Bệnh viêm lợi trẻ em: Cha mẹ cần lưu ý những gì?
Viêm lợi trẻ em là một trong các bệnh khá phổ biến về răng miệng. Trẻ bị viêm lợi do nhiều nguyên nhân khác nhau gây ra, hiểu rõ hơn về bệnh lý này sẽ giúp cha mẹ có hướng chăm sóc và những phương pháp điều trị phù hợp, hiệu quả.
1. Nguyên nhân gây viêm lợi trẻ em là gì?
Theo các chuyên gia, có nhiều nguyên nhân gây ra viêm lợi ở trẻ, tuy nhiên nguyên nhân phổ biến nhất vẫn là sự tích tụ của các mảng bám ở răng. Những mảng bám này có chứa các vi khuẩn có khả năng sản sinh độc tố và gây ra kích ứng, làm hỏng nướu răng. Do đó, để phòng tránh tình trạng này, cha mẹ nên dạy trẻ cách vệ sinh răng miệng và hướng dẫn trẻ đánh răng thường xuyên mỗi ngày vào thời điểm trước khi đi ngủ và sau khi ngủ dậy.
Bên cạnh các mảng bám thì còn các yếu tố khác gây ra viêm lợi còn do:
– Trẻ mọc răng: Đây là tình trạng có tính chất tạm thời và thường gặp ở giai đoạn ở trẻ khoảng 6 đến 7 tuổi, lúc này trẻ ở giai đoạn mọc răng vĩnh viễn.
– Viêm lợi ở trẻ do sang chấn: Trường hợp này thường gặp do sang chấn cơ học như: trẻ có tật cắn móng tay, nhai thức ăn cứng…
– Nguyên nhân viêm lợi do vi khuẩn Herpes: Bệnh này thường xuất hiện ở trẻ có độ tuổi từ 2-5 tuổi, bệnh sẽ tự khỏi trong khoảng thời gian 2 tuần. Tuy nhiên, cũng có trường hợp nguy hiểm khiến trẻ gặp các biến chứng liên quan đến não bộ.

Nguyên nhân phổ biến gây ra viêm lợi trẻ em là sự tích tụ của các mảng bám ở răng
2. Bệnh viêm lợi trẻ em có những triệu chứng như thế nào?
Tùy vào nguyên nhân và đặc điểm của mỗi trẻ mà trẻ sẽ có các triệu chứng khác nhau. Tuy nhiên, nhìn chung trẻ sẽ có các biểu hiện chung như:
– Lợi của trẻ sưng phồng và dễ chảy máu khi đánh răng.
– Lung lay răng.
– Hơi thở có mùi khó chịu.
– Lợi thâm, không hồng hào.
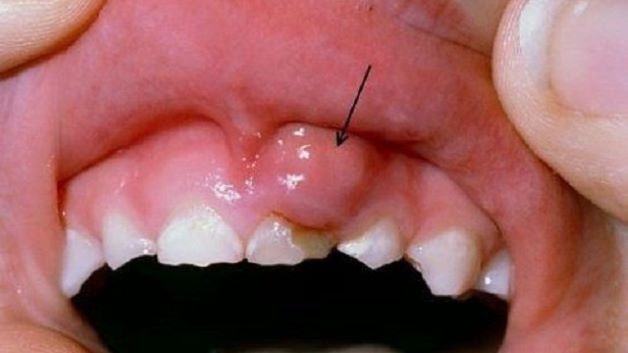
– Nướu xuất hiện các mảng hoặc đốm trắng bất thường.
– Lợi bị tụt khiến chân răng của trẻ lộ ra ngoài.
– Bên trong má và nướu răng lở loét.

Hơi thở có mùi khó chịu là triệu chứng của viêm lợi
3. Bệnh viêm lợi trẻ em phát triển như thế nào?
Viêm lợi ở trẻ em thường phát triển thành 2 giai đoạn chính:
3.1 Giai đoạn đầu của viêm lợi trẻ em
Ở giai đoạn này, lợi của trẻ sẽ bị sưng đỏ và dễ chảy máu nhất là khi trẻ đánh răng. Giai đoạn này nếu trẻ được phát hiện và điều trị sớm thì bệnh rất nhanh khỏi.
3.2 Giai đoạn hai của viêm lợi trẻ em
Đây là giai đoạn lợi bị viêm. Thức ăn tích tụ vào khe răng và chân răng không được vệ sinh sạch sẽ và đúng cách hàng ngày là nguyên nhân gây ra nhiễm trùng.
Lợi bị viêm sẽ sưng đỏ, gây chảy máu, đau nhức, sưng má, miệng có mùi khó chịu. Bên cạnh đó, thức ăn nhét vào kẽ còn gây ra biến chứng nguy hiểm khác như: sâu răng, viêm tủy, viêm quanh cuống răng…
Viêm lợi ở trẻ còn khiến ảnh hưởng đến chất lượng của men răng, khiến cho răng của trẻ có màu ngà, vàng ố. Việc lợi bị chảy máu, miệng có mùi còn khiến trẻ bị giảm đề kháng và thiếu hụt vitamin C ở lợi.
4. Bệnh viêm lợi ở trẻ điều trị như thế nào?
Khi trẻ có những dấu hiệu và triệu chứng của bệnh viêm lợi, cha mẹ không nên chủ quan và tự ý mua thuốc và điều trị tại nhà cho trẻ, chỉ nên điều trị khi có sự hướng dẫn và chỉ định của bác sĩ. Dưới đây là các phương pháp điều trị viêm lợi ở trẻ:
4.1 Giúp trẻ loại bỏ mảng bám và cao răng
Bạn có thể đưa ra đến bệnh viện hoặc các phòng khám Nha khoa để trẻ được lấy khám và lấy cao răng. Sau khi làm sạch, bác sĩ Nha khoa sẽ hướng dẫn trẻ cách chải răng và sử dụng chỉ nha khoa để vệ sinh răng hàng ngày và tránh các mảng bám ở chân răng.
4.2 Điều trị bằng thuốc kháng sinh
Nếu những triệu chứng của viêm lợi trở nên nặng, trẻ sẽ được bác sĩ chỉ định dùng thuốc kháng sinh để điều trị. Ngoài ra, trẻ cũng được chỉ định sử dụng thêm nước súc miệng hoặc nước muối loãng để vệ sinh răng hàng ngày.
Nếu các triệu chứng viêm lợi ở trẻ trở nên nặng, trẻ nên được điều trị bằng bằng thuốc kháng sinh, tuy nhiên phải theo sự chỉ định của bác sĩ. Ngoài ra, trẻ cũng có thể sử dụng thuốc súc miệng hoặc nước muối loãng để vệ sinh răng miệng hằng ngày.
4.3 Điều trị viêm lợi bằng phương pháp phẫu thuật
Nếu tình trạng bệnh trở nên nặng nề và chuyển sang viêm nha chu, bác sĩ sẽ có thể chỉ định phẫu thuật để làm sạch cao răng hình thành sâu bên trong túi nha chu. Lúc này bác sĩ sẽ tiến hành bóc tách phần lợi để loại bỏ cao răng.
4.4 Điều trị viêm lợi ở trẻ bằng phương pháp ghép nướu
Mô nướu bị tổn thương nghiêm trọng và không thể điều trị dứt điểm, bác sĩ sẽ thực hiện ghép nướu bằng cách: lấy một mô nướu khỏe mạnh từ phần khác và đắp vào phần mô nướu bị hỏng. Phương pháp này sẽ giúp trẻ có nụ cười đẹp, tránh cảm giác ê buốt khi ăn và ngăn ngừa được các biến chứng nguy hiểm như phá hủy mô nướu, phá hủy xương…

Bạn có thể đưa ra đến bệnh viện hoặc các phòng khám Nha khoa để trẻ được lấy khám và lấy cao răng.
5. Những phương pháp phòng ngừa viêm lợi trẻ em hiệu quả, an toàn
Dưới đây là các biện pháp đơn giản và hiệu quả mà cha mẹ có thể lưu ý để ngăn ngừa tình trạng viêm lợi ở trẻ:
– Cho trẻ đánh răng 2 lần mỗi ngày (sau khi ngủ dậy và trước khi đi ngủ).
– Hỗ trợ trẻ dùng chỉ nha khoa và lấy thức ăn thừa ở kẽ răng cho trẻ.
– Cho trẻ dùng bàn chải đánh răng có sợi lông mềm và thay 2-3 tháng/lần.
– Lựa chọn kem đánh răng có chứa fluor và các chất tốt cho răng, lợi của trẻ.
– Hạn chế cho trẻ ăn vặt đặc biệt là đồ ngọt, sữa và buổi tối trước khi đi ngủ.
– Cha mẹ cần đưa trẻ đi khám Nha khoa định kỳ ít nhất 1 năm 2 lần.

Cha mẹ cần đưa trẻ đi khám Nha khoa định kỳ ít nhất 1 năm 2 lần.
Trẻ em ở giai đoạn từ 6 đến 3 tuổi rất dễ gặp phải các vấn đề về răng miệng đặc biệt là viêm lợi. Do đó, cha mẹ cần đặc biệt chú ý đến việc chăm sóc răng miệng của trẻ cũng như nắm rõ được các phương pháp phòng tránh và điều trị bệnh một cách hiệu quả. Khi nhận thấy trẻ có dấu hiệu của bệnh, cha mẹ cần đưa trẻ đến bệnh viện hoặc phòng khám Nha khoa để được bác sĩ thăm khám, tư vấn và điều trị kịp thời.