Cấp cứu:0901793122
English
Bệnh Viện Đa Khoa Quốc Tế Thu Cúc | TCI Hospital
Chăm sóc sức khoẻ trọn đời cho bạn
Tổng đài1900558892
Răng hàm mặt

Răng hàm mặt

Trang chủ/Sống khỏe/Răng hàm mặt
Chuyên gia bật mí lý do nên phục hình răng ngay sau khi mất

Chuyên gia bật mí lý do nên phục hình răng ngay sau khi mất

Nhiều người vì các lý do chủ quan và khách quan thường không quan tâm khi bị mất 1,2 chiếc răng, tuy nhiên theo các bác sĩ nha khoa, bạn nên nhanh chóng phục hình răng ngay sau khi răng mất để tránh nhiều nguy cơ có thể xảy ra. Mất răng: Tưởng chuyện nhỏ, […]
Viêm lợi trùm là gì?người đang mọc răng khôn

Viêm lợi trùm là gì?người đang mọc răng khôn

Viêm lợi trùm là bệnh lý răng miệng thường xuất hiện ở người đang mọc răng khôn. Bệnh gây đau, ảnh hưởng đến sinh hoạt của người bệnh. Nếu không được điều trị kịp thời có thể xảy ra biến chứng nguy hiểm. Viêm lợi trùm là gì? Viêm lợi trùm là tình trạng phần […]
Nguyên nhân nào dẫn đến viêm lợi?

Nguyên nhân nào dẫn đến viêm lợi?

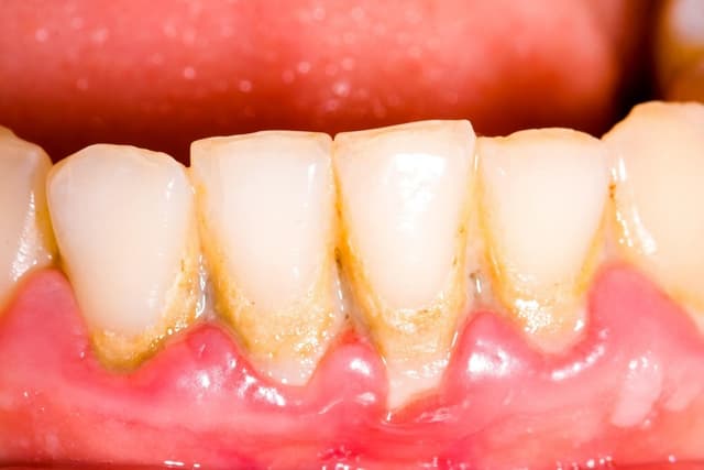
Viêm lợi là một trong những bệnh lý răng miệng phổ biến, có thể xảy ra ở mọi đối tượng, mọi lứa tuổi. Mặc dù đây không phải là bệnh lý nguy hiểm nhưng lại là khởi nguồn của nhiều bệnh lý khác. Dưới đây là những nguyên nhân dẫn đến viêm lợi. Viêm lợi […]
Bệnh viêm nha chu là gì? Dấu hiệu của bệnh ra sao?

Bệnh viêm nha chu là gì? Dấu hiệu của bệnh ra sao?

Bệnh viêm nha chu là bệnh lý về răng miệng phổ biến. Đây cũng là nguyên nhân chính gây ra tình trạng mất răng hàng loạt. Vậy bệnh nha chu là gì? Dấu hiệu của bệnh ra sao? Bạn có thể tham khảo những thông tin dưới đây: 1. Nha chu là gì? Nha chu […]
Chảy máu chân răng cảnh báo bệnh gì?

Chảy máu chân răng cảnh báo bệnh gì?

Nếu chỉ cần một tác động nhỏ như chải răng thậm chí ấn nhẹ vào lợi cũng khiến bạn bị chảy máu chân răng thì có nghĩa là răng lợi của bạn đang phát tín hiệu mắc bệnh. Khi thường xuyên chảy máu chân răng bạn hãy đi kiểm tra và điều trị kịp thời […]
Liệu trình chăm sóc răng miệng tiêu chuẩn Nhật Bản

Liệu trình chăm sóc răng miệng tiêu chuẩn Nhật Bản

Vi khuẩn, chất nhầy, vụn thức ăn tích tụ trong nướu sẽ gây viêm, nhiễm trùng từ đó khiến hàm răng của bạn không được khỏe mạnh, làm bạn thiếu tự tin trong giao tiếp. Liệu trình chăm sóc răng miệng tiêu chuẩn Nhật Bản tại Bệnh viện Đa khoa Quốc tế Thu Cúc giúp […]
Điều trị các bệnh lý nha khoa bằng Laser

Điều trị các bệnh lý nha khoa bằng Laser

Sở hữu nhiều ưu điểm hơn so với các phương pháp truyền thống, điều trị các bệnh lý bằng Laser là một trong những phương pháp được sử dụng phổ biến trong điều trị nha khoa. Thủ thuật này gây ít tổn thương, rút ngắn thời gian, giảm thiểu nhiễm trùng do vi khuẩn,… nên […]
Bệnh nướu răng và cách chăm sóc răng miệng

Bệnh nướu răng và cách chăm sóc răng miệng

Bệnh nướu răng là bệnh lý răng miệng phổ biến ở nhiều người, có thể xảy ra ở mọi lứa tuổi, mức độ từ nặng tới nhẹ. Viêm nướu răng sẽ không gây nguy hiểm nếu được phát hiện và điều trị sớm ngay từ những giai đoạn đầu của bệnh. Ngược lại, nếu để […]
Nguyên nhân gây sâu răng và cách phòng tránh

Nguyên nhân gây sâu răng và cách phòng tránh

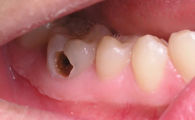
Sâu răng là bệnh lý phổ biến, có thể gặp ở mọi lứa tuổi. Ngoài việc gây đau nhức và những biến chứng như viêm tủy, viêm quanh chân răng, sâu răng còn làm hơi thở hôi, có mùi, gây cản trở quá trình giao tiếp. Vậy đâu là nguyên nhân sâu răng và cách […]
Chảy máu chân răng có nguy hiểm không?

Chảy máu chân răng có nguy hiểm không?

Nhiều bệnh lý gây nên hiện tượng chảy máu chân răng. Vậy chảy máu chân răng có nguy hiểm không và cần phải làm gì để đối phó với triệu chứng này? Bạn đọc hãy theo dõi bài viết dưới đây để có được những thông tin cụ thể nhé. Chảy máu chân răng có […]
Điều trị nấm lưỡi hiệu quả bằng cách nào?

Điều trị nấm lưỡi hiệu quả bằng cách nào?

Bệnh nấm lưỡi thường xuất hiện ở nhiều đối tượng, đặc biệt là trẻ nhỏ. Tác nhân chính gây bệnh là do nấm Candida và không dễ để điều trị nấm lưỡi, yêu cầu người bệnh cần phải kiên trì. Vậy phải đâu là biện pháp chữa trị phù hợp? Mọi người có thể tham khảo […]
Top 7 các bệnh về lưỡi thường gặp bạn chớ coi thường

Top 7 các bệnh về lưỡi thường gặp bạn chớ coi thường

Chú ý đến vẻ ngoài của lưỡi có thể giúp bạn phát hiện những bất thường về sức khỏe trong miệng, thậm chí là những cơ quan khác trong cơ thể, từ đó có những biện pháp điều trị bệnh kịp thời. Dưới đây là top 7 các bệnh về lưỡi thường gặp bạn đừng […]
Nguyên nhân chảy máu chân răng thường là liên quan tới răng miệng

Nguyên nhân chảy máu chân răng thường là liên quan tới răng miệng

Có nhiều nguyên nhân chảy máu chân răng khác nhau, thường là liên quan tới răng miệng. Tuy nhiên cũng có thể đây là dấu hiệu của những vấn đề sức khỏe khác. Do đó tốt nhất người bệnh nên tới bệnh viện để kiểm tra, xác định nguyên nhân chính xác và có cách […]
Nguyên nhân và biến chứng của bệnh viêm lợi

Nguyên nhân và biến chứng của bệnh viêm lợi

Lợi có nhiệm vụ bảo vệ, che chở và giữ cho chân răng được chắc chắn. Nếu như bị sưng đỏ, dễ chảy máu, đặc biệt là khi chải răng, tổ chức chân răng lỏng, dễ chảy máu, kèm hôi miệng,.. rất có thể bạn đang bị bệnh viêm lợi. Nếu như bị sưng đỏ, […]
Những loại trái cây tuyệt vời cho sức khỏe răng miệng

Những loại trái cây tuyệt vời cho sức khỏe răng miệng

Rau và trái cây rất tốt cho sức khỏe răng miệng vì thế đây là thành phần không thể thiếu trong chế độ ăn uống hàng ngày. Các loại vitamin, khoáng chất và chất chống oxy hoá trong loại thực phẩm này có khả năng bảo vệ răng, lợi. Vi khuẩn trong miệng có thể […]
6 cách đơn giản “đánh bay” chứng ê buốt răng

6 cách đơn giản “đánh bay” chứng ê buốt răng

Ê buốt răng là tình trạng nhiều người gặp phải. Người bệnh có thể gặp khi ăn thức ăn nóng hay lạnh, đồ ăn chua,… Nguyên nhân là do men bảo vệ bên ngoài mặt nhai răng hoặc men chân răng bị mòn đi. Điều đó cho thấy ngà răng bị lộ ra, đây là […]
1900558892
zaloChat