Nang răng là gì, mổ nang răng có đau không?
Nang răng là bệnh lý răng miệng không hiếm gặp nhưng khó phát hiện và gây ra biến chứng nguy hiểm. Mổ nang răng là phương pháp điều trị đang được áp dụng hiện nay. Vậy mổ nang răng có đau không?
1. Sơ lược về nang răng
Hình ảnh nang răng
Nang răng bản chất là một dạng nang biểu mô của xương hàm, bao bọc một phần hoặc toàn bộ thân răng hoặc chân răng. Phần lớn các nang răng được phát triển từ một chiếc răng sâu hoặc một lý do nào đó gây viêm, nhiễm trùng chân răng hoặc thân răng. Khi một phần răng bị sâu hoặc hoại tử vì một nguyên nhân nào đó sẽ giải phóng độc tố ngược trở lại khiến tình trạng viêm càng nặng hơn. Các vùng viêm này tiếp tục kích thích quá trình hoại tử khiến biểu mô Malassez quanh dây chằng răng bị phát hủy tạo nên các nang răng. Các nang càng có kích thước lớn càng chèn ép xương răng và giải phóng độc tố gây tiêu răng mạnh hơn. Từ đó khiến xương bị mài mòn mỏng dần và dễ gãy rụng.
Nang răng thường phát triển âm thầm và không có triệu chứng điển hình nào. Người bệnh chỉ cảm thấy đau nhức khi nang phát triển quá to, sưng phòng và răng đau, có dấu hiệu lung lay. Nang răng hình thành phổ biến nhất là tại vị trí của răng cửa hàm trên. Ngoài ra, các nang răng này có thể hình thành ở bất kỳ vị trí nào khác thuộc hàm.
2. Triệu chứng của nang răng
Thông thường, nang răng rất khó nhận biết. Tuy nhiên, ở một số trường hợp, nang răng vẫn biểu hiện thông qua các triệu chứng như:
– Răng bị đổi màu nhẹ, chủ yếu quan sát rõ nhất vùng chân răng. Đây có thể coi là dấu hiệu cảnh báo sớm của nang răng.
– Khi bước sang giai đoạn nặng, xương hàm bị sưng tấy, gây ra tình trạng biến dạng mặt. Tuy nhiên nhiều người chủ quan bởi dấu hiệu này không đi kèm cảm giác đau nhức nên thường bỏ qua.
– Khi ấn hoặc sờ vào vùng sưng sẽ thấy cứng (với kích thước nang nhỏ) và cảm giác mềm, ấn lõm thì có nghĩa nang đã phát triển gia tăng kích thước.
– Gây nên hiện tượng lung lay các răng ở vị trí xung quanh.
– Ở trẻ có hiện tượng răng sữa không rụng mặc dù đã qua thời điểm thay răng.
Do các triệu chứng của nang răng không rõ ràng và dễ nhầm lẫn với các bệnh răng miệng khác nên khi nghi ngờ, bạn hãy chủ động thăm khám tại các cơ sở nha khoa uy tín. Một số triệu chứng cận lâm sàng có thể gặp:
– Nang răng gây phá hủy xương diện rộng và gây tình trạng xô lệch chân răng.
– Xương vùng nang răng bị phồng, có hiện tượng tiêu biến.
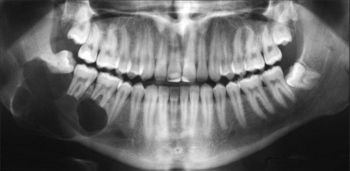
– Quan sát trên hình ảnh chụp XQuang thấy mất răng vĩnh viễn. Một số trường hợp khác nang răng liên quan trực tiếp tới các răng ngầm, răng khôn.
Hình ảnh chụp XQuang hàm có nang răng
3. Nang răng có gây nguy hiểm không?
Mặc dù biểu hiện ban đầu thường không rõ ràng và phần lớn mọi người ít biết đến sự tồn tại của nang răng nhưng đây lại là bệnh lý răng miệng được xếp hạng nguy hiểm bởi gây ra ảnh hưởng nghiêm trọng về sức khỏe.
– Nang răng phá hủy các tế bào mô quanh chóp răng. Dần dần, khi chóp răng tiêu biến, các tác nhân gây viêm sẽ tiến đến viêm sâu trong tủy chân răng, phá hủy chân răng âm thầm từ bên trong.
– Nang răng gây tiêu xương tại chỗ và là tác nhân gây tiêu xương răng lân cận. Nếu không điều trị kịp thời sẽ dẫn đến mất răng hàng loạt.
– Nang răng khiến chức năng vốn có của hàm bị cản trở. Khi xương hàm tiêu giảm, chức năng nhai bị ảnh hưởng, khuôn mặt bị biến dạng.
4. Điều trị nang răng
Chính bởi hậu quả gây ra bởi nang răng gây ra nhiều hậu quả nghiêm trọng, vì thế việc điều trị cần thực hiện càng sớm càng tốt. Phương pháp điều trị hiện nay là phẫu thuật loại bỏ nang răng. Mức độ phức tạp của quá trình điều trị phụ thuộc vào mức độ tiến triển của nang răng, cụ thể:
4.1. Nang răng nhỏ và chưa ảnh hưởng đến xương răng
Nang răng phát hiện sớm có kích thước nhỏ và chưa gây ảnh hưởng tới quá ⅓ xương răng sẽ dễ dàng thực hiện phẫu thuật loại bỏ và bảo tồn được phần xương răng.
Bác sĩ cần mổ hở và loại bỏ nang răng, tiến hành điều trị tủy răng để triệt tiêu ổ viêm. Các vùng viêm quanh răng được loại bỏ, ống tủy được hàn lại. Răng sau một thời gian sẽ phục hồi.
4.2. Nang răng phát triển và khiến tiêu xương quá ⅓ răng
Đây được xét là trường hợp nặng. Lúc này, ngoài việc loại bỏ nang răng thì người bệnh còn phải thực hiện nhổ bỏ răng.
Sau khi nhổ bỏ răng sẽ tạo ra một lỗ hổng vùng xương hàm. Trường hợp lỗ hổng này có kích thước nhỏ thì gần như không cần can thiệp. Xương hàm sẽ tự sinh và lấp đầy. Trường hợp kích thước lỗ hổng lớn, các bác sĩ sẽ chủ động lấp đầy bằng các vật liệu trám răng tự thân như vạt xương, cơ….. hoặc sử dụng chất trám răng chuyên dụng của nha khoa,.. Sau khi loại bỏ răng, để tránh trường hợp tiêu xương hàm dẫn đến biến dạng gương mặt, cách tốt nhất là thực hiện trồng răng Implant để không làm ảnh hưởng chức năng ăn nhai, thẩm mỹ hàm cũng như thẩm mỹ gương mặt sau này.
5. Mổ nang răng có đau không?
Mổ nang răng có đau không phụ thuộc vào mức độ phát triển của nang răng
Rất khó trả lời mổ nang răng có đau không bởi còn phụ thuộc vào ngưỡng chịu đau của người bệnh cũng như mức độ nang răng. Tuy nhiên, trong quá trình mổ nang răng, các bác sĩ sẽ sử dụng thuốc giảm đau hoặc gây tê để quá trình thực hiện không diễn ra đau đớn. Các trường hợp nang răng nhẹ thì có thể chỉ hơi nhói sau cuộc phẫu thuật. Các trường hợp nhổ cần nhổ răng, điều trị tủy có thể sẽ hơi đau một vài ngày khi vết thương dần hồi phục.
Để giảm đau sau khi mổ nang răng, người bệnh cần tuân thủ nghiêm chế độ chăm sóc. Đặc biệt là chế độ ăn uống để tránh viêm, nhiễm trùng tái phát và nhanh chóng phục hồi.
Nếu sau phẫu thuật, bạn thấy vết mổ không tiêu chỉ, hoặc có hiện tượng mưng mủ, sưng đỏ vùng lợi chân răng cần chủ động đến thăm khám càng sớm càng tốt để được điều trị.
Tóm lại nang chân răng là bệnh lý răng miệng không thể tự khỏi. Bệnh sẽ gây ra những hậu quả nghiêm trọng nếu không được điều trị kịp thời. Chính vì thế, việc chăm sóc sức khỏe răng miệng chủ động. Trong đó có việc thăm khám cùng nha sĩ định kỳ 6 tháng một lần. Thói quen này có ý nghĩa quan trọng giúp phát hiện sớm bệnh lý răng và điều trị sớm. Từ đó giúp bảo vệ tốt nhất chức năng răng và thẩm mỹ hàm răng.

















