dẫn lưu áp xe qua thành bụng. Bạn để yên ống dẫn lưu trong khoảng 2 tuần trong khi dùng thuốc kháng sinh để điều trị nhiễm trùng. Khi tình trạng nhiễm trùng và tình trạng viêm được kiểm soát, khoảng 6 đến 8 tuần sau, các bác sĩ phẫu thuật để loại bỏ những gì còn sót lại của ruột thừa vỡ.
Kết luận
Viêm ruột thừa là một cấp cứu y tế cần được chăm sóc ngay lập tức. Gặp chuyên gia chăm sóc sức khỏe hoặc đến phòng cấp cứu ngay lập tức nếu bạn nghĩ rằng bạn hoặc trẻ bị viêm ruột thừa. Bác sĩ có thể giúp điều trị viêm ruột thừa và giảm các triệu chứng cũng như nguy cơ biến chứng.



























