Tràn dịch màng phổi có nguy hiểm không?
Tràn dịch màng phổi là thuật ngữ dùng để chỉ tình trạng tích tụ dịch trong khoang trống giữa phổi và thành ngực, đó là sự tích đọng dịch có thể là máu, dịch hoặc khí vượt quá mức cho phép của khoang màng phổi. Vậy tràn dịch màng phổi có nguy hiểm không
Tràn dịch màng phổi là gì?
Tràn dịch màng phổi là tình trạng tích đọng dịch vượt quá mức cho phép của khoang màng phổi với các triệu chứng lâm sàng như: Đau ngực âm ỉ vùng ngực, đau nặng về phía bên tràn dịch, ho khan, ho ngày một gia tăng, sốt, nếu chụp X-quang phổi sẽ thấy hình mờ đậm, có khi mờ ở cả 2 bên phổi, tim bị đẩy sang bên đối diện.
Tràn dịch màng phổi là hội chứng nguy hiểm cần điều trị kịp thời dứt điểm
Tràn dịch màng phổi có nguy hiểm không?
Tràn dịch màng phổi là hội chứng nguy hiểm, cần được điều trị dứt điểm, bởi bệnh có thể để lại di chứng bất lợi cho sức khỏe người bệnh như sốt cao dao động, thể trạng gầy sút, chán ăn, mặt hốc hác, lưỡi bẩn, nước tiểu ít và sẫm màu; số lượng bạch cầu tăng, bạch cầu trung tính tăng, …
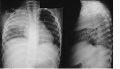
Chẩn đoán như thế nào?
Những biện pháp lâm sàng thường khó xác định bệnh, cần dựa vào kỹ thuật cận lâm sàng như chụp X quang, siêu âm hoặc chọc dò.
Chụp X quang là kỹ thuật hình ảnh giúp phát hiện tràn dịch màng phổi chính xác
Điều trị tràn dịch phổi như thế nào?
Để loại bỏ các di chứng nguy hiểm của bệnh, điều trị bệnh cần phải lấy dịch ra, tránh các trường hợp tràn dịch trở lại và xác định và điều trị theo nguyên nhân gây tràn dịch.
Việc lấy dịch ra sẽ được các bác sĩ nghiên cứu và chỉ định dựa theo lượng dịch màng phổi mà có chỉ định. Với những trường hợp người bệnh chưa có hoặc ít có dấu hiệu khó thở, đau ngực hay sốt, thì chỉ cần theo dõi định kỳ. Trường hợp lượng dịch nhiều gây đau ngực, khó thở, người bệnh cần tới cơ sở chuyên khoa để được chọc hút dịch.
Người bị tràn dịch màng phổi cần tái khám định kỳ đúng lịch để theo dõi từng bước tiến triển của bệnh
Ngoài ra, điều trị tràn dịch màng phổi cần căn cứ nguyên nhân gây bệnh, nếu nguyên nhân gây bệnh là do suy tim sung huyết, người bệnh cần được sử dụng thuốc lợi tiểu nhằm mục đích hạn chế tình trạng ứ nước trong cơ thể và trong khoang màng phổi; nhưng nếu tràn dịch do nguyên nhân nhiễm trùng, người bệnh cần được điều trị kháng sinh; ngoài ra có thể là do bệnh lý u ác tính hoặc dịch màng phổi hóa mủ, người bệnh cần phải được đặt ống lớn vào khoang màng phổi trong một thời gian.
Tràn dịch màng phổi là hội chứng nguy hiểm, không những suy giảm sức khỏe thậm chí có thể gây tử vong khi không được cứu chữa kịp thời. Vì vậy, phòng ngừa bệnh luôn cần chú trọng. Do các tác nhân gây bệnh thường từ đường hô hấp nên phải phát hiện và điều trị sớm các nhiễm trùng ở đường hô hấp trên, ở phế quản phổi, nhất là các bệnh nhân có cơ địa xấu, mắc bệnh mạn tính…
Chú ý, người bị viêm màng phổi cần đảm bảo điều trị sớm, theo dõi sát diễn biến của bệnh, để đảm bảo có hướng giải quyết tốt, đề phòng biến chứng












