Viêm nướu và bệnh nha chu: Phân biệt và cách chữa
Viêm nướu và bệnh nha chu là hai bệnh rất dễ bị nhầm lẫn bởi có những triệu chứng tương đồng. Tuy nhiên, chúng hoàn toàn khác nhau và người bệnh cần xác định chính xác bệnh để điều trị đạt hiệu quả cao nhất. Vậy phân biệt và cách chữa viêm nướu và bệnh nha chu như thế nào? Cùng tìm câu trả lời cho 2 bệnh lý trên qua bài dưới đây của Thu Cúc TCI bạn nhé.
1. Sự khác nhau về triệu chứng viêm nướu và bệnh nha chu
Nướu khỏe mạnh thường vững chắc và có màu hồng tự nhiên. Tuy nhiên, khi mắc bệnh nha chu, nướu sẽ trải qua những biến đổi và biểu hiện những dấu hiệu sau:
Qúa trình từ răng khỏe mạnh đến bị viêm nướu và viêm nha chu (minh họa).
1.1 Viêm nướu
Đặc điểm chính của viêm nướu thường là nướu bị sưng to, trở nên đỏ ửng, dễ bị kích thích và chảy máu. Điều này thường xảy ra khi chải răng hoặc thậm chí bị tự nhiên. Dấu vết chảy máu nướu thường không gây đau quá mức, nhưng có thể kèm theo sự tụt nướu. Từ đó làm cho răng trông dài hơn và dễ bị kích thích với nhiệt độ hơn.
1.2 Bệnh nha chu
Viêm nha chu là giai đoạn nặng và nguy hiểm hơn của viêm nướu. Bởi viêm nha chu không chỉ ảnh hưởng tới răng, nướu mà còn cả tổ hợp quanh răng và xương ổ răng. Thậm chí, để nặng có thể khiến viêm loét nướu, hôi miệng, lung lay răng. Khi bị viêm nha chu, mô nướu thường tách khỏi thân răng, tạo ra một túi nha chu. Trong các trường hợp nặng hơn, có thể gây ra sự lung lay của răng và sự tiêu xương xung quanh. Điều này có thể gây ra đau khi ăn nhai và trong một số trường hợp, thậm chí có thể dẫn đến sự xuất hiện của mủ.
2. Nguyên nhân 2 bệnh lý viêm nướu và bệnh nha chu
Bệnh viêm nướu thường không dẫn đến những tình trạng nguy hiểm tức thì, nhưng về lâu dài thì không thể chủ quan. Bởi nó có khả năng lan đến các phần khác của mô nha chu. Cụ thể bao gồm cả mô mềm và xương giữ chắc chân răng. Hiện tượng này thường được gọi là viêm nha chu. Với thời gian, viêm nha chu có thể gây ra sự lung lay và thậm chí là mất răng.
Viêm nướu thường xuất phát từ sự bất cẩn trong việc vệ sinh răng miệng. Trong khi đó, viêm nha chu có thể xuất hiện do sự kết hợp của nhiều yếu tố toàn thân khác. Cụ thể các nguyên nhân dẫn tới 2 bệnh trên như sau:
2.1. Viêm nướu
Nguyên nhân chính gây ra viêm nướu thường liên quan đến sự hình thành của mảng bám. Quá trình gây ra viêm nướu thông qua mảng bám diễn ra như sau:
Mảng bám hình thành trên bề mặt răng: đây là một lớp màng mỏng chứa vi khuẩn. Bệnh nhân thường không dễ nhận biết bằng mắt thường. Mảng bám chủ yếu tập trung ở phần cổ răng gần nướu. Nếu chạm vào bề mặt răng, bạn có thể cảm nhận sự thô và mờ mờ. Vi khuẩn trong mảng bám sử dụng thức ăn để sinh sản và sản phẩm chất thải của chúng gây ra sự viêm nướu và sưng to. Mảng bám thường tái hình thành khá nhanh và có thể loại bỏ bằng cách chải răng đúng cách. Với cách này, nguy cơ viêm nướu và viêm nha chu sẽ được giảm thiểu.
Viêm nướu làm lợi sưng đỏ (minh họa).
Mảng bám dần trở nên cứng và chuyển thành vôi răng: xuất hiện trên và dưới nướu. Lúc này, vi khuẩn bắt đầu tạo thành và phát triển. Vôi răng khó loại bỏ và nó cung cấp một lớp bảo vệ cho vi khuẩn. Điều đó đồng thời kích thích nướu. Để loại bỏ vôi răng, cần đến nha sĩ để tiến hành cạo vôi.
Khi mảng bám và vôi răng tồn tại trong thời gian dài: chúng kích thích kéo dài nướu. Kết quả là nướu sẽ trở nên viêm nhiễm, sưng to và dễ chảy máu. Trong trường hợp này, mô bên dưới nướu có thể phát triển sâu vào gần với vôi răng. Nếu không được điều trị, viêm nướu có thể tiến triển thành viêm nha chu.
2.2. Viêm nha chu
Viêm nha chu không có khả năng phục hồi và nếu kéo dài, túi nha chu sẽ ngày càng trở nên sâu hơn. Thậm chí túi nha có thể đạt đến độ sâu 1cm. Bàn chải răng thông thường không thể loại bỏ hoàn toàn vi khuẩn trong túi. Có hai hệ vi khuẩn phát triển trên bề mặt chân và vùng cổ răng, những vị trí khó khăn để làm sạch. Vôi răng cũng xuất hiện tại những vị trí này và cần phải được loại bỏ bởi nha sĩ. Vôi răng này bao gồm vôi răng trên nướu và vôi răng dưới nướu. Túi nha chu sâu hơn, hệ vi khuẩn sẽ lan rộng sâu vào chân răng.
Vi khuẩn, cùng với vôi răng trong túi nha chu, sẽ tiếp tục làm viêm nhiễm và lây lan. Trong trường hợp viêm nha chu, viêm xâm nhập vào mô mềm và xương gây tổn thương. Khi viêm phá hủy xương ổ, răng có thể lung lay và gây đau khi ăn nhai. Cuối cùng, điều này có thể dẫn đến việc mất răng.
2.3 Các yếu tố nguy cơ khác dẫn đến 2 bệnh lý
Bệnh viêm nướu và viêm nha chu có sự ảnh hưởng từ nhiều yếu tố nguy cơ khác nhau, bao gồm:
– Hút thuốc lá:
Hút thuốc lá được xem là một trong những yếu tố tăng nguy cơ gặp viêm nướu và viêm nha chu. Chất hóa học trong thuốc lá có thể gây tổn hại cho nướu và mô nha chu.
– Rối loạn chuyển hóa (hay gặp ở bệnh tiểu đường):
Những rối loạn chuyển hóa như đái tháo đường có thể làm gia tăng nguy cơ viêm nướu và viêm nha chu. Sự thay đổi trong cơ chế chuyển hóa cơ thể có thể tạo điều kiện thuận lợi cho sự phát triển của bệnh.
– Thay đổi hormone trong thời kỳ mang bầu của người phụ nữ:
Trong giai đoạn mang thai, sự thay đổi trong hormone có thể làm tăng nguy cơ bị viêm nướu và viêm nha chu. Điều này bắt nguồn do sự thay đổi về cân bằng hormone.
– Sử dụng một số loại thuốc:
Một số loại thuốc như thuốc ức chế miễn dịch hoặc thuốc tim mạch có thể tác động đến sức kháng của nướu, làm cho nướu dễ bị viêm.
– Yếu tố di truyền:
Một số người có gen di truyền khiến họ dễ bị viêm nướu hơn so với người khác.
– Giới tính:
Có sự chênh lệch trong nguy cơ mắc bệnh viêm nướu và viêm nha chu giữa nam và nữ.
– Dinh dưỡng:
Thiếu vitamin C có thể gây ra tình trạng viêm nướu và viêm nha chu.
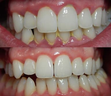
3. Cách chữa viêm nướu và viêm nha chu
Có 3 cách đơn giản giúp bạn khắc phục tình trạng viêm nướu và bệnh nha chu như sau:
3.1 Vệ sinh răng miệng là yếu tố then chốt
Việc duy trì vệ sinh răng miệng tốt là một phần quan trọng của việc giữ gìn sức khỏe răng miệng. Nếu bạn không chú ý đến vệ sinh răng miệng, điều trị viêm nướu và viêm nha chu có thể trở nên vô nghĩa. Người bệnh mắc các tình trạng này thường cần phải học lại cách vệ sinh răng miệng của mình.
3.2 Xử lý vôi răng và bề mặt chân răng
Trong quá trình điều trị viêm nướu và viêm nha chu, việc loại bỏ vôi răng thường là bước khởi đầu. Điều trị viêm nướu thường bao gồm việc loại bỏ vôi răng và điều chỉnh lại bề mặt răng để tránh sự tích tụ của mảng bám ở những vị trí khó xử lý.
Nếu viêm nha chu đã phát triển, việc loại bỏ mảng bám vi khuẩn và vôi răng cũng cần được thực hiện cả trên và dưới nướu. Quá trình này thường được gọi là xử lý bề mặt chân răng. Xử lý bề mặt chân răng đòi hỏi sự can thiệp của nha sĩ và thường mất nhiều thời gian hơn. Ngoài ra, bệnh nhân có thể được kê đơn thuốc kháng sinh hoặc kháng viêm để hỗ trợ quá trình điều trị. Trong trường hợp điều trị không đạt hiệu quả, bệnh nhân có thể cần đến phẫu thuật như lật nắp nha chu và xử lý bề mặt chân răng, ghép xương.
Viêm nha chu càng được phát hiện sớm, thì việc điều trị và kiểm soát càng hiệu quả. Mục tiêu của việc điều trị là ngăn ngừa sự phá hủy mô và giữ cho răng được bảo toàn. Điều này có vai trò quan trọng trong việc ngăn ngừa mất răng.
3.3 Tái khám và đánh giá
Tái khám và đánh giá định kỳ là một phần quan trọng trong quá trình điều trị viêm nha chu. Tái khám giúp bác sĩ đánh giá tình trạng bệnh và hiệu quả của quá trình điều trị. Nếu người bệnh phản ứng tích cực với điều trị, nha sĩ có thể đề xuất các biện pháp duy trì. Ngược lại, nếu không có sự cải thiện, các phương pháp điều trị sẽ được thay đổi.
Bệnh nhân qua Thu Cúc TCI để tái khám và đánh giá bệnh (minh họa).
Mỗi lần tái khám, nha sĩ cũng sẽ kiểm tra kỹ năng vệ sinh hàng ngày của bạn. Điều này giúp đánh giá khả năng duy trì vệ sinh răng của bạn cũng như đánh giá nguy cơ tái phát bệnh trong tương lai.
Hy vọng những thông tin về cách phân biệt và cách chữa viêm nướu và bệnh nha chu sẽ hữu ích cho bạn đọc. Hãy dành nhiều thời gian hơn để quan tâm đến sức khỏe răng miệng của mình bạn nhé!


















