Bệnh xương thủy tinh – Bắt nguồn từ đâu
Liệu bạn đã biết hết về bệnh xương thủy tinh – căn bệnh di truyền hiếm gặp ảnh hưởng nguy hiểm đến xương của con. Bài viết này sẽ bật mí nguyên nhân, dấu hiệu và những phương pháp y học hiện đại giúp bảo vệ sức khỏe con bạn.
Hiểu đúng về bệnh xương thủy tinh
Bệnh xương thủy tinh hay còn gọi là tạo xương bất toàn là một trong những bệnh bất thường gen COL1A1, COL1A2 – nguyên nhân chính làm giảm hoặc làm sai lệch cấu trúc collagen trong cơ thể. Điều này dẫn đến tình trạng xương trở nên giòn, yếu và dễ gãy dù chỉ chịu lực nhẹ hoặc các va chạm nhỏ.
Bệnh xương thủy tinh thuộc nhóm 25 bệnh di truyền do một gen trội phổ biến nhưng hiện vẫn chưa có phương pháp sàng lọc hiệu quả trước khi sinh. Phần lớn các trường hợp thai nhi mắc bệnh này do các đột biến gen mới xuất hiện ngẫu nhiên (gọi là đột biến de novo), không phải do di truyền từ cha mẹ.

Nguyên nhân gây bệnh – Đột biến gen COL1A1, COL1A2
Bệnh xương thủy tinh là một bệnh di truyền hiếm gặp, xảy ra với tỷ lệ khoảng 1 trên 20.000 người, ảnh hưởng đến cả nam và nữ. Nguyên nhân chính của bệnh là do các đột biến ở gen COL1A1 và COL1A2 – hai gen quan trọng chịu trách nhiệm tạo ra collagen type 1, một loại protein thiết yếu giúp xương chắc khỏe và linh hoạt.
Bệnh phát sinh theo kiểu di truyền đơn gen trội trên nhiễm sắc thể thường hoặc có thể xuất hiện do đột biến mới (gọi là de novo) trong quá trình phát triển bào thai, không phải lúc nào cũng di truyền trực tiếp từ cha mẹ. Điều này có nghĩa, trẻ có thể mắc bệnh khi thừa hưởng gen lỗi từ bố hoặc mẹ với tỷ lệ 50%, hoặc do đột biến mới phát sinh ngẫu nhiên ngay trong quá trình thụ thai. Nghiên cứu cũng cho thấy, nguy cơ đột biến mới và sinh con mắc bệnh tăng cao khi người bố ở độ tuổi trên 40.
Ở những thể bệnh nặng hơn (loại 2 hoặc 3), thường do các đột biến mới gây ra, trẻ có nguy cơ tiến triển nhanh, sức khỏe suy giảm nghiêm trọng và tỷ lệ tử vong cao. Chính vì vậy, bệnh xương thủy tinh là một thách thức lớn, ảnh hưởng sâu sắc đến sức khỏe và chất lượng cuộc sống của trẻ em mắc bệnh.

Biểu hiện nhận biết và các dạng bệnh xương thủy tinh
Triệu chứng đặc trưng
Triệu chứng đặc trưng của bệnh xương thủy tinh là xương yếu, dễ gãy và quá trình tạo xương không hoàn chỉnh. Ở mức nhẹ, trẻ có thể chỉ gãy một vài xương, trong khi trường hợp nặng có thể gãy hàng trăm xương, thậm chí từ ngay khi còn trong bào thai. Những va chạm nhẹ hoặc ngay cả không có tác động cũng có thể gây gãy xương.
Ngoài ra, trẻ thường có xương ngắn, khớp lỏng lẻo, cột sống cong vẹo và biến dạng xương ảnh hưởng đến hình dáng và khả năng vận động. Bệnh còn gây ra các biểu hiện ngoài xương như răng giòn dễ gãy, giảm thính lực và củng mạc mắt xanh do rối loạn sản xuất collagen, thành phần quan trọng cấu tạo nên xương, da, răng và các mô liên kết khác. Đây là những dấu hiệu chính giúp cha mẹ và bác sĩ nhận biết sớm bệnh để có hướng can thiệp kịp thời.

Các loại bệnh chính
Bệnh xương thủy tinh được chia thành 4 loại chính dựa trên tần suất và mức độ nghiêm trọng của các tình trạng xương gãy, với các dấu hiệu đặc trưng như sau:
Loại I (nhẹ nhất và phổ biến nhất):
- Giai đoạn trước dậy thì là thời kỳ dễ xảy ra gãy xương
- Cột sống có thể bị cong nhẹ, có thể chèn ép đốt sống khi lớn tuổi
- Tình trạng biến dạng xương nhẹ hoặc hoàn toàn không có
- Dáng vóc gần như bình thường hoặc thay đổi rất ít
- Răng yếu và thay đổi màu sắc
- Lòng trắng mắt (củng mạc) có màu xanh lam, tím hoặc xám nhẹ
Loại II (nặng, tử vong cao):
- Trẻ tử vong ngay sau khi sinh.
- Xương thai nhi có thể bị gãy ngay trong bụng mẹ
- Tình trạng xương biến dạng rõ rệt và nghiêm trọng
- Tầm vóc rất nhỏ
- Phổi phát triển kém
- Củng mạc mắt có màu tím, xám hoặc xanh lam
Loại III (tương đối nặng):
- Xương biến dạng và gãy ngay từ khi sinh ra
- Củng mạc mắt có thể trắng, xám hoặc xanh
- Giảm chức năng hô hấp
- Giảm thính lực
- Bất thường về răng
Loại IV (trung gian):
- Biến dạng xương từ nhẹ đến trung bình
- Tình trạng giảm mật độ xương so với bình thường
- Gãy xương nặng có thể phát hiện qua siêu âm trước sinh (thể nhẹ khó phát hiện)

Sàng lọc và chẩn đoán bệnh xương thủy tinh
Phương pháp hình ảnh
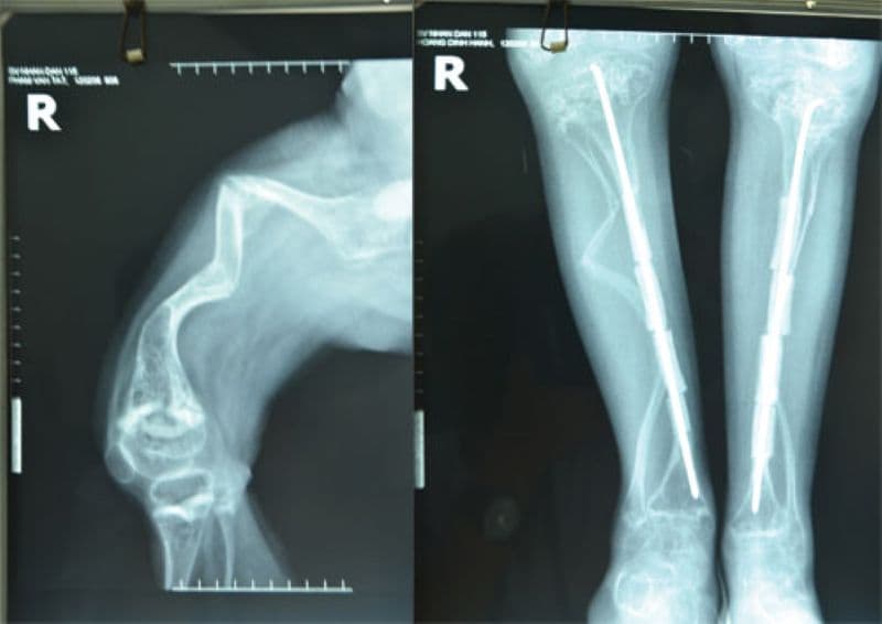
Chụp X-quang giúp bác sĩ quan sát xương gãy, biến dạng. Ở thai nhi, siêu âm thai giúp phát hiện sớm dấu hiệu gãy xương và bất thường cấu trúc. Đây là những công cụ quan trọng để đánh giá mức độ bệnh.
Xét nghiệm di truyền
Xét nghiệm di truyền giúp phát hiện đột biến gen gây bệnh xương thủy tinh, chủ yếu ở gen COL1A1 và COL1A2. Việc biết được chính xác đột biến gen sẽ giúp gia đình có định hướng chăm sóc, điều trị phù hợp và chuẩn bị tâm lý tốt hơn. Đồng thời, xét nghiệm di truyền còn hỗ trợ trong việc dự đoán nguy cơ tái phát bệnh nếu có kế hoạch sinh con.

Sàng lọc trước sinh và tầm quan trọng
Hiện nay, với sự phát triển của y học hiện đại, xét nghiệm NIPT Procare có thể lọc sớm bệnh xương thủy tinh từ tuần thứ 9-10 thai kỳ không xâm lấn và an toàn cho mẹ bầu.
Phương pháp này nhận được sự đánh giá cao về độ chính xác, dễ thực hiện với chỉ một lần lấy máu duy nhất, giúp bố mẹ phát hiện sớm nguy cơ và có phương án can thiệp hiệu quả cho thai kỳ hoặc chăm sóc tốt hơn cho trẻ sau sinh. Đặc biệt, NIPT Procare rất phù hợp cho các thai phụ có nguy cơ cao như chồng trên 40 tuổi, tiền sử gia đình có bệnh lý di truyền hoặc những trường hợp siêu âm thấy bất thường nhưng ngại làm các xét nghiệm xâm lấn.

Điều trị và quản lý bệnh
- Phẫu thuật chỉnh hình và vật lý trị liệu
Đối với những trường hợp bệnh nặng, phẫu thuật chỉnh hình giúp sửa các biến dạng và cố định xương gãy, thường dùng thanh kim loại để nâng đỡ khung xương, giúp bé vận động dễ dàng hơn và hạn chế xương lệch. Song song đó, vật lý trị liệu và phục hồi chức năng rất quan trọng để tăng cường cơ bắp, cải thiện vận động và giữ sự linh hoạt. Dụng cụ hỗ trợ như xe lăn, nạng cũng giúp bé di chuyển thuận tiện hơn.
- Chăm sóc sức khỏe tâm lý cho người bệnh
Bệnh xương thủy tinh không chỉ ảnh hưởng thể chất mà còn tạo áp lực tâm lý lớn cho bé và gia đình. Duy trì lối sống lành mạnh, dinh dưỡng hợp lý, cân nặng phù hợp và khuyến khích vận động nhẹ nhàng sẽ giúp bé có tinh thần tốt và phát triển toàn diện hơn.
Trong hành trình làm mẹ, nỗi lo về sức khỏe và sự phát triển của con luôn là điều cha mẹ quan tâm đặc biệt, nhất là với những căn bệnh di truyền phức tạp như bệnh xương thủy tinh. Hãy liên hệ 1900 55 88 92 để được tư vấn và đặt lịch khám tại Hệ thống y tế Thu Cúc ngay hôm nay.
















