Tìm hiểu bệnh sán lá gan lớn và cách chẩn đoán
Bệnh sán lá gan lớn là một dạng của bệnh sán lá gan (gồm sán lá gan lớn và sán lá gan nhỏ). Nếu không được điều trị dễ gây tổn thương gan, mật như áp xe gan, suy gan, ung thư đường mật. Mời bạn cùng tìm hiểu về bệnh sán lá gan lớn và các phương pháp chẩn đoán hiện nay.
1. Cơ chế bệnh sinh của bệnh sán lá gan lớn
1.1 Khi ấu trùng, sán xâm nhập và di chuyển
Ấu trùng và sán xâm nhập, di chuyển bên trong cơ thể gây tổn thương viêm và xuất huyết. Mức độ viêm và xuất huyết phụ thuộc vào mức độ nhiễm sán nhiều hay ít, thời gian nhiễm dài hay ngắn và sự đáp ứng của cơ thể.
Tổn thương viêm và xuất huyết có thể ở bất kỳ nơi nào trong cơ thể khi ấu trùng và sán đi qua nhu thành ruột, bao gan, nhu mô gan, đường mật hay lạc chỗ đến các cơ quan khác. Đôi khi gây viêm dày bao gan hoặc tràn dịch dưới bao gan, dưới bao lách, tràn dịch tràn khí màng phổi gây ra bệnh cảnh lâm sàng phức tạp và dễ nhầm lẫn với một số bệnh khác.
Sán lá gan lớn khi xâm nhập dễ gây áp xe gan, nếu không được xử trí kịp thời và hiệu quả có thể đe dọa đến tính mạng của người bệnh.
1.2 Trong nhu mô gan
Sán lá gan gây hoại tử áp xe, viêm xung huyết và xơ hóa vùng gan bị tổn thương do nhiễm sán.
Cụ thể là khi sán non di chuyển vào gan, sán ăn các tổ chức tại gan và phá hủy nhu mô gan, gây xuất huyết, viêm và hoại tử. Các ổ viêm và hoại tử trong nhu mô gan sẽ tạo nên các ổ áp xe có kích thước từ 0,5-2,0 cm. Các ổ áp xe nhỏ này tập trung lại tạo nên ổ áp xe có kích thước lớn hơn.
Khi di chuyển trong nhu mô gan, sán non gây nhiều ổ hoại tử dạng nốt nhỏ và đường ống với kích thước dài từ 3,0 đến 5,0 cm, giống như một đường hầm không có thành và đường bờ không rõ.
Tại vùng sán di chuyển sát với bao gan hay dọc theo đường mật gây viêm xung huyết và xơ hóa gan, nhưng không gây tổn thương mạch máu gan.
1.3 Trong đường mật, túi mật
Khi vào trong đường mật, sán phát triển thành sán trưởng thành và đẻ trứng. Sán trưởng thành tiết ra chất proline, một amino axit có nhiều trong protein gây viêm, xơ hóa, tăng sản dầy thành đường mật, túi mật. Đôi khi tổn thương thành đường mật, túi mật gây bội nhiễm và chảy máu.
Sán bên trong đường mật có thể gây tắc mật, biến chứng cuối cùng thường gây viêm gan, xơ gan tắc mật.
1.4 Sán lạc chỗ ngoài gan và đường mật
Trong quá trình di chuyển, đôi khi sán chưa trưởng thành lạc hướng đến các cơ quan khác ngoài gan. Sán lạc chỗ không thể trưởng thành và đẻ trứng được nên thường chết để lại các tổn thương viêm, u hạt, vôi hóa bên trong các tổ chức của các cơ quan mà sán di chuyển tới như: Đường tiêu hóa, dưới da, phổi, màng phổi, hốc mắt, khớp, thành bụng, não, lách, tụy, cơ, vú, cột sống và da. Khi sán di chuyển qua bao gan, bao lách, màng phổi hay màng tim thường gây viêm dầy và tràn dịch.
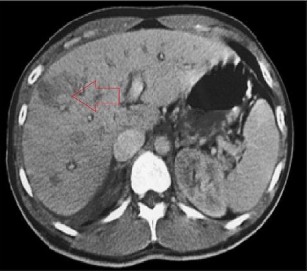
Mô tả tổn thương sán lá gan trên phim chụp cắt lớp vi tính (hình minh họa).
2. Biểu hiện lâm sàng của bệnh sán lá gan lớn
2.1 Bệnh sán lá gan lớn – Giai đoạn ủ bệnh
Thường không có biểu hiện ra bên ngoài vì lúc này ấu trùng đang thoát kén, xuyên qua thành ruột và đi vào khoang màng bụng.
2.2 Bệnh sán lá gan lớn – Giai đoạn xâm nhập hay cấp tính (giai đoạn nhu mô gan)
Đau bụng, sốt, kém ăn, mệt mỏi, sút cân, rối loạn tiêu hóa, dị ứng, tức ngực, khó thở và một só triệu chứng khác về thần kinh.
2.3 Bệnh sán lá gan lớn – Giai đoạn mạn tính hay tắc nghẽn (giai đoạn đường mật)
Đau quặn mật, vàng da, gan và lách to, thiếu máu.
Nếu không có biểu hiện tắc nghẽn ở đường mật, các biểu hiện thường âm ỉ khó phát hiện. Khi đó khó phân biệt cụ thể hai giai đoạn cấp và mạn tính, bởi các triệu chứng chồng lấn lẫn nhau.
Một số ít trường hợp có biểu hiện viêm tụy cấp là biến chứng hiếm gặp do sán lá gan lớn gây ra.
Trường hợp sán lá gan lớn lạc chỗ, có thể gây ra một số triệu chứng sau: đau, ho, khó thở, hội chứng halzoun.
Khi nhiễm sán lá gan ở giai đoạn cấp và mạn tính người bệnh thường đau quặn bụng, buồn nôn, sốt, mệt mỏi,…
3. Các phương pháp chẩn đoán sán lá gan lớn
Để chẩn đoán xác định sán lá gan lớn, bác sĩ cần kết hợp các phương pháp chẩn đoán sau:
– Yếu tố dịch tễ
– Dấu hiệu trên lâm sàng
– Cận lâm sàng (xét nghiệm và chẩn đoán hình ảnh)
Ngoài ra, cần chẩn đoán phân biệt sán lá gan lớn với các bệnh với các bệnh gan mật khác, để có biện pháp can thiệp điều trị kịp thời và hiệu quả.
3.1 Xét nghiệm
– Xét nghiệm ELISA fasciola
– Xét nghiệm tìm trứng sán lá gan lớn trong phân hoặc dịch mật (tỷ lệ tìm thấy trứng rất thấp).
– Bạch cầu ái toan tăng cao trên 8% (có thể lên đến 80%).
3.2 Chẩn đoán hình ảnh
Siêu âm thấy có các ổ giảm hay hỗn hợp âm, hoặc giảm tỷ trọng trên chụp cắt lớp vi tính tập trung thành đám hình chùm nho trên cắt lớp vi tính, ít gặp hơn hình ảnh dày bao gan tương ứng với vị trí thương tổn hoặc hình ảnh tụ dịch quanh gan, dưới bao gan.
Sự kết hợp các kỹ thuật hình ảnh với xét nghiệm ELISA là rất cần thiết để chẩn đoán bệnh sán lá gan lớn giai đoạn sớm. Trong giai đoạn cấp tính, chẩn đoán hình ảnh rất có giá trị xác nhận tổn thương gan mật do sán lá gan lớn.















