Chụp X quang khớp gối
Chụp X quang khớp gối giúp phát hiện các bất thường ở đầu gối và hỗ trợ điều trị bệnh hiệu quả. Do lo ngại tác hại của chụp X quang nên nhiều người muốn tìm một địa chỉ thăm khám uy tín và hiệu quả. Để có cho mình địa chỉ thăm khám khớp gối an toàn, bạn đọc có thể tham khảo bài viết dưới đây.
- Chụp X quang nhiều có hại không
- Chụp X quang GIÁ bao nhiêu tiền & Có được hưởng BHYT không?
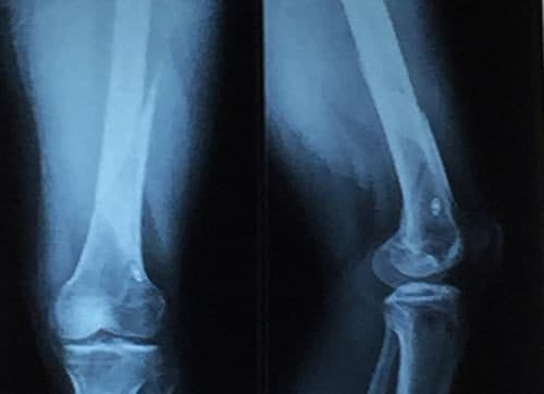
Chụp X quang giúp phát hiện các bất thường ở khớp gối
Một số bệnh lý ở khớp gối cần chụp X quang thường gặp
Bệnh thường gặp ở người già cùng với quá trình lão hóa của cơ thể. Ở giai đoạn sớm, khớp gối chưa hưu hại ngay, chỉ đến khi dịch khớp bị hao hụt thì độ ma sát giữa các đầu khớp mới tăng lên và làm sụn khớp bị ăn mòn làm hẹp khe khớp gối. Lâu dần, nếu không điều trị sẽ ăn mòn đến xương làm phá hủy mô xương, chụp X quang gọi là gai xương.
♗ Bệnh lý dây chằng:
Thoái hóa khớp, giãn dây chằng, viêm khớp là những vấn đề thường gặp ở khớp gối
Khớp gối có bốn dây chằng chính giúp giữ xương với nhau và để khớp gối được ổn định. Các vấn đề như giãn dây chằng, rách đứt dây chằng cũng ảnh hưởng trực tiếp đến khả năng vận động của khớp gối.
♗Trật khớp:
Sau các chấn thương như ngã, va đập ở khớp gối có thể khiến khớp bị trật. Bệnh xảy ra nhiều ở các vận động viên do thường xuyên có các hoạt động nguy cơ. Trật khớp gối là tình trạng khá nghiêm trọng cần được điều trị bởi các bác sĩ có chuyên môn để không gây tật ở chân.
Ngoài ra, đau bánh chè, viêm bao hoạt dịch, tổn thương sụn chêm cũng là những vấn đề thường gặp ở khớp gối. Các bệnh này cần được phòng tránh bằng cách bổ sung đầy đủ dưỡng chất cho cơ thể, tập luyện thể lực thường xuyên và đi khám sức khỏe định kỳ 1 – 2 lần mỗi năm.
Chụp X quang khớp gối ở đâu tốt
Đáp ứng nhu cầu khám chữa bệnh an toàn và hiệu quả của người bệnh, Bệnh viện Đa khoa Quốc tế Thu Cúc đã trang bị cho mình hệ thống máy chụp X quang hiện đại, xây dựng phòng chụp đạt tiêu chuẩn để hạn chế tối đa tác động của tia X đối với sức khỏe.
Sau chụp X quang, người bệnh được chẩn đoán bởi các bác sĩ có chuyên môn cao
Quy tụ đội ngũ bác sĩ có trình độ chuyên môn cao, giàu kinh nghiệm, các bất thường ở khớp gối sẽ được tìm ra nguyên nhân chính xác và được điều trị kịp thời để giảm thiểu các nguy cơ sức khỏe. Áp dụng thanh toán BHYT, bảo hiểm phi nhân thọ, bệnh viện tiết kiệm được nhiều chi phí cho người bệnh.
Đầu gối là cơ quan hay gặp phải vấn đề do thường xuyên phải chịu tác động của trọng lượng cơ thể. Nhận biết bệnh cũng như dấu hiệu sẽ giúp phát hiện sớm và điều trị bệnh kịp thời.
Nếu còn thắc mắc nào ngoài chụp X quang khớp gối, vui lòng liên hệ Bệnh viện Thu Cúc theo tổng đài 1900 55 88 92













