5 dấu hiệu viêm nha chu – Chớ coi thường kẻo mất răng
Trong các bệnh về răng, viêm nha chu là một bệnh lý răng miệng vô cùng phổ biến. Hãy đi khám ngay khi có 5 dấu hiệu viêm nha chu dưới đây, bởi nếu càng để lâu, bệnh càng tiến tới giai đoạn nặng hơn và điều trị sẽ phức tạp, thậm chí bạn có nguy cơ mất răng vĩnh viễn nếu không điều trị kịp thời.
1. Bệnh viêm nha chu là gì?
Viêm nha chu hay còn gọi là bệnh nha chu, bệnh nướu răng là tình trạng mô nướu bị nhiễm trùng, lan sang mô xương bên dưới. Rất nhiều bệnh nhân chỉ đi khám và điều trị khi bệnh đã tồi tệ và nặng hơn mức ban đầu rất nhiều.
Viêm nha chu là bệnh răng miệng rất thường gặp.
2. Quá trình phát triển của bệnh nha chu
Trong hầu hết các trường hợp, nhiễm trùng nướu là do tích tụ mảng bám. Khi chúng ta ăn, đường tự nhiên được tìm thấy trong tinh bột, sẽ hòa trộn với nước bọt và vi khuẩn sống trong miệng chúng ta, tạo thành một lớp màng, được gọi là mảng bám dính vào răng của bạn.
Các vi khuẩn trong mảng bám chuyển hóa đường và tạo ra axit. Những axit này có thể ăn mòn men răng và gây sâu răng. Ở giai đoạn này, nếu như chúng đánh răng thường xuyên và dung chỉ nha khoa thì có thể ngăn ngừa các vấn đề về răng miệng trong tương lai. Ngược lại, nếu không chăm sóc răng kỹ càng, mảng bám còn trên răng của bạn sẽ tích tụ và cứng lại thành cao răng, vi khuẩn tiếp tục phát triển mạnh và không lâu sau, vi khuẩn sẽ gây nhiễm trùng nướu. Đó là khi bạn bị viêm lợi.
Viêm lợi chính là khởi đầu của bệnh nha chu. Nếu không điều trị kịp thời, mảng bám sẽ lan rộng ra bên dưới đường viền nướu. Lúc này các axit và chất độc do vi khuẩn tạo ra gây ra viêm nướu mạn tính và một dạng bệnh nướu răng nặng hơn phát triển gọi là viêm nha chu.
Khi bệnh viêm nha chu tiến triển, nướu răng của bạn bị phá vỡ, tạo điều kiện cho nhiễm trùng xâm nhập sâu hơn. Tình trạng viêm liên tục làm xói mòn xương nâng đỡ răng của bạn.
Mảng bám tích tụ lâu ngày chính là nguyên nhân chính dẫn tới bệnh viêm nha chu.
+ Các giai đoạn của bệnh nha chu:
Khi đã biết được mức độ nghiêm trọng của bệnh nướu răng, chúng ta cần tìm hiểu các giai đoạn của nhiễm trùng nướu:
– Viêm lợi: Đây là giai đoạn đầu của bệnh. Ở giai đoạn này, nếu chúng ta chủ động đi khám nha khoa và phát hiện bệnh, bác sĩ sẽ kê các loại thuốc chống nhiễm trùng. Các triệu chứng thường nhẹ và nhiễm trùng chỉ làm tổn thương một phần mô nướu của bạn.
– Viêm nha chu: Đây là giai đoạn đáng sợ của bệnh nướu răng. Không chỉ ảnh hưởng đến mô nướu của bạn, các mô xương bên dưới và răng đều bị ảnh hưởng. Đối với giai đoạn này, đòi hỏi các phương pháp điều trị chuyên sâu hơn để điều trị. Viêm nha chu nặng hơn có thể là vấn đề nan giải, điều trị phức tạp và kéo dài.
3. 5 dấu hiệu viêm nha chu tuyệt đối không nên bỏ qua
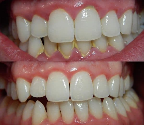
3.1. Chảy máu và sưng tấy ở lợi
Đây là dấu hiệu bệnh viêm nha chu trong giai đoạn đầu. Tuy nhiên, nó không có nghĩa là triệu chứng nhẹ bởi rõ ràng nhiễm trùng đã bắt đầu làm tổn thương mô nướu. Người bệnh cần theo dõi tình trạng sưng tấy. Nếu nó tiếp tục lây lan sang các vị trí khác trên miệng, thì tình trạng nhiễm trùng của bạn đang nhanh chóng chuyển sang giai đoạn tiếp theo.
3.2. Loét miệng – lở miệng
Loét và lở miệng rất giống bệnh lở miệng thông thường. Tuy nhiên, khi nướu của bạn bị nhiễm trùng, vết loét khó lành hơn rất nhiều. Tình trạng lở và loét miệng thường xuyên tái diễn khiến người bệnh vô cùng khó chịu. Bên cạnh đó, khi nướu mềm, sưng và đau, thì tình trạng lở miệng sẽ khiến bạn càng thêm đau đớn, khó chịu.
3.3. Tụt nướu
Đây có thể không phải là dấu hiệu bạn nhận thấy ngay. Người bệnh cần kiểm tra nướu và theo dõi thường xuyên mới nhận thấy sự khác biệt. Tình trạng tụt nướu xảy ra dần dần khiến mô nướu bị sưng tấy tiếp tục kéo ra xa khỏi răng.
Tụt lợi là 1 trong những dấu hiệu viêm nha chu.
3.4. Răng lung lay
Nếu bạn có dấu hiệu bệnh viêm nha chu này thì nghĩa là tình trạng viêm nha chu của bạn đang ở giai đoạn bùng phát. Răng trở nên lung lay khi cả mô và nướu, xương đều bị tổn thương. Ban đầu, người bệnh sẽ nhận thấy một răng lung lay, sau đó ngày càng nhiều răng hơn bị lung lay. Nếu không phát hiện và điều trị sớm, bạn có thể bị mất răng vĩnh viễn.
3.5. Đau, khạc ra máu khi đánh răng
Dấu hiệu này cho thấy bệnh viêm nha chu đã tiến xa hơn gây đau nhức trên nướu, khiến bạn khó ăn hoặc nhai bất cứ thứ gì. Nướu có thể tổn thương hở và cần điều trị.
Khi thấy có bất kỳ dấu hiệu viêm nha chu nào, người bệnh nên đi khám nha sĩ sớm để được điều trị kịp thời, tránh để lâu bệnh tiến triển nặng, việc điều trị sẽ gặp nhiều khó khăn, tốn kém hơn.


















