Dấu hiệu có khối u bàng quang ở nam giới
Khối u bàng quang ở nam giới thường khởi phát âm thầm và dễ bị nhầm với viêm đường tiết niệu hoặc phì đại tuyến tiền liệt. Nhiều trường hợp chỉ phát hiện khi triệu chứng đã kéo dài, tái đi tái lại hoặc xuất hiện dấu hiệu bất thường rõ rệt. Vì vậy, nhận biết sớm các dấu hiệu khối u bàng quang ở nam giới là bước quan trọng giúp người bệnh đi khám đúng chuyên khoa và can thiệp kịp thời.
1. Khối u bàng quang là gì?
Khối u bàng quang là tình trạng xuất hiện vùng mô phát triển bất thường ở thành bàng quang (cơ quan có chức năng chứa nước tiểu). Khối u này có thể là:
- Khối u bàng quang lành tính: Đây là dạng tăng sinh mô không phải ung thư, ít gặp hơn và thường không xâm lấn sang các mô xung quanh. Tuy nhiên, khối u vẫn có thể gây ra một số triệu chứng như tiểu khó, chảy máu trong nước tiểu và cần được theo dõi hoặc điều trị tùy từng trường hợp.
- Khối u bàng quang ác tính (ung thư bàng quang): Loại này phổ biến hơn ở người trưởng thành. Khối u có khả năng xâm lấn vào lớp cơ của bàng quang và có thể di căn sang các cơ quan khác nếu không được phát hiện và điều trị sớm.

2. Vì sao nam giới dễ mắc u bàng quang hơn?
Khối u bàng quang ở nam giới có tỷ lệ cao hơn nữ giới chủ yếu do sự kết hợp giữa thói quen sinh hoạt, môi trường làm việc và yếu tố sinh học. Cụ thể như sau:
- Hút thuốc lá phổ biến hơn: Hút thuốc là yếu tố nguy cơ lớn nhất gây ung thư bàng quang. Các chất độc trong khói thuốc sau khi vào cơ thể sẽ được thận lọc và thải ra qua nước tiểu, từ đó tiếp xúc trực tiếp với niêm mạc bàng quang và gây tổn thương. Theo nhiều nghiên cứu, khoảng 50 – 65% trường hợp ở nam giới liên quan đến hút thuốc, trong khi ở nữ giới khoảng 20 – 30%.
- Tiếp xúc nghề nghiệp với hóa chất: Nam giới thường làm việc trong các ngành có nguy cơ tiếp xúc với hóa chất như sản xuất thuốc nhuộm, cao su, da, sơn hoặc dầu mỏ. Việc tiếp xúc lâu dài với các chất này có thể làm tăng nguy cơ hình thành khối u bàng quang ở nam giới.
- Khác biệt sinh học giữa hai giới: Sự khác nhau về hormone cũng ảnh hưởng đến nguy cơ mắc bệnh. Estrogen ở nữ giới có thể giúp bảo vệ niêm mạc bàng quang, trong khi hormone androgen ở nam giới có thể tạo điều kiện cho tế bào u phát triển nhanh hơn. Ngoài ra, quá trình chuyển hóa chất độc trong cơ thể nam giới có thể khiến các chất này tác động mạnh hơn lên bàng quang.
- Yếu tố tuổi và thời gian phơi nhiễm: Ung thư bàng quang thường gặp ở người trên 55 tuổi. Khi thời gian tiếp xúc với các yếu tố nguy cơ như thuốc lá hoặc hóa chất càng dài, nguy cơ mắc bệnh càng tăng. Điều này cũng góp phần khiến nam giới có tỷ lệ mắc bệnh cao hơn nữ.

3. Dấu hiệu nhận biết sớm khối u bàng quang là gì?
Các dấu hiệu sớm của khối u bàng quang ở nam giới thường khá âm thầm và dễ bị bỏ qua. Một số biểu hiện thường gặp gồm:
- Tiểu ra máu: Nước tiểu có thể có màu đỏ, hồng hoặc nâu, nhiều trường hợp không kèm đau. Khi khối u bàng quang tiến triển sang giai đoạn muộn, các triệu chứng thường rõ ràng và nghiêm trọng hơn. Người bệnh có thể tiểu ra máu thường xuyên, gặp khó khăn khi đi tiểu do khối u lớn gây chèn ép. Ngoài ra, cơ thể có thể gầy sút nhanh, mệt mỏi và xuất hiện hạch ở hai bên vùng bẹn.
- Đi tiểu nhiều lần hơn bình thường: Người bệnh có cảm giác muốn đi tiểu thường xuyên dù lượng nước tiểu không nhiều.
- Tiểu buốt hoặc rát khi đi tiểu: Có cảm giác đau hoặc khó chịu trong lúc tiểu tiện.
- Tiểu gấp, tiểu đêm: Đột ngột buồn tiểu dù bàng quang chưa đầy, hoặc phải thức dậy nhiều lần vào ban đêm để đi tiểu.
- Dòng tiểu yếu hoặc khó tiểu: Khối u bàng quang ở nam giới khiến dòng nước tiểu yếu hơn bình thường, đôi khi cảm giác tiểu không hết.
- Khi bệnh tiến triển, có thể xuất hiện một số dấu hiệu như: Đau vùng hông lưng (thường một bên), đau vùng bụng dưới, sụt cân, mệt mỏi hoặc đau xương, phù chân.
4. Khối u bàng quang ở nam có nguy hiểm không?
Khối u bàng quang ở nam giới có thể nguy hiểm, nhưng mức độ nghiêm trọng còn phụ thuộc vào loại u và giai đoạn phát hiện. Trên thực tế, khối u bàng quang có thể là lành tính hoặc ác tính (ung thư bàng quang):
- Khối u bàng quang lành tính: Đây là những khối u không phải ung thư và thường không lan sang các cơ quan khác. Tuy nhiên, chúng vẫn có thể gây ra các triệu chứng như tiểu ra máu, tiểu khó hoặc đau khi đi tiểu, vì vậy vẫn cần được theo dõi hoặc điều trị khi cần.
- Khối u bàng quang ác tính: Đây là dạng nguy hiểm hơn vì có khả năng xâm lấn vào thành bàng quang và lan sang các cơ quan khác nếu không được điều trị kịp thời. Khi bệnh tiến triển nặng, ung thư có thể di căn và ảnh hưởng đến tuổi thọ của người bệnh.
Tuy nhiên, nếu được phát hiện sớm và điều trị đúng cách, tiên lượng thường khá tốt. Nhiều trường hợp ung thư bàng quang giai đoạn sớm có thể kiểm soát hiệu quả, với tỷ lệ sống sau 5 năm rất cao. Vì vậy, khi xuất hiện các dấu hiệu như tiểu ra máu, tiểu buốt, tiểu nhiều lần hoặc đau vùng bụng dưới, nam giới nên đi khám sớm để được kiểm tra và điều trị kịp thời.
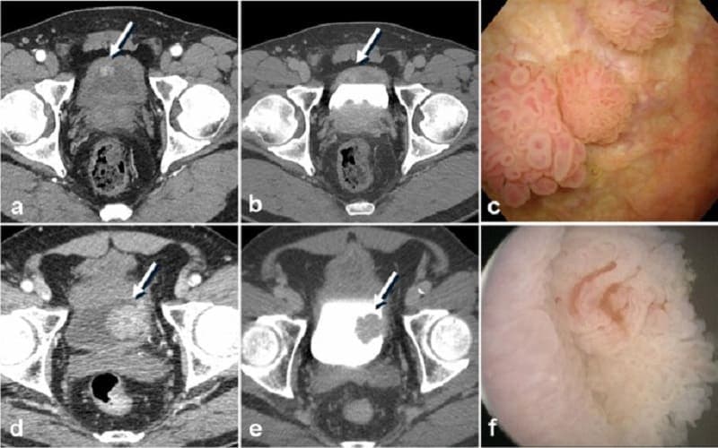
5. Chẩn đoán u bàng quang ở nam bằng cách nào?

Để chẩn đoán khối u bàng quang, bác sĩ thường kết hợp hỏi bệnh, xét nghiệm và các phương pháp thăm dò chuyên sâu:
- Khám lâm sàng và khai thác triệu chứng: Bác sĩ sẽ hỏi về các dấu hiệu như tiểu ra máu, tiểu buốt, tiểu rắt, tiểu gấp hoặc tiền sử hút thuốc, nghề nghiệp có tiếp xúc với hóa chất. Sau đó, bác sĩ tiến hành khám bụng và hệ tiết niệu để tìm dấu hiệu bất thường.
- Xét nghiệm nước tiểu:
- Tổng phân tích nước tiểu giúp phát hiện hồng cầu trong nước tiểu (tiểu máu) hoặc dấu hiệu nhiễm trùng.
- Tế bào học nước tiểu dùng để tìm các tế bào ung thư, đặc biệt hữu ích với những khối u có mức độ ác tính cao. Một số trường hợp có thể làm thêm xét nghiệm dấu ấn khối u trong nước tiểu để hỗ trợ chẩn đoán.
- Nội soi bàng quang: Đây là bước quan trọng nhất để chẩn đoán khối u bàng quang ở nam giới. Bác sĩ sử dụng một ống nội soi nhỏ đưa qua niệu đạo vào bàng quang để quan sát trực tiếp niêm mạc bàng quang và phát hiện khối u hoặc tổn thương bất thường.
- Sinh thiết hoặc cắt u qua nội soi (TURBT): Nếu phát hiện tổn thương nghi ngờ, bác sĩ sẽ lấy mẫu mô hoặc cắt khối u qua nội soi để làm xét nghiệm giải phẫu bệnh. Kết quả giúp xác định khối u là lành tính hay ác tính và mức độ xâm lấn.
- Chẩn đoán hình ảnh: Các phương pháp như CT urography, CT hoặc MRI có thể được chỉ định để đánh giá toàn bộ đường tiết niệu và xem khối u có lan rộng hay không. Siêu âm đôi khi được dùng để phát hiện bất thường ban đầu, nhưng không thay thế nội soi và sinh thiết.
6. Cách phòng ngừa khối u bàng quang ở nam giới
Mặc dù không có cách nào phòng ngừa hoàn toàn khối u bàng quang ở nam giới, bạn vẫn có thể giảm nguy cơ mắc bệnh bằng một số thói quen sau:
- Bỏ thuốc lá: Đây là yếu tố quan trọng nhất vì hút thuốc là nguyên nhân hàng đầu làm tăng nguy cơ ung thư bàng quang.
- Hạn chế tiếp xúc hóa chất độc hại: Những người làm việc trong ngành nhuộm, cao su, sơn, da hoặc hóa chất cần chú ý bảo hộ lao động để giảm nguy cơ phơi nhiễm.
- Uống đủ nước: Uống đủ nước giúp làm loãng nước tiểu và hỗ trợ đào thải các chất độc ra khỏi bàng quang.
- Đi khám sớm khi có dấu hiệu bất thường: Nếu xuất hiện triệu chứng như tiểu ra máu, tiểu buốt hoặc tiểu nhiều lần, nên đi khám sớm thay vì tự điều trị kéo dài.
- Duy trì lối sống lành mạnh: Ăn uống cân đối, tập thể dục thường xuyên và kiểm soát cân nặng có thể giúp giảm nguy cơ mắc nhiều loại ung thư, trong đó có ung thư bàng quang.
Nhận biết sớm các dấu hiệu khối u bàng quang ở nam giới giúp phát hiện bệnh kịp thời và tăng cơ hội điều trị hiệu quả. Khi xuất hiện các triệu chứng như tiểu ra máu hoặc thay đổi thói quen đi tiểu, người bệnh không nên tự chẩn đoán mà nên đi khám sớm để được bác sĩ kiểm tra và tư vấn chính xác.












