Khám và điều trị các bệnh lý về tai – xương chũm
Bệnh lý về tai – xương chũm là một trong những nhóm bệnh lý chính về Tai Mũi Họng. Với đội ngũ bác sĩ với nhiều năm kinh nghiệm, hệ thống trang thiết bị nhập khẩu, tiện ích đẳng cấp của mô hình khách sạn sang chảnh, Thu Cúc đã và đang trở thành một địa chỉ điều trị các bệnh lý về tai, xương chũm tin cậy của khách hàng khắp nơi trên cả nước.
1. Các bệnh lý về tai
1.1 Một số bệnh lý về tai thường gặp
Viêm tai giữa
Viêm tai giữa là bệnh gì?
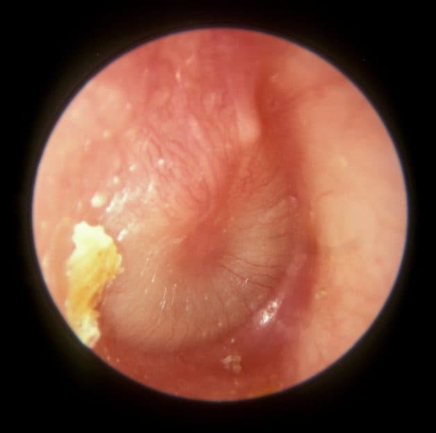
Khi vi khuẩn hay virus xâm nhập vào ống tai sẽ gây nên bệnh viêm tai giữa. Hiện tượng nhiễm trùng thường xảy ra nhiều nhất ở trẻ nhỏ do đối tượng này có cấu trú vòi nhĩ chưa phát triển hoàn chỉnh.
Khi vi khuẩn hay virus xâm nhập vào ống tai sẽ gây nên bệnh viêm tai giữa
Triệu chứng của viêm tai giữa
– Thính lực bị giảm sút.
– Có biểu hiện sốt cao hoặc cơ thể mệt mỏi, suy nhược.
– Sưng hạch bạch huyết.
– Có cảm giác buồn nôn, cơ thể lảo đảo mất cân bằng.
– Ống tai ngoài có hiện tượng chảy mủ/dịch.
Viêm ống tai ngoài
Viêm ống tai ngoài là bệnh gì?
Bệnh lý này thường do vi khuẩn gây nên. Đôi khi cũng có thể do bệnh nhân bị nhiễm nấm, gặp kích ứng hoặc bị chàm trong hoặc xung quanh ống tai.
Triệu chứng của viêm ống tai ngoài
– Ống tai sưng đỏ.
– Quanh ống tai bị da khô hoặc chàm.
– Có cảm giác ngứa hoặc thấy mủ chảy ra từ ống tai.
– Nhiệt độ cơ thể tăng và sốt cao.
– Tai có cảm giác đầy.
Chàm tai
Chàm tai là bệnh gì?
Chàm tai xuất hiện phần ngoài của tai như ở vành tai, ống tai ngoài và những phần da xung quanh với các trạng thái khác nhau. Trẻ em là đối tượng dễ bị chàm tai nhất. Bệnh lý này chia thành 3 giai đoạn: cấp tính, bán cấp tính và mãn tính.
Triệu chứng của chàm tai
Trẻ em là đối tượng dễ bị chàm tai nhất với các biểu hiện ngứa ngáy, có những mảng sần ở tai
– Ngứa ngáy với những mảng sần da không đồng nhất, dễ bị tái phát.
– Da tại chỗ bị ửng đỏ và có xuất hiện mụn nước
– Mụn nước vỡ sẽ gây tổn thương và rỉ dịch.
– Bề mặt tổn thương sẽ dần khô và có vảy ở trên, da của khu vực này sẽ dần dày lên và thô nhám.
– Tổn thương biến mất và không có sẹo.
Viêm sụn vành tai
Viêm sụn vành tai là bệnh gì?
Khi mô bao quanh và nuôi dưỡng sụn ở vành tai bị nhiễm trùng thì sẽ gây nên bệnh lý viêm sụn vành tai. Bệnh lý này sẽ xuất hiện trong trường hợp vành tai bị chấn thương mạnh và tình trạng tụ máu sẽ xảy ra. Tình trạng này dẫn đến dinh dưỡng không thể được tuần hoàn đến để nuôi dưỡng tai, dần gây hoại tử và sùi lấp phần ống tai ngoài
Triệu chứng viêm sụn vành tai:
– Vành tai bị tấy đỏ và sưng đau.
– Tai có mủ và chảy dịch.
– Một số bệnh nhân bị sốt hoặc cấu trúc tai biến dạng.
U dây thần kinh thính giác
U dây thần kinh thính giác là bệnh lý gì?
U dây thần kinh thính giác (u dây thần kinh số 8, u dây thần kinh tiền đình ốc tai) là bệnh lý lành tính tuy nhiên khi khối u xuất hiện ở dây thần kinh tiền đình sẽ gây ảnh hưởng nhiều đến thính lực.
Triệu chứng của u dây thần kinh thính giác
– Khả năng nghe 1 bên bị giảm.
– Mất thăng bằng, ù tai.
– Đè vào dây thần kinh, gây tê và nhói vùng mặt.
– Khối u phát triển sẽ ép một phần vào bộ não, khiến đau đầu, đi đứng loạng choạng và hay quên.
U dây thần kinh thính giác khiến khả năng nghe 1 bên bị giảm
1.2 Phương pháp điều trị các bệnh lý về tai
Các bệnh lý về tai rất dễ gây nên nhiều biến chứng nguy hiểm, Chính vì vậy, khi thấy có bất kỳ dấu hiệu bất thường nào về tai, bạn cần đến ngay các cơ sở y tế để được bác sĩ thăm khám, tìm ra loại bệnh và có phương pháp điều trị phù hợp.
Điều trị bằng thuốc
Đối với các bệnh lý như viêm tai giữa, viêm ống tai ngoài, chàm tai…. bác sĩ sẽ chỉ định điều trị bằng một số loại thuốc như:
– Thuốc kháng sinh
– Thuốc giảm đau, hạ sốt.
– Thuốc mỡ.
Trường hợp nếu việc nhiễm trùng nghiêm trọng thì bác sĩ sẽ phải kết hợp dùng thuốc và trích rạch mủ ra bên ngoài.
Điều trị bằng xạ trị, phẫu thuật
Với u dây thần kinh thính giác, bác sĩ sẽ chỉ định điều trị sau khi thăm khám thấy khối u tăng kích thước và phát sinh các triệu chứng. Việc điều trị sẽ được thực hiện bằng: xạ trị và phẫu thuật.
Kết hợp chăm sóc tại nhà
Trong quá trình điều trị theo chỉ định của bác sĩ, bạn cũng nên tự chăm sóc tại nhà bằng cách:
– Mỗi tuần, nên vệ sinh tai đều đặn bằng nước rửa tai chuyên dụng, không dùng tăm bông hay vật nhọn chọc ngoáy.
– Tăng cường lưu dịch ở cổ họng, mũi và tai bằng cách bổ sung 2 – 3 lít nước/ngày.
– Tránh sử dụng tai nghe hay nghe điện thoại nhiều trong thời gian điều trị.
– Nếu có cảm giác đau rát, khó chịu nên thực hiện chườm ấm hoặc chườm lạnh.
– Nếu nhiễm trùng tai do vi khuẩn hoặc virus, cần nghỉ ngơi tại nhà để tránh lây lan.
– Kiêng tiếp xúc với các tác nhân dễ gây dị ứng như lông chó mèo, phấn hoa, khuyên tai….
2. Các bệnh lý về xương chũm
Viêm tai xương chũm là bệnh điển hình trong các bệnh lý về xương chũm. Cùng tìm hiểu qua về bệnh lý này để có thêm kiến thức chăm sóc sức khỏe nhé.
2.1 Viêm tai xương chũm là bệnh lý gì?
Xương sọ sau tai lồi ra một phần được gọi là mấu chũm. Khi phần xương này bị nhiễm trùng sẽ gây nên bệnh viêm xương chũm. Ban đầu, viêm xương chũm chỉ phá hủy chỗ lồi ra của xương sọ, tuy nhiên nếu để bệnh diễn tiến nặng có thể làm mất khả năng nghe.
Khi phần xương lồi ra của xương sọ sau tai bị viêm nhiễm sẽ gây nên hiện tượng viêm xương chũm
2.2 Triệu chứng của viêm tai xương chũm
– Tai có mủ.
– Cảm thấy đau tai hoặc khó chịu.
– Đột ngột sốt cao.
– Cảm thấy đau đầu.
– Khả năng nghe giảm sút, thậm chí mất thính giác.
– Vùng sau tai hoặc tai bị sưng đỏ.
2.3 Phương pháp điều trị viêm tai xương chũm
– Nếu bệnh ở dạng nhẹ, bệnh nhân cần kiên trì điều trị bằng việc uống thuốc vì thuốc khó ngấm đủ sâu vào xương chũm.
– Trường hợp bệnh diễn tiến nặng hơn, cần phải thực hiện tiêm trực tiếp thuốc kháng sinh vào mạch máu và sau đó mới dùng thuốc uống.
– Nếu điều trị bằng thuốc kháng sinh không hiệu quả, bác sĩ sẽ chỉ định phẫu thuật để cắt bỏ hoàn toàn xương chũm, chỉnh sửa xương chũm,…. (tùy vào tình trạng bệnh).
3. Tại sao nên điều trị bệnh lý về tai – xương chũm tại Thu Cúc?
Chuyên khoa Tai Mũi Họng – Bệnh viện ĐKQT Thu Cúc là một trong những cơ sở y tế uy tín chuyên điều trị các bệnh lý về tai – xương chũm được hàng ngàn bệnh nhân lựa chọn với:
– Đội ngũ y bác sĩ với hơn 30 năm kinh nghiệm, từng tu nghiệp tại nước ngoài và công tác tại các bệnh viện lớn tuyến đầu trên cả nước.
– Hệ thống trang thiết bị nhập khẩu từ các quốc gia có nền y học hàng đầu như: máy gây mê kèm thở Drager – Fabius Plus từ Đức, bàn mổ với hệ thống đèn chiếu Maquete từ Đức, máy Monitor theo dõi bệnh nhân 5 thông số từ Mỹ,…..
Trang thiết bị của Thu Cúc được nhập khẩu từ các nước có nền y khoa hàng đầu
– Đội ngũ điều dưỡng tận tình, hướng dẫn bệnh nhân từng bước trong quy trình thăm khám và điều trị, giải đáp chi tiết mọi thắc mắc khi người bệnh cần.
– Hình thức thanh toán bảo hiểm y tế và bảo hiểm bảo lãnh, tiết kiệm được tối đa chi phí cho người bệnh.
Hy vọng rằng bài viết trên của chúng tôi đã mang đến cho các bạn cái nhìn tổng quan về các bệnh lý về tai – xương chũm. Với danh hiệu top 3 bệnh viện tư và top 5 toàn bệnh viện có chất lượng tốt nhất của thành phố Hà Nội, bệnh viện ĐKQT Thu Cúc tự hào là địa chỉ tin cậy trong việc thăm khám và điều trị cho bệnh nhân.







