Cấp cứu:0901793122
English
Bệnh Viện Đa Khoa Quốc Tế Thu Cúc | TCI Hospital
Chăm sóc sức khoẻ trọn đời cho bạn
Tổng đài1900558892
Răng hàm mặt

Răng hàm mặt

Trang chủ/Sống khỏe/Răng hàm mặt
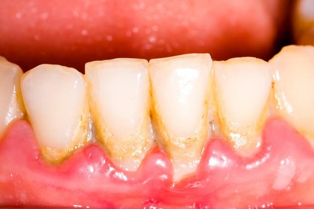
Chuyên gia tư vấn: Bệnh viêm lợi và cách chữa trị

Chuyên gia tư vấn: Bệnh viêm lợi và cách chữa trị

Bệnh viêm lợi rất nhiều người mắc phải. Dù không gây nguy hiểm cấp tính nhưng nó khiến cho người bệnh có cảm giác khó chịu, mất tự tin trong giao tiếp. Bài viết này sẽ cùng đề cập đến bệnh viêm lợi và cách chữa trị. Nguyên nhân gây bệnh viêm lợi là do […]
Nha sĩ tư giải đáp: Răng bị hô vẩu, niềng răng hay bọc sứ?

Nha sĩ tư giải đáp: Răng bị hô vẩu, niềng răng hay bọc sứ?

Khi bị hô vẩu răng, niềng răng hay bọc sứ răng cho hiệu quả tốt? Đây là thắc mắc của rất nhiều người đang gặp phải các vấn đề về hô vẩu răng… Niềng răng là phương pháp chỉnh nha hiện đại giúp khắc phục các vấn đề răng hô vẩu, răng mọc lệch lạc, […]
Hôi miệng và cách chữa đơn giản, nhanh chóng, hiệu quả

Hôi miệng và cách chữa đơn giản, nhanh chóng, hiệu quả

Có nhiều nguyên nhân khác nhau gây hôi miệng, trong đó hôi miệng do sâu răng, các bệnh về nướu răng là hai nguyên nhân thường gặp nhất. Bên cạnh đó, hôi miệng còn có thể do những biến chứng bệnh nguy hiểm khác như: Tiểu đường, thận… Hôi miệng và cách chữa nhanh chóng […]
Niềng răng cho người lớn là gì? Nên thực hiện tại đâu?

Niềng răng cho người lớn là gì? Nên thực hiện tại đâu?

Niềng răng là phương pháp chỉnh nha hiện đại giúp sắp xếp lại vị trí của các răng trên cung hàm khiến hàm răng đều đẹp như mong muốn. Bất cứ ai có nhu cầu nắn chỉnh răng cũng có thể tiến hành niềng răng. Tuy nhiên, niềng răng cho người lớn thời gian đeo […]
Đau răng khôn là gì? Cách xử trí khi đau răng khôn?

Đau răng khôn là gì? Cách xử trí khi đau răng khôn?

Răng khôn mọc thường gây đau nhức khó chịu. Vậy đau răng khôn là gì? Răng khôn hay còn gọi là răng hàm số 8, răng hàm lớn thứ 3 là chiếc răng hàm cuối cùng mọc ở vị trí trong cùng của cung hàm ở người trưởng thành. Độ tuổi mọc răng khôn thường […]
Niềng răng khểnh mất bao lâu? Nên thực hiện ở đâu?

Niềng răng khểnh mất bao lâu? Nên thực hiện ở đâu?

Việc những chiếc răng khểnh mọc không đúng vị trí sẽ khiến nụ cười của bạn trở nên xấu xí, mất tự tin trong giao tiếp. Niềng răng khểnh là giải pháp giúp bạn lấy lại vẻ đẹp thẩm mỹ cho hàm răng của mình. Vậy, niềng răng khểnh mất bao lâu? Răng khểnh mọc […]
Đau răng bị sưng má cần điều trị như thế nào?

Đau răng bị sưng má cần điều trị như thế nào?

Chào bác sĩ! Em là Nguyễn Thu Thủy, năm nay 24 tuổi, ở Sóc Sơn – Hà Nội. Em đau răng bị sưng má đã 5 ngày nay không đỡ. Nguyên nhân là do sâu răng hàm. Em đã đi khám răng và được bác sĩ kê đơn thuốc. Tuy nhiên, uống thuốc em không […]
Vì sao nhiều người chọn niềng răng ở Bệnh viện Thu Cúc?

Vì sao nhiều người chọn niềng răng ở Bệnh viện Thu Cúc?

Một hàm răng đều đẹp sẽ khiến nụ cười của bạn thêm phần rạng ngời và tự tin hơn trong cuộc sống cũng như  giao tiếp. Tuy nhiên, không phải ai cũng may mắn có được điều đó. Rất nhiều người gặp phải các vấn đề về răng như: Hàm răng hô vẩu, răng móm, […]
Tìm hiểu chi tiết cách làm răng giả tháo lắp

Tìm hiểu chi tiết cách làm răng giả tháo lắp

Chào bác sĩ! Tôi năm nay 45 tuổi, mới bị mất 5 chiếc răng hàm dưới do tai nạn giao thông. Tôi muốn đi làm răng giả nhưng điều kiện kinh tế của tôi không được dư giả cho lắm. Tôi nghe nói, làm răng giả tháo lắp giá thành rẻ hơn các phương pháp […]
Bệnh viện Thu Cúc – Địa chỉ khám răng uy tín ở Hà Nội

Bệnh viện Thu Cúc – Địa chỉ khám răng uy tín ở Hà Nội

Với đội ngũ bác sĩ nha khoa giỏi, giàu kinh nghiệm, trang thiết bị y khoa hiện đại, điều kiện cơ sở vật chất xứng tầm một khách sạn hạng sao, Khoa Răng hàm mặt, Bệnh viện Thu Cúc đã trở thành địa chỉ khám răng ở Hà Nội uy tín. Khoa Răng hàm mặt, […]
Khám răng hàm mặt uy tín tại Hà Nội

Khám răng hàm mặt uy tín tại Hà Nội

Khám răng hàm mặt uy tín và chất lượng ở đâu là câu hỏi nhiều người thắc mắc khi gặp các vấn đề về răng miệng. Đội ngũ bác sĩ nha khoa giàu kinh nghiệm. Hệ thống trang thiết bị hiện đại. Đa dạng dịch vụ khám, điều trị bệnh lý cũng như răng thẩm […]
Niềng răng hiệu quả như thế nào? Có đẹp không?

Niềng răng hiệu quả như thế nào? Có đẹp không?

Chào bác sĩ! Con tôi năm nay 14 tuổi. Cháu bị hô vẩu răng rất nặng. Răng hàm dưới của cháu cũng gặp vấn đề khi mọc chen chúc nhau, nhìn rất xấu. Đi học hay ra ngoài, cháu thường bị bạn bè cùng trang lứa trêu trọc, mọi người chỉ trỏ bình phẩm nên […]
Bệnh viện Thu Cúc – Cơ sở làm răng giả uy tín

Bệnh viện Thu Cúc – Cơ sở làm răng giả uy tín

Làm răng giả là nhu cầu của tất cả những ai không may mắn bị mất răng. Để răng giả đảm bảo được cả về chức năng nhai, tính thẩm mỹ và có tuổi thọ lâu dài, việc phục hình răng phải được tiến hành ở các  cơ sở làm răng giả uy tín. Khoa […]
Có nên làm răng giả nhựa không? Cần lưu ý gì khi làm?

Có nên làm răng giả nhựa không? Cần lưu ý gì khi làm?

Chào bác sĩ! Bố tôi năm nay 76 tuổi. Ông vẫn rất minh mẫn và có sức khỏe tốt, riêng chỉ có hàm răng là đã bị rụng mất vài chiếc. Do đó, việc ăn uống không thể tốt được như trước. Tôi đang muốn đưa ông đi làm răng giả nhựa để ăn uống […]
Đau răng khi mang thai phải làm thế nào?

Đau răng khi mang thai phải làm thế nào?

Chào bác sĩ! Tôi năm nay 27 tuổi, đang mang thái tháng thứ 3. Mấy ngày hôm nay, tôi bị đau buốt hai chiếc răng hàm hàm dưới. Các cơn đau buốt khiến tôi vô cùng khổ sở, không ăn, không ngủ được. Tôi đang mang thai tháng thứ 3 nên lại càng không dám […]
Điểm danh các nguyên nhân phổ biến gây đau buốt răng hàm

Điểm danh các nguyên nhân phổ biến gây đau buốt răng hàm

Đau buốt răng hàm là hiện tượng gặp ở nhiều người. Có nhiều nguyên nhân dẫn đến đau buốt răng hàm, trong đó có hai nguyên nhân phổ biến là sâu răng và mọc răng khôn. Đau răng hàm là hiện tượng thường gặp ở cả người lớn và trẻ em. Vấn đề đau răng […]
1900558892
zaloChat