Biểu hiện của tràn dịch màng phổi
Tràn dịch màng phổi là sự tích tụ quá nhiều chất lỏng trong phổi hoặc giữa phổi và lồng ngực. Đây là bệnh ất nguy hiểm vì thế khi thấy các biểu hiện của tràn dịch màng phổi, người bệnh cần đi khám ngay để có biện pháp điều trị hiệu quả.
Biểu hiện của tràn dịch màng phổi
Theo các chuyên gia y tế, tràn dịch màng phổi chủ yếu là do biến chứng của nhiều loại bệnh khác nhau như nhiễm trùng ở phổi, mắc bệnh hen suyễn, do lao phổi hoặc gãy xương sườn làm tổn thương phổi…
Khi bị tràn dịch màng phổi người bệnh sẽ thấy xuất hiện các biểu hiện như:
- Đau ngực: đây là triệu chứng ban đầu thường gặp khi bị tràn dịch màng phổi. Mức độ đau ở mỗi người khác nhau, có thể là đau âm ỉ phía bên bị tràn dịch phổi.
Khi bị tràn dịch màng phổi, người bệnh sẽ gặp phải tình trạng khó thở, đau ngực, ho kéo dài
- Khó thở: người bệnh tràn dịch màng phổi cũng gặp phải tình trạng khó thở với mức độ khác nhau tùy thuộc vào tốc độ dịch tiết ra. Có người khó thở ngay cả khi không làm việc, ngay cả lúc nghỉ ngơi, ảnh hưởng tới sức khỏe.
- Sốt: tràn dịch màng phổi cũng gây ra hiện tượng sốt. Đây là phản ứng bình thường của cơ thể khi bị nhiễm trùng do tràn dịch màng phổi.
- Ho khan: cũng thường xuất hiện ở người bị tràn dịch màng phổi. Tùy vào nguyên nhân gây tràn dịch màng phổi cụ thể mà mức độ ho khác nhau. Ví dụ tràn dịch do lao phổi người bệnh có thể ho nhiều hơn là bị nhiễm trùng phổi….
Nếu thấy xuất hiện các dấu hiệu nghi ngờ tràn dịch màng phổi hoặc đang mắc các bệnh lý có khả năng biến chứng tràn dịch màng phổi, người bệnh cần đi khám ngay để các bác sĩ chẩn đoán chính xác tình trạng sức khỏe. Tùy vào nguyên nhân gây bệnh cụ thể, mức độ nặng – nhẹ của mỗi người, bác sĩ sẽ tư vấn phương pháp chữa trị phù hợp.
Cách điều trị tràn dịch màng phổi
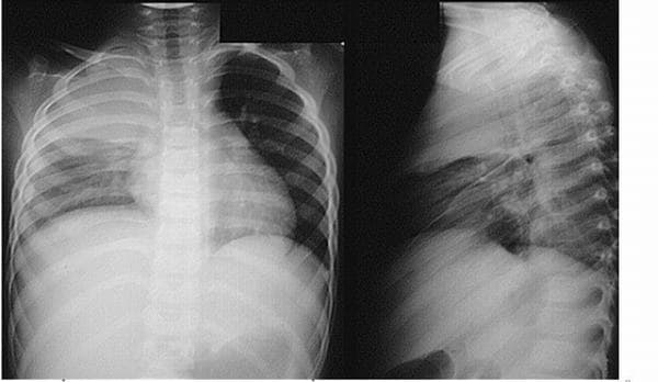
Trước khi đưa ra phương pháp phù hợp để điều trị tràn dịch màng phổi, bác sĩ cần thăm khám và chỉ định làm các xét nghiệm cụ thể nhằm xác định mức độ chất lỏng tích tụ trong phổi. Các phương pháp chẩn đoán cần được áp dụng là chụp CT hoặc X-quang phổi. Ngoài ra người bệnh có thể cần chọc dò dịch màng phổi để làm xét nghiệm nhằm tìm ra nguyên nhân gây bệnh để có biện pháp điều trị triệt để.
Chọc hút dịch màng phổi thường được chỉ định để điều trị tràn dịch màng phổi
Nguyên tắc điều trị tràn dịch màng phổi chủ yếu là chọc hút, dẫn lưu khoang màng phổi và điều trị nguyên nhân. Trong trường hợp người bệnh bị tràn dịch màng phổi nhiều, gây đau ngực và khó thở thì cần phải chọc hút khoang màng phổi với ống chích lớn, kim lớn để hút lượng lớn dịch khỏi màng phổi.
Trong trường hợp nặng, người bệnh cần mổ dẫn lưu kín khoang màng phổi cho dịch, mủ hoặc máu thoát ra ngoài. Sau đó cần dùng thuốc kháng sinh, thuốc kháng ung thư và các biện pháp điều trị hỗ trợ khác nhằm điều trị tận gốc bệnh, tránh bị tái phát…
Để phòng ngừa biến chứng tràn dịch màng phổi, người bệnh cần kết hợp với liệu pháp vận động (tập thở để phổi hồi phục nhanh, co giãn tốt). Người bệnh cần tuân thủ theo đúng hướng dẫn của bác sĩ về cách chăm sóc, nghỉ ngơi, sinh hoạt sau điều trị bệnh. Chú ý không tự ý dùng thuốc hoặc thay đổi đơn thuốc khi chưa có chỉ định cụ thể.
Người bệnh cần bổ sung đầy đủ dinh dưỡng trong chế độ ăn hàng ngày để cải thiện sớm sức khỏe
Bên cạnh đó, chế độ ăn uống cũng góp phần quan trọng giúp tăng cường sức khỏe.
- Ăn chín, uống sôi, không ăn những thực phẩm tái, sống
- Thực đơn ăn uống cần đa dạng, đầy đủ các nhóm dinh dưỡng
- Chế biến thực phẩm chủ yếu dưới dạng luộc, hấp, thanh đạm; tránh thực phẩm cay, nóng, đồ chiên rán….
- Không uống rượu bia, thay vào đó là nước lọc hoặc những loại sinh tố rau, củ quả
Ngoài ra, người bệnh cần chú ý không hút thuốc lá để phòng ngừa các bệnh về đường hô hấp; rửa tay sạch sẽ trước khi ăn và sau khi đi vệ sinh; thường xuyên súc họng bằng nước muối sinh lý hàng ngày, theo dõi sức khỏe và tái khám đúng hẹn.
















