Hình ảnh viêm hang vị dạ dày có mức độ nguy hiểm cao
Viêm hang vị dạ dày là bệnh lý khá phổ biến cần thực hiện nội soi để phát hiện sớm những hình ảnh viêm hang vị dạ dày và có biện pháp chữa trị kịp thời hiệu quả.
Hình ảnh viêm hang vị dạ dày qua nội soi
Tùy vào bệnh lý khác nhau và từng địa chỉ mà người bệnh thăm khám mà các hình ảnh thu được sau khi nội soi dạ dày sẽ không giống nhau. Quan sát một số hình ảnh nội soi dạ dày để biết viêm hang vị dạ dày gây ra tổn thương như thế nào.
Hình ảnh mô phỏng viêm hang vị dạ dày
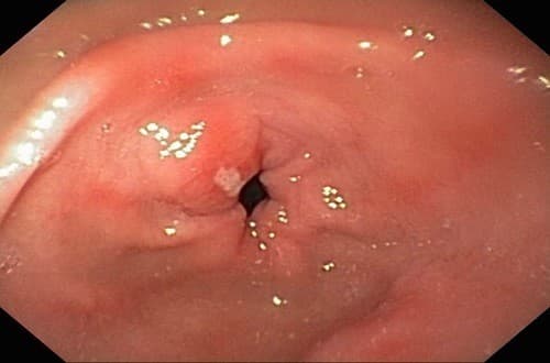
Hình ảnh hang vị dạ dày bình thường
Hình ảnh có khối u hang vị dạ dày qua nội soi cần được điều trị
Hình ảnh viêm hang vị dạ dày có chấm xuất huyết qua nội soi
Đề phòng viêm hang vị dạ dày
Viêm hang vị dạ dày là bệnh lý gây ra nhiều tác hại cho dạ dày của bạn. Nếu như không có biện pháp phòng ngừa thích hợp sẽ có thể dẫn đến những biến chứng khó lường, điều trị dai dẳng, tốn kém và phức tạp. Các chuyên gia khuyên bạn nên chú ý các biện pháp phòng tránh sau:
- Điều chỉnh thói quen ăn uống hợp lý, ăn chậm, nhai kỹ, lượng thức ăn vừa phải, không nên ăn quá khuya trước khi đi ngủ.
- Ăn uống điều độ để dạ dày hình thành nhịp sinh học ổn định, tránh gây ra các vấn đề bất thường về tiêu hóa.
- Tránh các chất kích thích, đặc biệt là rượu, bia, thuốc lá.
- Không dùng quá nhiều thực phẩm chua, cay.
- Cân bằng giữa chế độ sinh hoạt và nghỉ ngơi cho hợp lý.
- Không thức quá khuya để đảm bảo sức khỏe dạ dày.
- Thực hiện ăn chín, uống sôi để tránh nhiễm khuẩn, tránh các thức ăn tái, sống,…
- Tránh lạm dụng các thuốc kháng sinh. Khi sử dụng các loại thuốc này trong thời gian dài có thể gây ra nhiều ảnh hưởng đến sức khỏe của bạn.
- Thực hiện các bài tập thể dục đều đặn cũng là cách để bạn nâng cao sức khỏe của mình, cải thiện sức đề kháng, tăng cường khả năng hoạt động của hệ tiêu hóa.
Bệnh viện Thu Cúc là địa chỉ thực hiện nội soi dạ dày cho kết quả chính xác được nhiều người tin tưởng lựa chọn. Với các biện pháp nội soi dạ dày không đau người bệnh có thể dễ dàng thực hiện nội soi chẩn đoán phát hiện sớm hình ảnh viêm hang vị dạ dày và từ đó bác sĩ sẽ tư vấn biện pháp chữa trị hiệu quả.
Liên hệ 1900 55 88 92 để được tư vấn hỗ trợ giải đáp băn khoăn hoặc đăng ký khám chữa bệnh hiệu quả.




















