Cấp cứu:0901793122
English
Bệnh Viện Đa Khoa Quốc Tế Thu Cúc | TCI Hospital
Chăm sóc sức khoẻ trọn đời cho bạn
Tổng đài1900558892
chụp x quang

chụp x quang

Trang chủ/chụp x quang
Chụp X quang vú ở đâu TỐT và Kết quả Chuẩn nhất?

Chụp X quang vú ở đâu TỐT và Kết quả Chuẩn nhất?

Chụp X quang vú là một biện pháp tối ưu trong chẩn đoán và điều trị ung thư vú. Vậy chụp X quang vú ở đâu uy tín, chính xác là vấn đề nhiều người băn khoăn cần được giải đáp cụ thể. 1. Chụp X quang vú – chẩn đoán phát hiện sớm ung […]
Bệnh viện Thu Cúc chụp X- quang bao nhiêu tiền?

Bệnh viện Thu Cúc chụp X- quang bao nhiêu tiền?

Chào bác sĩ! Mẹ tôi bị đau lưng, vận động và sinh hoạt khó khăn. Tôi đang muốn đưa mẹ đi chụp X-quang cột sống lưng để tìm nguyên nhân. Xin hỏi, Bệnh viện Thu Cúc có chụp X-quang không? Chụp X-quang bao nhiêu tiền? Cảm ơn bác sĩ! (Ngọc Linh – Hà Nội) Chụp […]
Chụp X quang phổi có phải cởi áo không,

Chụp X quang phổi có phải cởi áo không,

Chụp X quang phổi có phải cởi áo không và có hại cho sức khỏe không là vấn đề nhiều người băn khoăn mong muốn được giải đáp cụ thể. Bài viết dưới đây sẽ giúp bạn giải đáp cụ thể. Chụp X quang phổi có phải cởi áo không? X quang là một quy […]
Chụp X-quang khớp cổ chân hiệu quả

Chụp X-quang khớp cổ chân hiệu quả

Chụp X-quang khớp cổ chân là phương pháp thăm khám phổ biến mỗi khi có bất thường ở cổ chân như viêm khớp, trật khớp, giãn dây chằng… Để phương pháp này diễn ra chính xác và hiệu quả, nên tìm đến các cơ sở uy tín. Vậy chụp X quang khớp cổ chân ở […]
Chụp X quang sọ não

Chụp X quang sọ não

Khi gặp phải các vấn đề ở sọ não như chấn thương, dị tật, viêm các xoang…, người bệnh thường được chỉ định chụp X quang sọ não để chẩn đoán. Tuy nhiên, đây là cơ quan khá phức tạp và khó quan sát hơn qua phim chụp, cần được thực hiện và đọc phim […]
Chụp X quang cột sống cổ

Chụp X quang cột sống cổ

Chụp X quang cột sống cổ cung cấp hình ảnh 7 đốt sống đầu tiên của cột sống. Phim chụp hỗ trợ tốt quá trình chẩn đoán và điều trị các vấn đề tại cột sống cổ. Để kết quả được chính xác và hiệu quả, nên thực hiện tại các cơ sở uy tín. […]
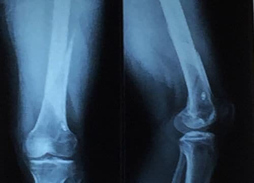
Chụp X quang khớp gối

Chụp X quang khớp gối

Chụp X quang khớp gối giúp phát hiện các bất thường ở đầu gối và hỗ trợ điều trị bệnh hiệu quả. Do lo ngại tác hại của chụp X quang nên nhiều người muốn tìm một địa chỉ thăm khám uy tín và hiệu quả. Để có cho mình địa chỉ thăm khám khớp gối […]
Chụp X quang nhiều có hại không

Chụp X quang nhiều có hại không

Chụp X quang được sử dụng phổ biến trong chẩn đoán và điều trị nhiều bệnh lý trong cơ thể nhất là xương khớp, tim phổi. Nhiều người lo ngại ảnh hưởng của X quang đối với sức khỏe nên đã đặt ra câu hỏi chụp X quang nhiều có hại không. Để có thêm […]
Chụp X quang ở đâu

Chụp X quang ở đâu

Chụp X quang là phương pháp hiệu quả giúp phát hiện các vấn đề ở nhiều cơ quan trong cơ thể như xương, răng, mô đặc… Do lo lắng về tác hại của chụp X quang nên nhiều người đặt ra thắc mắc chụp X quang ở đâu? Để có thêm thông tin về vấn […]
Chụp X quang là gì?

Chụp X quang là gì?

Chụp X quang là chỉ định cần thiết trong chẩn đoán nhiều bệnh lý đặc biệt là bệnh xương khớp. Vậy chụp X quang là gì? Có ảnh hưởng nhiều tới sức khỏe không và cần lưu ý gì khi chụp x quang? Cùng tìm hiểu chi tiết ngay dưới đây nhé Bệnh viện Thu […]
Chụp X quang phổi bao nhiêu tiền? Cần lưu ý những gì?

Chụp X quang phổi bao nhiêu tiền? Cần lưu ý những gì?

Chụp X quang phổi là một chẩn đoán hình ảnh quan trọng để chẩn đoán các bệnh lý về phổi. Vậy chụp X quang cùng phổi bao nhiêu tiền và cần lưu ý những gì? Bài viết dưới đây sẽ giúp bạn giải đáp cụ thể. 1. Vai trò chụp X quang trong chẩn đoán […]
Chụp X quang ảnh hưởng đến sức khỏe không?

Chụp X quang ảnh hưởng đến sức khỏe không?

Chụp X quang là chỉ định cần thiết để chẩn đoán một số bệnh lý tuy nhiên không phải trường hợp nào cũng áp dụng phương pháp này. Vậy chụp X quang ảnh hưởng đến sức khỏe không? 1. Chụp X quang là gì? Tia X hay X quang là một dạng của sóng điện […]
Chụp X quang tử cung vòi trứng

Chụp X quang tử cung vòi trứng

Chụp X quang tử cung vòi trứng là chẩn đoán cần thiết để kiểm tra tình trạng vòi trứng, tử cung phát hiện bệnh lý hỗ trợ điều trị kịp thời hiệu quả. 1. Chụp X quang tử cung vòi trứng có đau không? Chụp X quang tử cung vòi trứng được sử dụng để […]
Chụp X-quang có ảnh hưởng đến sức khỏe không?

Chụp X-quang có ảnh hưởng đến sức khỏe không?

Chụp X-quang có ảnh hưởng đến sức khỏe không là câu hỏi được nhiều người quan tâm bởi có nhiều thông tin về khả năng gây hại tới sức khỏe từ x-quang, đặc biệt là gây dị tật đối với thai nhi 1. X-quang là gì? Tia X hay X quang là một dạng của […]
Chụp X-quang tim phổi thẳng phát hiện sớm những bất thường

Chụp X-quang tim phổi thẳng phát hiện sớm những bất thường

Chụp X-quang tim phổi thẳng là một trong những phương pháp giúp phát hiện sớm những bất thường ở tim, phổi và các cơ quan lân cận. Đây là một phương pháp được ứng dụng rộng rãi trong việc chẩn đoán hình ảnh, tìm ra những bất ổn để kịp thời xử lý. Chụp X-quang (ray) […]
Chụp X quang nguy hiểm tới mức nào?

Chụp X quang nguy hiểm tới mức nào?

Chụp X quang nguy hiểm tới mức nào là nỗi lo lắng khiến nhiều người e ngại khi cần thực hiện loại xét nghiệm này. Đây là một xét nghiệm chẩn đoán hình ảnh rất phổ biến để khảo sát xương và một số mô khác. Chụp X quang nguy hiểm tới mức nào là […]
Chụp X quang có hại không?

Chụp X quang có hại không?

Mặc dù chụp X quang là một kỹ thuật chẩn đoán hình ảnh được sử dụng rất phổ biến để khảo sát xương và một số mô khác, tuy nhiên nhiều người vẫn lo lắng không biết chụp X quang có hại không? Trả lời cho câu hỏi “chụp X quang có hại không?”, theo […]
Chẩn đoán hình ảnh là gì?các phương pháp chẩn đoán

Chẩn đoán hình ảnh là gì?các phương pháp chẩn đoán

Trong y tế, chúng ta thường nghe thấy thuật ngữ chẩn đoán hình ảnh, dùng các phương pháp chẩn đoán hình ảnh để tìm nguyên nhân gây bệnh. Vậy chẩn đoán hình ảnh là gì? Chẩn đoán hình ảnh là một trong những kỹ thuật giúp phát hiện bệnh chính xác 1. Chẩn đoán hình […]
1900558892
zaloChat