Viêm lợi răng: Nguyên nhân tiềm ẩn và cách chữa dứt điểm không tái phát
Viêm lợi răng là một trong những bệnh lý nha khoa phổ biến nhưng thường bị bỏ qua ở giai đoạn đầu. Nếu không điều trị đúng cách, tình trạng này có thể viêm nặng hơn, gây tụt lợi, lung lay răng và mất răng vĩnh viễn. Vậy nguyên nhân sâu xa do đâu và làm sao để chữa dứt điểm mà không tái phát?
1. Viêm lợi răng là gì? Bệnh có nguy hiểm không?
1.1. Khái niệm viêm lợi răng theo góc nhìn nha khoa
Viêm lợi răng (viêm nướu) là tình trạng mô nướu quanh răng bị sưng, đỏ và nhạy cảm do vi khuẩn tích tụ tại viền lợi. Đây là giai đoạn khởi phát của bệnh nha chu, nếu được phát hiện sớm có thể điều trị hoàn toàn và phục hồi cấu trúc mô nướu.

1.2. Viêm lợi khác gì với viêm nha chu?
Mặc dù đều là bệnh lý liên quan đến mô quanh răng, nhưng mức độ tổn thương của viêm lợi và viêm nha chu hoàn toàn khác nhau:
– Viêm lợi: Chỉ ảnh hưởng đến phần mô mềm bao quanh chân răng, chưa tác động đến xương ổ răng. Nếu can thiệp kịp thời, lợi có thể hồi phục hoàn toàn.
– Viêm nha chu: Là giai đoạn tiến triển của viêm lợi, vi khuẩn xâm nhập sâu gây tiêu xương, tụt lợi, hình thành túi nha chu. Đây là nguyên nhân hàng đầu dẫn đến rụng răng ở người trưởng thành.
1.3. Nguy cơ biến chứng nếu không được điều trị sớm
Viêm lợi không chỉ gây đau nhức, hôi miệng, ảnh hưởng đến ăn nhai mà còn kéo theo nhiều biến chứng nghiêm trọng:
– Gây mất răng vĩnh viễn do tiêu xương ổ răng.
– Lâu dần dẫn đến viêm nha chu – giai đoạn gây tổn thương không thể phục hồi.
– Ảnh hưởng sức khỏe toàn thân, làm tăng nguy cơ bệnh tim mạch, tiểu đường, sinh non ở phụ nữ mang thai.

2. Dấu hiệu nhận biết viêm lợi răng chính xác nhất
Viêm lợi thường khởi phát âm thầm, không gây đau nhiều nên dễ bị bỏ qua. Tuy nhiên, nếu quan sát kỹ, người bệnh có thể nhận biết thông qua các dấu hiệu đặc trưng sau:
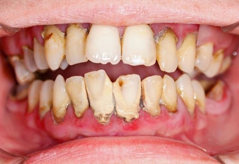
– Lợi sưng đỏ, mềm và dễ chảy máu: Xuất hiện khi chải răng, dùng chỉ nha khoa hoặc thậm chí khi ăn uống bình thường.
– Hơi thở có mùi hôi kéo dài: Do vi khuẩn tích tụ trong mảng bám và kẽ răng.
– Lợi co rút, để lộ chân răng: Khi bệnh tiến triển, lợi có thể tụt xuống khiến răng trông dài hơn bình thường.
– Cảm giác đau âm ỉ, ê buốt: Đặc biệt khi ăn đồ nóng, lạnh hoặc chua.
– Có mủ ở chân răng: Đây là dấu hiệu cảnh báo viêm lợi răng đã chuyển sang giai đoạn nặng, nguy cơ viêm nha chu cao.
Lưu ý: Nếu bạn thấy xuất hiện từ 2 dấu hiệu trở lên, đó là lúc cần đi khám nha khoa sớm để ngăn ngừa biến chứng gây lung lay hoặc mất răng.
3. Nguyên nhân tiềm ẩn gây viêm lợi
Viêm lợi không chỉ xuất phát từ thói quen vệ sinh kém mà còn chịu ảnh hưởng bởi nhiều yếu tố bên trong cơ thể. Dưới đây là những nguyên nhân phổ biến nhất mà bạn cần lưu ý để tìm đúng hướng điều trị.
3.1. Cao răng hình thành lâu ngày, bám cứng vào khu vực quanh chân răng
Mảng bám chứa hàng triệu vi khuẩn hình thành từ thức ăn thừa và nước bọt. Nếu không được làm sạch, chúng sẽ cứng lại thành cao răng, kích thích lợi gây viêm, chảy máu và hơi thở có mùi hôi.

3.2. Thói quen làm sạch răng miệng sai
Chải răng quá nhanh, bỏ qua chỉ nha khoa hoặc không súc miệng sau ăn tạo điều kiện cho vi khuẩn phát triển. Việc chải răng theo chiều ngang cũng có thể làm tình trạng viêm lợi nặng hơn.
3.3. Nội tiết tố hormone thay đổi
Sự thay đổi hormone khiến mạch máu ở lợi nhạy cảm hơn với vi khuẩn, dễ sưng đỏ, đau và viêm. Đây là lý do viêm lợi thường xảy ra ở phụ nữ mang thai và thanh thiếu niên trong độ tuổi dậy thì.
3.4. Hệ miễn dịch suy giảm (stress, thiếu vitamin C)
Căng thẳng kéo dài hoặc chế độ ăn nghèo nàn vitamin C khiến cơ thể giảm khả năng chống lại vi khuẩn. Điều này khiến lợi dễ bị tấn công và phục hồi chậm hơn khi bị viêm.
3.5. Do đang điều trị bằng thuốc hoặc do bệnh lý trong cơ thể
Thuốc chống trầm cảm, thuốc điều trị tăng huyết áp… có thể gây khô miệng và giảm tiết nước bọt, làm mất khả năng tự làm sạch của khoang miệng.
4. Cách chữa viêm lợi dứt điểm, không tái phát
4.1. Điều trị tại nha khoa – bước bắt buộc
– Lấy cao răng và mảng bám chuyên sâu: Đây là phương pháp quan trọng nhất để loại bỏ vi khuẩn gây viêm. Bác sĩ sử dụng dụng cụ siêu âm làm sạch cao răng cả trên và dưới nướu, giúp lợi bám chắc lại vào chân răng.
– Điều trị bằng thuốc: Trong trường hợp lợi bị viêm nặng, bác sĩ có thể kê thuốc kháng viêm, kháng sinh hoặc gel bôi tại chỗ để giảm sưng đau, kiểm soát nhiễm trùng.
– Xử lý túi lợi viêm (nếu có): Nếu viêm lợi răng tiến triển thành nha chu, cần nạo túi lợi hoặc phẫu thuật tái tạo mô để loại bỏ vi khuẩn ở vùng sâu.

4.2. Chăm sóc răng miệng tại nhà
– Chải răng đúng kỹ thuật: Sử dụng bàn chải lông mềm, chải nhẹ nhàng theo chiều xoay tròn hoặc từ lợi xuống răng để không làm tổn thương nướu.
– Dùng chỉ nha khoa mỗi ngày: Giúp loại bỏ thức ăn thừa ở kẽ răng – nơi bàn chải không thể làm sạch.
– Súc miệng bằng nước muối sinh lý hoặc dung dịch sát khuẩn: Giảm vi khuẩn gây viêm và hỗ trợ lợi phục hồi nhanh hơn.
– Bổ sung vitamin C và uống đủ nước: Tăng cường sức đề kháng cho mô lợi.
4.3. Điều chỉnh lối sống để ngăn tái phát viêm lợi răng
– Tránh hút thuốc lá, sử dụng đồ uống có cồn gây khô miệng.
– Giảm căng thẳng, ngủ đủ giấc để hỗ trợ hệ miễn dịch.
– Tái khám răng miệng định kỳ 3-6 tháng/lần để phát hiện và xử lý sớm các dấu hiệu bất thường.
Viêm lợi răng là bệnh lý răng miệng phổ biến nhưng hoàn toàn có thể điều trị dứt điểm nếu được phát hiện sớm và xử lý đúng cách. Thay vì chủ quan khi thấy lợi sưng đỏ, chảy máu hoặc hôi miệng, bạn nên chủ động thăm khám để loại bỏ mảng bám – nguyên nhân gốc rễ gây viêm. Kết hợp điều trị tại nha khoa với vệ sinh đúng cách tại nhà sẽ giúp lợi phục hồi khỏe mạnh, ngăn tái phát và bảo vệ răng lâu dài.

















