Hàn răng ở đâu an toàn, hiệu quả và những lưu ý
Hàn răng là thủ thuật nha khoa rất phổ biến trong điều trị. Phương pháp này có thể áp dụng trong nhiều trường hợp với mục đích chung cơ bản là lấp đầy những phần răng bị tổn thương. Vậy cụ thể thao tác thực hiện hàn răng là thế nào? Hàn răng ở đâu có quan trọng không? Và ta cần lưu ý gì khi hàn răng?
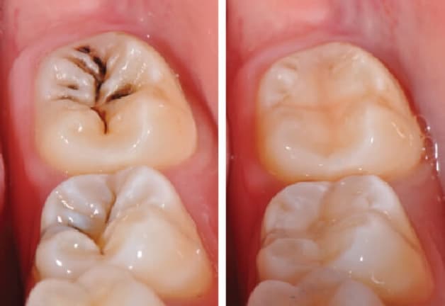
1. Thế nào là thực hiện hàn răng?
Hàn răng giúp các khoảng trống ở bên trong răng do bệnh lý hay tác động ngoại lực
Hàn răng hay còn gọi là phương pháp trám răng. Đây là thủ thuật nha khoa áp dụng kỹ thuật chuyên sử dụng những vật liệu chuyên dụng. Chúng được đắp vào các khoảng trống ở bên trong răng. Những vật liệu này có thể lấp đầy mô răng đã khuyết do những tổn thương, bệnh lý gây nên.
Việc thực hiện hàn răng sẽ giúp răng được tái tạo cả về hình dáng, kích thước như răng ban đầu. Với kỹ thuật này, răng cũng có thể khôi phục, bảo toàn được chức năng ăn nhai. Ngoài ra, hàn răng không cần phải mài bớt cùi răng thật hay chụp răng. Do đó, thao tác này không gây xâm lấn hay có tác động xấu tới cấu trúc của răng.
Áp dụng cho kỹ thuật hàn răng có khá nhiều loại vật liệu chuyên dụng. Điển hình như GIC, sứ, kim loại, composite,… Tùy theo điều kiện, nhu cầu của mỗi người, bác sĩ sẽ chỉ định sử dụng loại vật liệu phù hợp.
2. Những trường hợp cần hàn trám răng điều trị
Hàn răng có thể áp dụng điều trị trong nhiều trường hợp. Cụ thể:
– Sâu răng: Răng bị sâu sẽ xuất hiện những lỗ sâu do vi khuẩn đục khoét tạo thành. Chúng có thể phá hủy tủy răng và làm cho những răng khác cũng bị lây lan. Để có thể hạn chế tình trạng này, bác sĩ sẽ làm sạch hốc răng rồi hàn trám phục hồi.
– Mòn răng: Với những thói quen như dùng bàn chải đánh răng đầu lông quá cứng, đánh răng quá mạnh dễ khiến men răng bị mòn từ từ. Từ đó, một lớp ngà răng sẽ bị lộ ra. Lúc này, hàn răng sẽ giúp răng phục hồi tạm thời, tránh ê buốt trong quá trình ăn uống. Sau đó tùy theo tình trạng, bác sĩ sẽ chỉ định điều trị phù hợp.
– Chấn thương răng: Răng bị sứt, vỡ, gãy sẽ không còn được cứng chắc như trước. Khi đó, hàn trám sẽ giúp khắc phục tình trạng. Chức năng ăn nhai và hình dáng của răng bị tổn thương cũng sẽ được phục hồi.
– Các vấn đề về thẩm mỹ răng: Ở trong một số trường hợp, răng bị khiếm khuyết bẩm sinh. Thường gặp nhất là các tình trạng như bị thưa răng, nhiễm màu, ố vàng, … Khi đó, hàn răng sẽ là lựa chọn thích hợp để thực hiện phục hình thẩm mỹ.
3. Tầm quan trọng của việc lựa chọn địa chỉ nha khoa hàn răng
3.1 Hàn răng ở đâu và sự khác biệt
Việc lựa chọn xe hàn răng ở đâu phù hợp khá quan trọng. Điều này sẽ tác động trực tiếp tới hiệu quả thực hiện và an toàn của ta. Với những nha khoa uy tín, khi thực hiện hàn răng sẽ đem tới nhiều ưu điểm:
– Độ an toàn: Mỗi một quy trình điều trị hay thực hiện làm thẩm mỹ đều cần đề cao sự cẩn trọng, hạn chế tổn thương. Điều này để phòng tránh những vấn đề về biến chứng, lây nhiễm chéo, …
– Độ hiệu quả: Cùng với sự hỗ trợ của những kỹ thuật, công nghệ hiện đại và đội ngũ bác sĩ giỏi, giàu kinh nghiệm, các nha khoa uy tín sẽ đem lại hiệu quả thực hiện tốt. Quá trình điều trị có thể rút ngắn hơn về thời gian, đẩy nhanh tốc độ lành thương. Đồng thời, những tổn thương có thể gây ra cũng được hạn chế. Đối với hiệu quả về thẩm mỹ, hàm răng sẽ được phục hình với diện mạo ưng ý, duy trì lâu dài.
– Sự thoải mái và an tâm: Những nha khoa uy tín sẽ luôn thực hiện tư vấn, hướng dẫn cụ thể trước khi thực hiện. Từ đó, mỗi người thực hiện điều trị tại đó đều có thể yên tâm, không lo lắng. Tâm lý khách hàng luôn được vững suốt quá trình thực hiện.
3.2 Tiêu chí lựa chọn hàn răng ở đâu phù hợp
Vật liệu sử dụng hàn răng cần đảm bảo an toàn, chính hãng
Chăm sóc và điều trị răng miệng là nhu cầu cơ bản của con người. Để có thể đảm bảo về yếu tố hiệu quả, an toàn cho nhu cầu này, ta cần lưu ý lựa chọn nha khoa phù hợp theo những tiêu chí sau:
– Đội ngũ bác sĩ có chuyên môn giỏi, nhiều năm kinh nghiệm: Với điều này, bác sĩ có thể chẩn đoán đúng tình trạng hiện tại và chỉ định phương pháp thực hiện phù hợp.
– Vật liệu và dụng cụ sử dụng đảm bảo an toàn, chính hãng: Những vật liệu chuyên dụng hay dụng cụ điều trị cần đảm bảo về độ chất lượng, ứng dụng công nghệ cao. Từ đó, các thao tác thực hiện hàn răng sẽ đảm bảo về độ an toàn, chính xác tốt hơn.
– Đảm bảo quy định vô trùng của Bộ Y tế: Điều này để tránh trường hợp bị lây nhiễm chéo cho khách hàng. Cụ thể, mỗi khách hàng nên được điều trị tại một phòng riêng, sử dụng một bộ dụng cụ riêng. Đồng thời, phòng thanh trùng cần được đảm bảo để hấp dụng cụ, khử khuẩn.
– Trang thiết bị máy móc tiên tiến, hiện đại: Với tiêu chí này, bác sĩ sẽ được hỗ trợ tốt hơn trong việc thực hiện hàn răng. Từ đó, hiệu quả của việc điều trị tốt hơn.
4. Lưu ý sau khi thực hiện phương pháp hàn trám răng
Sau khi hàn răng, ta cần chăm sóc răng theo hướng dẫn của bác sĩ và tái khám đúng hẹn
Sau khi hàn răng, ta cần thực hiện theo 6 lưu ý sau để quá trình phục hồi tốt, miếng trám đảm bảo đẹp và bền:
– Khi ăn uống: Sau khi hàn trám, ta cần kiêng ăn uống trong khoảng 2 giờ. Điều này là bởi thời gian này, miếng trám cần được ổn định, cứng lại. Trên thực tế, với công nghệ đèn quang trùng hợp Halosen hay Laser thì không cần thiết kiêng. Thế nhưng tốt hơn hết, ta vẫn nên giữ khoảng 30-40 phút để miếng trám có thể ổn định hoàn toàn.
– Khi hoạt động: Khi vừa mới thực hiện hàn răng xong, ta cần tránh va chạm hay dùng lực tác động mạnh. Việc này dễ khiến miếng trám bị lệch.
– Theo dõi tình trạng: Mới trám răng xong, nếu như ta phát hiện bất thường như đau nhức, miếng trám bị cộm, sưng,… cần báo với bác sĩ ngay để xử lý kịp thời.
– Vệ sinh răng miệng: Ta cần đảm bảo làm sạch răng miệng bằng cách đánh răng đều đặn. Ngoài ra, ta cần lấy sạch mảng bảo để tránh thức ăn bị giắt vào kẽ răng cùng miếng trám, gây tổn hại.
– Thăm khám nha khoa định kì: Một lưu ý không kém phần quan trọng là sau khi hàn răng, ta cần tuân thủ theo hướng dẫn khoa bác sĩ và tái khám đúng hẹn. Sau đó, việc thăm khám định kỳ cũng nên được duy trì để bảo vệ sức khỏe răng miệng.
Trên đây là những giải đáp cho thắc mắc về hàn răng ở đâu có quan trọng không và lưu ý. Qua đây, mong rằng mọi người đã có những kiến thức chăm sóc răng miệng phù hợp cho bản thân.


















