Đặc điểm hình ảnh nhồi máu não trên CT
Trong cấp cứu đột quỵ nhồi máu não, chụp cắt lớp vi tính (CT) giữ vai trò quan trọng không chỉ trong chẩn đoán mà còn định hướng điều trị kịp thời. Nhờ khả năng phát hiện nhanh các thay đổi của nhu mô não, CT giúp nhận diện sớm những dấu hiệu tổn thương, dù đôi khi còn rất kín đáo trong giai đoạn đầu. Việc nắm rõ đặc điểm hình ảnh nhồi máu não trên CT sẽ hỗ trợ bác sĩ đưa ra quyết định chính xác, đặc biệt trong “giờ vàng” cấp cứu.
1. Vai trò của CT trong chẩn đoán, điều trị nhồi máu não
Nhồi máu não là dạng đột quỵ xảy ra khi dòng máu cung cấp lên não bị gián đoạn do tắc hoặc hẹp mạch máu, khiến tế bào não thiếu oxy và dưỡng chất, từ đó dẫn đến hoại tử. Đây là thể đột quỵ phổ biến nhất, chiếm khoảng 80% tổng số ca, thường liên quan đến các nguyên nhân như xơ vữa động mạch, huyết khối từ tim hoặc bệnh lý mạch máu nhỏ.

Trong chẩn đoán, chụp cắt lớp vi tính (CT) là kỹ thuật sử dụng tia X để tạo ra hình ảnh chi tiết của não bộ, giúp bác sĩ quan sát cấu trúc và phát hiện các bất thường bên trong. Đây là phương pháp nhanh, phổ biến và đặc biệt hữu ích trong cấp cứu đột quỵ với vai trò:
- CT giúp phân biệt rõ giữa nhồi máu não và xuất huyết não – hai thể bệnh có hướng xử trí hoàn toàn khác nhau. Việc xác định chính xác loại đột quỵ là cơ sở để đưa ra quyết định điều trị phù hợp, đặc biệt là khi cân nhắc sử dụng thuốc tiêu sợi huyết.
- Bên cạnh đó, hình ảnh nhồi máu não trên CT còn cho phép đánh giá vị trí, mức độ và phạm vi tổn thương của não. Thông qua CT nhồi máu não, bác sĩ có thể phát hiện sớm các dấu hiệu thiếu máu, xác định vùng não bị ảnh hưởng cũng như phát hiện những bất thường như tắc mạch, dị dạng mạch máu hoặc phình mạch.
- Không chỉ dừng lại ở chẩn đoán ban đầu, CT còn đóng vai trò theo dõi diễn tiến bệnh và đánh giá hiệu quả điều trị. Nhờ khả năng cung cấp hình ảnh nhanh và chính xác, phương pháp này giúp rút ngắn thời gian cấp cứu, tăng cơ hội can thiệp trong “giờ vàng”, từ đó cải thiện tiên lượng và giảm thiểu di chứng cho người bệnh
2. Nêu các đặc điểm hình ảnh nhồi máu não trên CT
Trong chẩn đoán đột quỵ thiếu máu não, chụp CT là phương tiện được sử dụng phổ biến nhờ khả năng phát hiện nhanh các tổn thương não trong giai đoạn cấp. Dù ở những giờ đầu, dấu hiệu có thể còn kín đáo, nhưng việc nhận biết sớm các đặc điểm trên phim CT có ý nghĩa quan trọng trong định hướng chẩn đoán và lựa chọn phương pháp điều trị. Dưới đây là các đặc điểm hình ảnh nhồi máu não trên CT thường gặp trong thực hành lâm sàng.

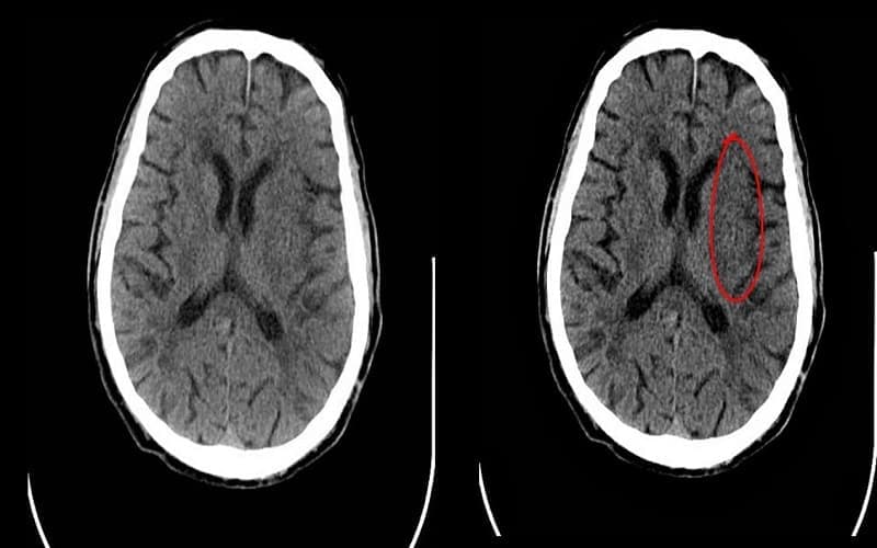
2.1. Mất ranh giới giữa chất xám và chất trắng
Một trong những hình ảnh nhồi máu não trên CT xuất hiện sớm là hiện tượng mất phân biệt giữa chất xám và chất trắng. Do chất xám có nhu cầu chuyển hóa cao nên bị tổn thương trước, dẫn đến phù tế bào và giảm độ tương phản so với chất trắng. Trên CT nhồi máu não, dấu hiệu này thường khá kín đáo nhưng có giá trị gợi ý sớm tình trạng thiếu máu não cấp.
2.2. Giảm tỷ trọng nhu mô não
Ở giai đoạn tiến triển, vùng não bị thiếu máu sẽ xuất hiện giảm tỷ trọng do phù và hoại tử mô. Đây là dấu hiệu điển hình khi chụp CT nhồi máu não, phản ánh rõ khu vực não bị tổn thương theo vùng cấp máu của động mạch. Mức độ giảm tỷ trọng càng rõ thì tổn thương càng nặng và lan rộng.
2.3. Xóa mờ các rãnh cuộn não
Phù não làm các rãnh cuộn não bị xóa mờ hoặc mất đi trên hình ảnh. Dấu hiệu này thường gặp trong những giờ đầu sau khởi phát. Khi đánh giá hình ảnh nhồi máu não trên CT, việc quan sát sự thay đổi các rãnh cuộn giúp phát hiện sớm tổn thương ngay cả khi chưa có giảm tỷ trọng rõ rệt.
2.4. Xóa dải ruy băng thùy đảo
Dải ruy băng thùy đảo là vùng dễ bị ảnh hưởng sớm do nằm ở khu vực cấp máu của động mạch não giữa. Khi bị thiếu máu, vùng này mất đi hình ảnh đặc trưng trên CT. Đây là dấu hiệu sớm quan trọng trên CT nhồi máu não, giúp định hướng vị trí tắc mạch.
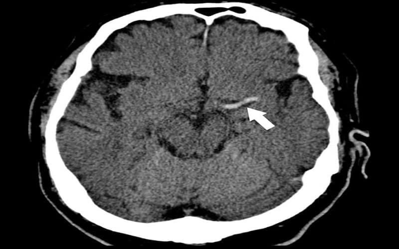
2.5. Dấu hiệu tăng đậm động mạch (hyperdense artery sign)
Dấu hiệu này biểu hiện bằng hình ảnh động mạch tăng tỷ trọng bất thường do có cục máu đông trong lòng mạch. Thường gặp ở động mạch não giữa, đây là dấu hiệu trực tiếp cho thấy tắc mạch trên chụp CT nhồi máu não, có giá trị cao trong chẩn đoán sớm.

2.6. Hẹp khe Sylvius và não thất
Phù não tiến triển có thể gây chèn ép, làm hẹp khe Sylvius hoặc não thất. Dấu hiệu này cho thấy tình trạng phù não đang gia tăng, giúp đánh giá mức độ nặng của tổn thương trên hình ảnh nhồi máu não trên CT.
2.7. Tổn thương theo vùng cấp máu động mạch
Ở giai đoạn muộn hơn, vùng nhồi máu sẽ hiện rõ là khu vực giảm tỷ trọng theo lãnh thổ cấp máu của động mạch bị tắc (như động mạch não giữa). Đây là đặc điểm điển hình giúp xác định chính xác phạm vi tổn thương khi thực hiện chụp CT nhồi máu não.
2.8. Hình ảnh nhồi máu não trên CT không có bất thường trong giai đoạn sớm
Cần lưu ý rằng trong vài giờ đầu, đặc biệt dưới 3 – 6 giờ, hình ảnh có thể chưa rõ ràng hoặc hoàn toàn bình thường. Tuy nhiên, điều này không loại trừ nhồi máu não. Vì vậy, việc kết hợp lâm sàng và theo dõi lặp lại CT nhồi máu não là rất cần thiết để tránh bỏ sót chẩn đoán.
Tóm lại, hình ảnh nhồi máu não trên CT có thể biểu hiện đa dạng từ những dấu hiệu sớm như mất ranh giới chất xám – chất trắng, xóa rãnh cuộn não, đến các thay đổi rõ rệt hơn như giảm tỷ trọng nhu mô hay tổn thương theo vùng cấp máu. Tuy nhiên, trong giai đoạn rất sớm, phim CT có thể chưa ghi nhận bất thường rõ ràng, do đó cần kết hợp với lâm sàng và theo dõi lặp lại. Việc nhận biết chính xác các dấu hiệu này giúp nâng cao hiệu quả chẩn đoán, rút ngắn thời gian xử trí và cải thiện tiên lượng cho người bệnh.














