Xử trí hiệu quả để ngăn ngừa các biến chứng viêm phổi
Viêm phổi biến chứng nhiễm trùng huyết

Nhiễm trùng huyết được coi là một biến chứng viêm phổi ở trẻ em hay gặp phải. Điều này xảy ra khi vi khuẩn gây viêm phổi đi vào máu. Sự lây lan của vi khuẩn có thể dẫn đến sốc nhiễm trùng hoặc kéo theo nhiễm trùng thứ phát như viêm màng não thường gặp ở trẻ sơ sinh, viêm phúc mạc, viêm nội tâm mạc, viêm khớp do vi trùng.
Tràn dịch màng phổi hoặc tràn mủ màng phổi
Trẻ bị viêm phổi có thể làm tràn dịch màng phổi hoặc tràn mủ màng phổi. Khi kiểm tra, gõ đục giảm hoặc mất phế âm bên phổi bị tổn thương.
Sử dụng ống nghe có thể nghe thấy tiếng cọ màng phổi ở giai đoạn sớm trước khi tràn dịch lan rộng.
X-quang ngực có hình ảnh ở một hoặc cả hại bên lồng ngực. Khi có viêm mủ màng phổi, trẻ sốt dai dẳng dù đã được điều trị kháng sinh và dịch màng phổi đục hoặc có mủ.
Áp xe phổi do biến chứng viêm phổi

Khi trẻ bị viêm phổi nhưng không được điều trị tốt, gây viêm mủ và hoại tử vùng nhu mô phổi bị tổn thương, khiến cơ chế thanh thải bị suy yếu, gây hiện tượng thuyên tắc hoặc vi trùng lan theo đường máu hình thành nên khối áp-xe phổi. Khối áp xe có hình dạng một hang tròn có bờ rõ, thành dày trong phổi, bên trong có chứ dịch mủ.
Khi thăm khám thấy lồng ngực di động giảm, giảm phế âm, gõ đục, ran ẩm và tiếng thổi ống. Chụp X-quang ngực có thể phát hiện một ổ mủ đơn độc, thành dày trong phổi có hoặc không có mức khí dịch.
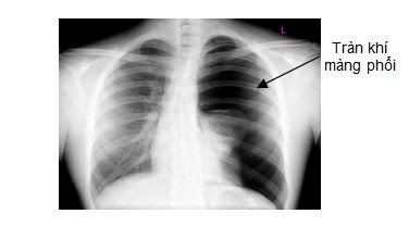
Tràn khí màng phổi do biến chứng viêm phổi

Tràn khí màng phổi thường thứ phát dẫn đến tích tụ khí trong khoang màng phổi do vỡ phế nang hoặc do nhiễm vi trùng sinh hơi.
Khi trẻ bị viêm phổi, gây áp lực trong khoang màng phổi, khiến lồng ngực căng phồng ở bên tổn thương, đẩy lệch trung thất sang bên đối diện, gây tràn khí màng phổi.
Khi thăm khám thấy giảm phế âm bên tràn khí, trẻ thở rên, suy hô hấp nặng và tím tái. Các chẩn đoán phân biệt bao gồm kén phổi, bóng khí phổi, thoát vị hoành.
Cần thực hiện chụp X-quang phổi để đánh giá chi tiết và có biện pháp xử trí sớm.
Khi nào cần cho bé đến viện
Khi thấy trẻ có các biểu hiện viêm phổi sau đây, ba mẹ cần lưu ý để cho bé đi thăm khám sớm:
– Giai đoạn sớm: có thể chỉ có sốt nhẹ, ho húng hắng, chảy nước mắt và nước mũi, khò khè, ăn kém, bỏ bú, quấy khóc…
– Giai đoạn sau: trẻ không được điều trị đúng và theo dõi sát có thể diễn biến nặng hơn với biểu hiện sốt cao, ho tăng lên, có đờm, khó thở, thở nhanh, rút lõm lồng ngực, bỏ bú hoặc bú kém, tím môi, tím đầu chi…
– Trẻ mệt mỏi, quấy khóc, có thể bị tiêu chảy, nôn, đau bụng.

Đặc biệt, khi bị viêm phổi nhịp thở của con nhanh hơn bình thường:
- Trẻ 60 lần/phút.
- Trẻ 2 – 11 tháng tuổi, nhịp thở > 50 lần/phút.
- Trẻ 12 – 60 tháng tuổi, nhịp thở > 40 lần/phút.
Nếu nhịp thở của con đập nhanh và kèm theo một số dấu hiệu trên, ba mẹ nên cho bé đi thăm khám sớm với bác sĩ Chuyên khoa Nhi để con được điều trị kịp thời, tránh các biến chứng nguy hiểm xảy ra.
Chuyên khoa Nhi Thu Cúc quy tụ nhiều bác sĩ giỏi trong lĩnh vực Nhi khoa từ các bệnh viện lớn như viện E, Xanh-Pôn, Thanh Nhàn, Nhi Trung ương … ra làm việc, hệ thống máy móc, xét nghiệm, chẩn đoán hình ảnh tân tiến, cùng phong cách phục vụ chuyên nghiệp, tận tình và chu đáo là địa chỉ tốt để mẹ thăm khám và điều trị các bệnh lý ở trẻ nhỏ.











