Điều trị bệnh xã hội tại Bệnh viện ĐKQT Thu Cúc TCI
Bệnh lậu, giang mai, sùi mào gà…luôn là vấn đề nhức nhối của xã hội vì những biến chứng nguy hiểm mà chúng gây ra vô cùng nghiêm trọng. Nếu gặp phải những căn bệnh này mà không được chữa trị kịp thời thì sẽ gây ra nhiều tác hại nguy hiểm với sức khỏe và tính mạng. Để hiểu rõ hơn về những bệnh xã hội (sùi mào gà, giang mai,…) thường gặp, các bạn hãy tham khảo kỹ bài viết của chúng tôi bên dưới đây.
1. Đôi nét về bệnh xã hội (sùi mào gà, giang mai,…)
Bệnh xã hội là thuật ngữ dùng để chỉ những bệnh lý lây nhiễm qua đường sinh dục có tốc độ phát triển nhanh chóng và tỷ lệ mắc bệnh cao. Chúng gây ra rất nhiều tác hại khôn lường và là mối đe dọa của toàn xã hội.
Nguyên nhân chính khiến bệnh xã hội lây lan một cách nhanh chóng ra cộng đồng là do quan hệ tình dục không an toàn. Bên cạnh đó, một số con đường khác làm tăng nguy cơ lây lan bệnh sùi mào gà, giang mai,… là lây nhiễm qua đường máu, lây truyền từ mẹ sang con, vết thương hở, tiếp xúc với dịch mủ.
Bệnh sùi mào gà, giang mai,… luôn khiến mọi người tự ti
2. Những đối tượng có nguy cơ cao mắc bệnh xã hội
Theo một số nghiên cứu, những người ở trong độ tuổi sinh sản đều có khả năng mắc phải bệnh sùi mào gà, giang mai,… do quan hệ tình dục không an toàn, kể cả nữ giới và nam giới. Tuy nhiên, nhóm đối tượng có nguy cơ cao mắc phải bệnh xã hội là:
– Những người quan hệ tình dục không an toàn hoặc có nhiều bạn tình.
– Những người hay qua đêm với nhiều bạn tình khác nhau.
– Những người tiêm chích ma túy và mắc bệnh thế kỷ HIV.
Những người quan hệ tình dục không an toàn có nguy cơ mắc bệnh sùi mào gà, giang mai,… cao hơn bình thường
3. Dấu hiệu dễ nhận biết khi mắc các bệnh lý xã hội
Nhìn chung, những người mắc phải bệnh sùi mào gà, giang mai,… đều xuất hiện những triệu chứng như:
– Nổi các nốt sần, mụn, hạch, vết loét,…
– Có cảm giác sưng tấy, đau rát tại vùng kín và những khu vực tiếp xúc với mầm bệnh.
– Khí hư âm đạo chảy ra bất thường, màu sắc lạ và kèm mùi hôi khó chịu.
– Gặp phải những vấn đề về tiểu tiện như tiểu buốt, tiểu rắt, đau khi đi tiểu, tiểu nhiều lần,…
4. Những căn bệnh xã hội phổ biến nhất
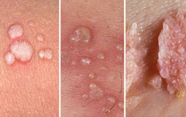
4.1. Bệnh sùi mào gà
Sùi mào gà là bệnh xuất hiện những nốt mụn cóc ở cơ quan sinh dục. Đây là một trong những căn bệnh xã hội phổ biến, lây nhiễm qua đường sinh dục và gây ra bởi một số chủng virus HPV. Virus này có thể gây ra bệnh sùi mào gà và ung thư cổ tử cung, vô cùng nguy hiểm cho chị em phụ nữ.
Bệnh sùi mào gà dễ lây và vô cùng nguy hiểm
4.1.1. Nguyên nhân gây ra bệnh sùi mào gà
Nguyên nhân hàng đầu gây ra sùi mào gà là do virus HPV. Theo thống kê, trên thế giới có khoảng 30 – 40 chủng virus HPV gây ảnh hưởng tới cơ quan sinh dục nhưng chỉ một số chủng virus nhất định gây ra bệnh này. Việc quan hệ tình dục không an toàn này sẽ góp phần lây nhiễm HPV.
Những người quan hệ tình dục đều có nguy cơ nhiễm virus HPV và dễ mắc bệnh sùi mào gà. Bên cạnh đó, các bạn cũng có thể mắc bệnh sùi mào gà ở lưỡi hoặc miệng do quan hệ tình dục bằng miệng với người bệnh.
4.1.2. Triệu chứng của bệnh sùi mào gà
Sau khi nhiễm phải virus HPV, bệnh sùi mào gà thường phát triển âm thầm. Về cơ bản, bạn không thể phát hiện bệnh này bằng mắt thường vì các nốt mụn cóc sinh dục rất nhỏ, có màu giống với da người hoặc sẫm hơn một chút.
Thông thường, các nốt sùi mào gà ở nam giới phát triển ở tinh hoàn, dương vật hoặc hậu môn. Các nốt sùi mào gà ở nữ giới thường phát triển ở âm hộ, xung quanh bộ phận sinh dục, thành âm đạo, cổ tử cung, hậu môn.
Khi mắc sùi mào gà, người bệnh thường xuất hiện những dấu hiệu như:
– Những nốt sùi nhỏ nổi ở bộ phận sinh dục.
– Những nốt sùi mọc sát nhau trông giống bông súp lơ.
– Cơ quan sinh dục có cảm giác ngứa ngáy và khó chịu.
– Bị xuất huyết khi quan hệ tình dục với bạn tình.
Bệnh sùi mào gà có thể chữa trị được nhưng rất dễ tái phát nếu hiện tượng lây nhiễm HPV không được kiểm soát một cách chặt chẽ.
4.2. Bệnh giang mai
Giang mai là bệnh lý lây nhiễm chủ yếu qua đường sinh dục. Nhiều người nhiễm bệnh thường không biết về căn bệnh này và vô tình lây cho bạn tình của mình. Phụ nữ có thai mắc bệnh giang mai có thể truyền bệnh sang cho em bé.
Căn bệnh này được gọi là giang mai bẩm sinh và có thể gây ra những biến chứng bất thường cho trẻ sơ sinh, nghiêm trọng nhất là tử vong. Giang mai từng là mối đe dọa sức khỏe cộng đồng lớn và thường gây ra những bệnh nghiêm trọng như tổn thương não, viêm khớp, mù lòa,…
Bệnh giang mai là một trong những căn bệnh xã hội nguy hiểm, cần được phát hiện và điều trị triệt để sớm
4.2.1. Nguyên nhân gây ra căn bệnh giang mai
Nguyên nhân hàng đầu gây ra bệnh giang mai là do vi khuẩn Treponema pallidum.
4.2.2. Triệu chứng gây ra bệnh giang mai
Bệnh giang mai được chia ra thành bốn giai đoạn. Do đó, các biểu hiện của bệnh cũng tùy thuộc vào từng giai đoạn cụ thể. Tuy nhiên, các giai đoạn này có thể chồng chéo lên nhau và những triệu chứng của bệnh không phải lúc nào cũng phát triển theo một trình tự nhất định.
Ở giai đoạn đầu tiên, biểu hiện chính của giang mai là đau. Giai đoạn thứ hai thường gây ngứa ngáy, tiếp đến là đau âm đạo, miệng và hậu môn. Những dấu hiệu của bệnh giang mai thường biến mất vào giai đoạn thứ ba. Trong thời gian này, những bệnh nhân không được điều trị kịp thời sẽ tiến triển sang giai đoạn thứ tư, gây phá hủy hệ thần kinh và các cơ quan khác trong cơ thể.
5. Điều trị bệnh xã hội an toàn tại Bệnh viện ĐKQT Thu Cúc TCI
Hiện nay, bệnh xã hội không còn quá xa lạ với bất kỳ ai trong chúng ta. Vì vậy, việc tìm kiếm địa chỉ điều trị những căn bệnh này cũng không quá khó khăn. Tuy nhiên, việc tìm đúng địa chỉ uy tín và đem lại hiệu quả khám chữa bệnh sùi mào gà, giang mai,… tốt nhất thì không phải là điều dễ dàng.
Bệnh viện ĐKQT Thu Cúc TCI quy tụ đội ngũ bác sĩ giỏi
Ở Hà Nội, Bệnh viện ĐKQT Thu Cúc TCI đã và đang là địa chỉ khám chữa bệnh xã hội uy tín và hiệu quả nhất. Chúng tôi đã và đang điều trị thành công rất nhiều người mắc phải các bệnh xã hội điển hình nhờ những ưu điểm nổi bật như:
– Đội ngũ y bác sĩ chuyên môn cao, giàu kinh nghiệm và tận tâm với người bệnh.
– Cơ sở vật chất hiện đại, tân tiến và được nhập khẩu từ nước ngoài.
– Phương pháp chữa bệnh tân tiến, không gây đau cho người bệnh, hạn chế tình trạng tái phát.
– Chi phí điều trị được công khai minh bạch cho người bệnh.
– Tất cả các thông tin khám chữa bệnh được bảo mật tuyệt đối.
Để đặt lịch thăm khám và điều trị các bệnh xã hội (nhưsùi mào gà, giang mai,…) tại Bệnh viện ĐKQT Thu Cúc TCI, các bạn hãy gọi điện tới số tổng đài 1900558892 nhé.







