Chụp MRI não bộ giúp phát hiện những bệnh lý nào?
Chụp MRI não bộ hay chụp cộng hưởng từ sọ não là phương pháp chẩn đoán hình ảnh ưu việt, được áp dụng phổ biến trong việc xác định, chẩn đoán và hỗ trợ điều trị các bệnh lý liên quan đến thần kinh và não bộ. Vậy chụp cộng hưởng từ sọ não giúp phát hiện được những bệnh lý nào? Hãy cùng theo dõi bài viết dưới đây để biết thêm chi tiết nhé.
1. Những điều cần biết về phương pháp chụp MRI não bộ
Trước khi tìm hiểu về các bệnh lý có thể chẩn đoán thông qua chụp cộng hưởng từ não bộ, hãy cùng tìm hiểu cơ bản về chụp MRI não bộ và những ưu điểm của kỹ thuật này nhé!
1.1. Chụp MRI não bộ là gì?
Chụp cộng hưởng từ não bộ là kỹ thuật chẩn đoán hình ảnh tiến tiến, sử dụng từ trường và sóng radio để tạo ra hình ảnh chi tiết của cấu trúc nhu mô não và mạch máu. Khi chụp, sóng radio và từ trường sẽ tác động vào các nguyên tử Hydrogen trong cơ thể phát ra tín hiệu và tín hiệu này được thu nhận lại rồi gửi dữ liệu đến máy tính. Khi dữ liệu được truyền đến máy tính, tín hiệu này sẽ được thu thập và xử lý để cho ra kết quả là những hình ảnh các mặt cắt ngang của não. Hình ảnh này có thể được chuyển đổi thành hình ảnh 3D của não, giúp xác định các dấu hiệu bất thường trong não và các mạch máu.
Với kỹ thuật này, người bệnh không cần tiêm thuốc cản quang vẫn thu được hình ảnh chi tiết và rõ nét về các bất thường của sọ não và các mạch máu. Phương pháp có ưu thế hơn hẳn các phương pháp chẩn đoán hình ảnh khác như chụp cắt lớp vi tính (CLVT), X-quang,… bởi vì không sử dụng bức xạ, không xâm lấn. Chính vì vậy, chụp MRI được áp dụng phổ biến trong việc chẩn đoán các bệnh lý liên quan đến thần kinh và não bộ.

Bệnh nhân chuẩn bị tiến hành chụp MRI
1.2. Ưu điểm của phương pháp
– Là phương pháp an toàn do không sử dụng tia bức xạ, không xâm lấn. Do vậy, chụp cộng hưởng từ là phương pháp được các bác sĩ ưu tiên trong việc chẩn đoán hình ảnh thần kinh và não bộ.
– Hình ảnh chụp não bộ có độ tương phản tốt, sắc nét và có độ chi tiết cao. Hỗ trợ tốt cho các bác sĩ trong việc chẩn đoán và điều trị bệnh lý.
– Thu được hình chụp đa mặt phẳng, những hình ảnh này có thể chuyển đổi thành hình 3D giúp xác định rõ những tổn thương bên trong não bộ và các mạch máu.
– Trường chụp của máy có thể mở rộng để đánh giá sự lan rộng và di căn của khối u trong não.
1.3. Quy trình chụp cộng hưởng từ não bộ
– Bước 1: Trước hết, bệnh nhân sẽ được kỹ thuật viên giải thích về phương pháp chụp. Sau đó sẽ được thay trang phục chụp chuyên dụng, đeo tai chụp chống ồn và tháo bỏ tất cả các vật bằng kim loại có từ tính trên cơ thể.
– Bước 2: Kỹ thuật viên sẽ yêu cầu bệnh nhân nằm ngửa trên bàn chụp và phải nằm yên trong quá trình chụp để hình ảnh thu về được rõ nét nhất.
– Bước 3: Sau đó, bàn chụp sẽ được điều khiển để di chuyển vào trong khoang máy.
– Bước 4: Tiến hành chụp ảnh não bộ. Bệnh nhân sẽ giao tiếp với kỹ thuật viên thông qua micro gắn trong khoang máy.
– Bước 5: Kết thúc quá trình chụp, bệnh nhân sẽ ngồi chờ kết quả.

Trước khi chụp bệnh nhân sẽ được thay trang phục chụp chuyên dụng và đeo tai nghe để chống tiếng ồn phát ra từ máy
2. Chụp MRI não bộ giúp phát hiện những bệnh lý nào
2.1. Khi nào cần chụp MRI não bộ?
Có thể thấy, chụp MRI não bộ là phương pháp chẩn đoán hình ảnh hiệu quả trong việc xác định những vấn đề liên quan đến thần kinh trung ương và não bộ. Vậy khi nào người bệnh cần chụp MRI não bộ? Khi cơ thể xuất hiện những dấu hiệu sau, bệnh nhân nên thực hiện chụp cộng hưởng từ não bộ:
– Người bệnh bị chấn thương sọ não do tai nạn, té ngã hay bất kể va chạm nào ở vùng đầu.
– Xuất hiện các dấu hiệu như miệng méo, mặt méo, khó nói, khó nghe, cứng gáy, nôn vọt, co giật, động kinh,…
– Xuất hiện tình trạng đau đầu kéo dài ở các mức độ khác nhau, trí nhớ kém, thường xuyên chóng mặt không có chiều hướng cải thiện.
– Bệnh nhân gặp các vấn đề về giấc ngủ như mất ngủ thường xuyên, rối loạn giấc ngủ,…
– Có biểu hiện nghi ngờ khối u não, u dây thần kinh sọ não, tai biến, nhồi máu não, xuất huyết, viêm não và màng não,…
– Có các bệnh lý liên quan đến mạch não như dị dạng, xung đột dây thần kinh – mạch máu,…
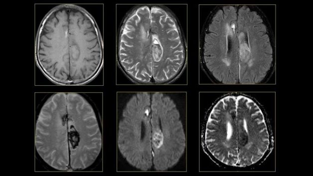
2.2. Chụp cộng hưởng từ não giúp phát hiện những bệnh lý nào?
Như đã nói ở trên, chụp MRI não giúp bác sĩ phát hiện và chẩn đoán một số bệnh lý ở não bộ như:
– Chấn thương sọ não
– Viêm màng não, viêm não
– Tai biến mạch máu não, đột quỵ
– Dị dạng mạch máu não
– Xơ cứng rải rác
– Thoái hóa não chất trắng
– Phát hiện các khối u não, u dây thần kinh sọ não
– Một số dị tật bẩm sinh khác như khuyết não, teo não,…

Chụp MRI cho não giúp bác sĩ phát hiện và chẩn đoán một số bệnh lý như chấn thương sọ não, viêm màng não, viêm não,….
3. Lưu ý trước khi thực hiện chụp MRI não bộ
– Trao đổi trước với bác sĩ về tiền sử bệnh lý như đã thực hiện những phẫu thuật nào, tiền sử dị ứng trước đây hoặc tình trạng mang thai (nếu có).
– Nếu đã từng phẫu thuật chỉnh hình cấy ghép, nối bộ phận bằng kim loại hoặc đang đặt các thiết bị như máy tạo nhịp tim, máy kích thích thần kinh,… không nên thực hiện chụp cộng hưởng từ não bộ.
– Nên để đồ trang sức tại nhà và tháo bỏ các vật dụng bằng kim loại có từ tính ra khỏi cơ thể trước khi chụp để đảm bảo chất lượng hình ảnh thu được tốt nhất.
– Nếu mắc chứng sợ hãi hoặc lo lắng, bệnh nhân có thể được bác sĩ cho sử dụng thuốc an thần nhẹ trước khi thực hiện kỹ thuật.
HIện nay, Hệ thống y tế Thu Cúc TCI được trang bị hệ thống máy móc chẩn đoán hình ảnh hiện đại đáp ứng tối đa nhu cầu thăm khám của bệnh nhân. Hơn nữa, các bác sĩ và chuyên gia y tế tại Thu Cúc TCI đã có nhiều năm kinh nghiệm trong lĩnh vực chẩn đoán hình ảnh. Với trình độ chuyên môn cao, dày dặn kinh nghiệm sẽ đảm bảo cung cấp cho bệnh nhân những dịch vụ chất lượng nhất.
Nhìn chung chụp MRI là phương pháp chẩn đoán khá an toàn nên người bệnh chỉ cần chú ý những điều trên để đảm bảo quá trình chụp hiệu quả nhất. Ngoài ra, phương pháp này yêu cầu cơ sở khám bệnh phải trang bị máy móc khám hiện đại đủ tiêu chuẩn. Chính vì vậy khi quyết định thực hiện chụp MRI não bộ, người bệnh cần lựa chọn cơ sở y tế uy tín chất lượng để khám bệnh.