Viêm lợi trùm răng khôn và những biến chứng nguy hiểm gây ra
Viêm lợi trùm răng khôn là một bệnh lý xuất hiện khi răng khôn phát triển, khiến cho bệnh nhân bị viêm sưng và đau đớn kéo dài. Vậy viêm lợi trùm có những triệu chứng gì và làm sao để điều trị được hiệu quả? Hãy đọc bài viết dưới đây nhé.
1. Tổng quan về viêm lợi trùm răng khôn
1.1 Viêm lợi trùm là bệnh gì?
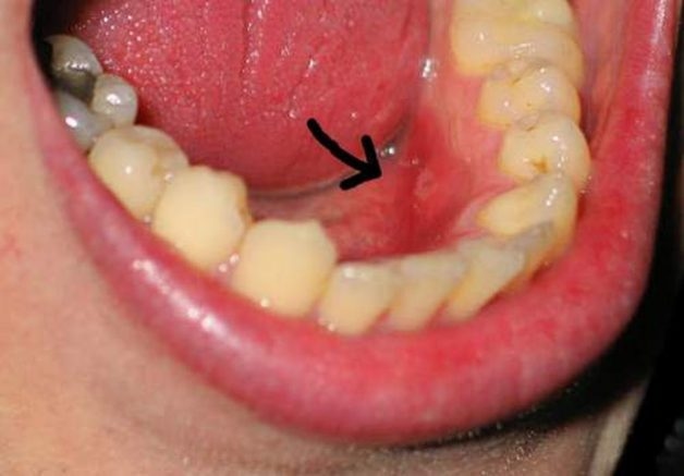
Đây là tình trạng phần lợi ở phía trong hàm bao phủ lên bề mặt răng khôn, khiến răng khôn bị kẹt và khó phát triển. Khi phần răng khôn mọc thêm sẽ đâm vào phần lợi, khiến người bệnh cảm thấy đau đớn và khó chịu. Nếu không được điều trị kịp thời, bệnh lý này có thể gây những hệ lụy nghiêm trọng đến sức khỏe răng miệng.

Viêm lợi trùm răng khôn là tình trạng phần lợi ở phía trong hàm bao phủ lên bề mặt răng khôn, khiến răng khôn bị kẹt và khó phát triển.
1.2 Viêm lợi trùm có thể tự khỏi được không?
Trong trường hợp phần lợi không bị viêm nhiễm sẽ có thể tự khỏi sau khoảng 3 – 4 ngày. Nhưng trong thời gian gần, phần lợi đó sẽ vẫn sẽ sưng lên và bị viêm trở lại khi răng khôn phát triển hơn. Lúc này, lợi sẽ tiếp tục bị hở và việc nhiễm trùng tái phát.
2. Đối tượng bị viêm lợi trùm
Bệnh lý này xảy ra nhiều nhất với những người trong độ tuổi từ 19 – 29 tuổi. Một số yếu tố góp phần làm tăng nguy cơ bệnh lý này có thể kể đến như:
– Cơ thể bị suy dinh dưỡng.
– Cách vệ sinh răng miệng không đúng hoặc không thường xuyên vệ sinh.
– Vị trí và cách mọc răng khôn bất thường.
– Bệnh nhân đã có bệnh lý nền như viêm nha chu mãn tính,…
– Người bệnh mang thai hay suy nhược.
3. Triệu chứng viêm lợi trùm
3.1 Lợi bị sưng
– Phần lợi có màu đỏ và sưng phồng lên thành bọng lớn. Khi dùng tay ấn vào lợi, bạn sẽ có cảm giác đau đớn. Một số trường hợp có thể thấy có nước và mủ chảy ra.
3.2 Đau răng
Các cơn đau nhức xuất hiện ngày càng nhiều và kéo dài, cường độ sẽ lớn dần. Ngay cả khi nuốt nước bọt hay há miệng cũng sẽ có cảm giác đau.

Những cơn đau răng sẽ xuất hiện với cường độ tăng dần là một biểu hiện điển hình của viêm lợi trùm
3.3 Xuất hiện những cơn sốt và hạch nổi lên
Khi bị viêm lợi trùm, bạn có thể bị sốt. Thêm vào đó, góc hàm sẽ sưng và vùng cổ xuất hiện hạch.
3.4 Chảy nước miếng
Do lợi bị sưng nên bạn không thể ngậm miệng vào như bình thường. Điều này sẽ khiến cho khi ngủ, nước miếng chảy ra và có mùi hôi khó chịu.
4. Biến chứng viêm lợi trùm răng khôn
4.1 Bệnh viêm lợi trùm có mủ
Khi viêm lợi trùm diễn tiến nặng sẽ hình thành bệnh lý viêm lợi trùm có mủ. Bệnh lý này hình thành do thức ăn bị kẹt lại ở phần lợi bị viêm dẫn đến vi khuẩn có môi trường lý tưởng để làm tổ, từ đó nướu bị nhiễm trùng và hình thành bọc mủ. Nếu không được điều trị kịp thời, vi khuẩn có khả năng sẽ lan ra các mô xung quanh, khiến cho răng và xương hàm bị tổn hại.
4.2 Nướu nhiễm trùng
Đây là biến chứng dễ xảy ra khi bệnh nhân bị viêm lợi trùm. Khi các tổn thương ở nướu không được khắc phục sớm, vi khuẩn sẽ xâm nhập vào và gây nên hiện tượng nhiễm trùng. Bệnh lý này có nguy cơ gây ra các bệnh về tim mạch và tăng nguy cơ đột quỵ cho người bệnh.

Khi các tổn thương ở nướu không được khắc phục sớm, vi khuẩn sẽ xâm nhập vào và gây nên hiện tượng nhiễm trùng.
4.3 Nguy cơ lung lay răng bên cạnh
Các răng bên cạnh răng khôn sẽ bị ảnh hưởng khi viêm lợi trùm biến chứng do vi khuẩn lây lan từ vùng này đến vùng khác. Từ đó, chân răng của những răng bên cạnh sẽ bị yếu đi và lung lay.
4.4 Ảnh hưởng lớn đến sức khoẻ
Khi viêm lợi trùm bị biến chứng, các cơn đau kéo dài dẫn đến sức khoẻ của bệnh nhân dần suy kiệt. Từ đó, nguy cơ mắc những bệnh lý liên quan đến tiêu hoá tăng cao. Bên cạnh đó, việc bị viêm lợi trùm ở mức độ nặng có thể khiến cho việc giao tiếp bị ảnh hưởng nghiêm trọng do mở miệng và phát âm khó, mùi hôi ở vùng viêm nhiễm gây khó chịu cho người đối diện.
5. Cách điều trị viêm lợi trùm
5.1 Điều trị với kháng sinh
Nếu lợi bị viêm sưng đỏ, bác sĩ sẽ tiến hành kiểm tra sau đó sát trùng ổ viêm. Cuối cùng, bác sĩ sẽ tiến hành kê thuốc kháng sinh cho bệnh nhân. Nếu đã xuất hiện biến chứng viêm lợi trùm có mủ, việc dùng thuốc kháng sinh sẽ giúp phần lợi trùm tiêu viêm. Lúc này, việc điều trị lợi trùm mới có thể triệt để.
5.2 Cắt lợi trùm
Tiểu phẫu này được thực hiện để loại bỏ đi phần lợi trùm mọc lên trong trường hợp răng khôn mọc thẳng. Sau khi đã cắt lợi, răng khôn sẽ tiếp tục mọc lên như một răng bình thường.
5.3 Nhổ răng khôn
Theo các bác sĩ, đây là phương pháp hữu hiệu nhất để giải quyết viêm lợi trùm. Sau khi nhổ răng khôn, tình trạng viêm lợi sẽ được điều trị dứt điểm và việc vệ sinh răng miệng cũng dễ dàng hơn.

Nhổ răng khôn bằng sóng siêu âm Piezotome là phương pháp tân tiến nhất hiện nay với việc mũi khoan siêu mỏng vả mảnh bóc tách nướu dễ dàng với những ưu điểm vượt trội như không đau, không chảy máu, không biến chứng
Với bài viết trên, chúng tôi đã cung cấp những thông tin hữu ích về chủ đề viêm lợi trùm răng khôn. Nếu có bất kỳ thắc mắc gì, bạn nên đến các cơ sở y tế uy tín để được các bác sĩ giải đáp chi tiết và chính xác nhất.