Siêu âm viêm ruột thừa đóng vai trò như thế nào?
Viêm ruột thừa là một cấp cứu ngoại khoa thường gặp, cần được phát hiện và điều trị kịp thời, tránh đe dọa đến tính mạng. Để chẩn đoán chính xác bệnh thì siêu âm viêm ruột thừa đóng vai trò quan trọng.
Siêu âm viêm ruột thừa giúp chẩn đoán chính xác 85%

Viêm ruột thừa cấp là bệnh cấp cứu ngoại khoa thường gặp, trong đó 70% số trường hợp viêm ruột thừa cấp xuất hiện triệu chứng điển hình
Viêm ruột thừa cấp là bệnh cấp cứu ngoại khoa thường gặp, trong đó 70% số trường hợp viêm ruột thừa cấp xuất hiện triệu chứng điển hình. Bệnh thường gặp ở người từ 20 – 30 tuổi. Dựa vào triệu chứng biểu hiện bác sĩ có thể chẩn đoán viêm ruột thừa. Tuy nhiên với những trường hợp không điển hình thì chẩn đoán hình ảnh đóng một vai trò quan trọng nhất định.
Một nghiên cứu gần đây đã chỉ ra rằng, nếu chỉ dựa vào lâm sàng, chẩn đoán viêm ruột thừa cấp có thể sai tới 30%, kết hợp với siêu âm, tỷ lệ này có thể giảm xuống tới 15% và nếu sử dụng phương pháp chụp MSCT, tỷ lệ sai sót có thể giảm xuống tới 7%. Tỷ lệ tử vong của viêm ruột thừa cấp liên quan trực tiếp tới các biến chứng do vỡ ruột thừa vì không được chẩn đoán đúng và xử trí kịp thời.
Triệu chứng của viêm ruột thừa cấp tính

Đau bụng là triệu chứng thường gặp nhất của viêm ruột thừa
- Đau bụng: đây là dấu hiệu điển hình đầu tiên của bệnh viêm ruột thừa cấp. Cơn đau bụng lan toả ở vùng thượng vị và vùng rốn. Cơn đau vừa phải, đôi khi có những cơn co thắt trội lên. Sau khoảng 1-12 giờ (thường trong vòng 4-6 giờ), cơn đau sẽ khu trú ở hố chậu phải. Ở một số trường hợp, đau của viêm ruột thừa bắt đầu ở hố chậu phải và vẫn duy trì ở đó.
- Chán ăn, buồn nôn và nôn: tình trạng nôn xảy ra đối với khoảng 75% bệnh nhân, nhưng không kéo dài, hầu hết người bệnh chỉ nôn 1-2 lần.
- Nếu chưa có biến chứng thì người bệnh có thể có sốt tuy nhiên nhiệt độ thường không quá 39 độ C, mạch bình thường hoặc hơi nhanh. Nếu những triệu chứng này tăng lên quá mức thì có thể bệnh nhân đã gặp biến chứng.
- Nếu viêm ruột thừa sau manh tràng, các triệu chứng ở vùng bụng trước ít nổi bật và hiện tượng đau có thể nổi trội nhất ở vùng mạn sườn hay trên gai chậu sau trên.
- Còn viêm ruột thừa thể tiểu khung, triệu chứng ở bụng thường nhẹ.
- Bên cạnh đó, người bị viêm ruột thừa cấp còn có một số biểu hiện như: táo bón, khó xì hơi, đôi khi có thể lại bị tiêu chảy, nhịp tim nhanh, bụng chướng, đi tiểu đau hoặc đi tiểu thường xuyên,…
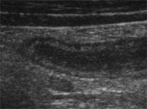
Hình ảnh siêu âm viêm ruột thừa
Dưới đây là một số hình ảnh siêu âm viêm ruột thừa
Hình ảnh ruột thừa bình thường

Ruột thừa bình thường
Hình A. Ở vùng hố chậu phải, hình ảnh 1 vòng chứa đầy dịch đường kính
Hình B. Khi nén đường kính ruột thừa giảm còn
Hình ảnh ruột thừa viêm đơn thuần

Ruột thừa viêm trên mặt cắt trục dọc
Ruột thừa có hình dạng là cấu trúc ống với một đầu tịt trên mặt cắt trục dọc mà một số tác giả gọi là “dấu hiệu ngón tay”

Ruột thừa viêm trên mặt cắt trục ngang
Trên mặt cắt ngang ruột thừa có hình bia đạn với các vòng tròn đồng tâm (Đường kính lớn hơn 6mm, thành ruột thừa lớn hơn 3mm, ranh giới giữa các lớp có phần nhạt nhòa do tình trạng viêm phù nề, đè ép không xẹp).