Cấp cứu:0901793122
English
Bệnh Viện Đa Khoa Quốc Tế Thu Cúc | TCI Hospital
Chăm sóc sức khoẻ trọn đời cho bạn
Tổng đài1900558892
Răng hàm mặt

Răng hàm mặt

Trang chủ/Sống khỏe/Răng hàm mặt
Cơ hội khám răng miễn phí dịp khai trương Phòng khám

Cơ hội khám răng miễn phí dịp khai trương Phòng khám

Nhân dịp khai trương, Phòng khám ĐKQT Thu Cúc – Thuộc quản lý của Bệnh viện Thu Cúc dành tặng 100 suất khám và tư vấn răng hàm mặt miễn phí cho 100 người bệnh đăng kí sớm nhất. Đây là cơ hội hấp dẫn mà bạn không nên bỏ qua. Tưng bừng khai trương […]
“Trồng răng không đáng sợ như tôi nghĩ”

“Trồng răng không đáng sợ như tôi nghĩ”

Đó cũng những chia sẻ từ cô giáo Thanh Mai, người từng lo lắng đến “mất ăn mất ngủ” khi mất chiếc răng cửa sau 1 lần va chạm. Khác xa với hình ảnh ngại ngùng trong lần đầu đến với phòng khám răng hàm mặt tại Bệnh viện Đa khoa Quốc tế Thu Cúc, […]
Niềng răng trong suốt: Tiến bộ vượt bậc trong chỉnh nha

Niềng răng trong suốt: Tiến bộ vượt bậc trong chỉnh nha

Niềng răng trong suốt, không mắc cài Invisalign là công nghệ hiện đại nhất, bước tiến bộ vượt bậc trong ngành chỉnh nha, xua tan đi nỗi lo sợ thiếu thẩm mỹ, ê buốt và khó vệ sinh trong quá trình niềng. Đem lại hiệu quả thẩm mỹ vượt trội trong suốt quá trình niềng […]
Chuyên gia bật mí lý do nên phục hình răng ngay sau khi mất

Chuyên gia bật mí lý do nên phục hình răng ngay sau khi mất

Nhiều người vì các lý do chủ quan và khách quan thường không quan tâm khi bị mất 1,2 chiếc răng, tuy nhiên theo các bác sĩ nha khoa, bạn nên nhanh chóng phục hình răng ngay sau khi răng mất để tránh nhiều nguy cơ có thể xảy ra. Mất răng: Tưởng chuyện nhỏ, […]
Top 5 ưu điểm vượt trội chỉ có ở niềng răng Invisalign

Top 5 ưu điểm vượt trội chỉ có ở niềng răng Invisalign

Theo Bác sĩ Nha khoa CKII Nguyễn Thị Thái (Bệnh viện ĐKQT Thu Cúc), niềng răng Invisalign không mắc cài sở hữu nhiều ưu điểm vượt trội, đang ngày càng được nhiều người lựa chọn để chỉnh sửa những khuyết điểm về răng và cung hàm của mình. Trong những năm gần đây, niềng răng […]
Cấy ghép Implant: Cười đẹp – Ăn ngon – Xinh tươi đón Tết

Cấy ghép Implant: Cười đẹp – Ăn ngon – Xinh tươi đón Tết

Những ngày Tết nô nức niềm vui đang đến rất gần, đừng để những nỗi phiền toái do bị mất răng “gõ cửa” vì đã có cấy ghép Implant – giải pháp tối ưu thay thế răng đã mất giúp bạn có được niềm vui trọn vẹn đón Xuân mới về. Phục hình răng ngày […]
Đón Xuân sang, rạng rỡ nụ cười cùng niềng răng Invisalign

Đón Xuân sang, rạng rỡ nụ cười cùng niềng răng Invisalign

Tết là dịp để người thân, bạn bè, họ hàng gặp gỡ và chúc nhau những điều tốt lành. Chính vì vậy, chăm chút cho nhan sắc là việc làm cần thiết để niềm vui thêm trọn vẹn, cũng như khởi đầu một năm mới đầy may mắn. Sở hữu một nụ cười xinh tươi […]
Những điều cần lưu ý sau khi lấy cao răng

Những điều cần lưu ý sau khi lấy cao răng

Sau khi lấy cao răng, men răng vẫn còn yếu và đang trong quá trình phục hồi, do đó việc chăm răng lúc này là điều vô cùng cần thiết. Hãy tham khảo những thông tin dưới đây để nắm rõ hơn những điều cần lưu ý sau khi lấy cao răng nhé: 1. Tầm […]
Viêm lợi trùm là gì?người đang mọc răng khôn

Viêm lợi trùm là gì?người đang mọc răng khôn

Viêm lợi trùm là bệnh lý răng miệng thường xuất hiện ở người đang mọc răng khôn. Bệnh gây đau, ảnh hưởng đến sinh hoạt của người bệnh. Nếu không được điều trị kịp thời có thể xảy ra biến chứng nguy hiểm. Viêm lợi trùm là gì? Viêm lợi trùm là tình trạng phần […]
Nguyên nhân nào dẫn đến viêm lợi?

Nguyên nhân nào dẫn đến viêm lợi?

Viêm lợi là một trong những bệnh lý răng miệng phổ biến, có thể xảy ra ở mọi đối tượng, mọi lứa tuổi. Mặc dù đây không phải là bệnh lý nguy hiểm nhưng lại là khởi nguồn của nhiều bệnh lý khác. Dưới đây là những nguyên nhân dẫn đến viêm lợi. Viêm lợi […]
Bệnh viêm nha chu là gì? Dấu hiệu của bệnh ra sao?

Bệnh viêm nha chu là gì? Dấu hiệu của bệnh ra sao?

Bệnh viêm nha chu là bệnh lý về răng miệng phổ biến. Đây cũng là nguyên nhân chính gây ra tình trạng mất răng hàng loạt. Vậy bệnh nha chu là gì? Dấu hiệu của bệnh ra sao? Bạn có thể tham khảo những thông tin dưới đây: 1. Nha chu là gì? Nha chu […]
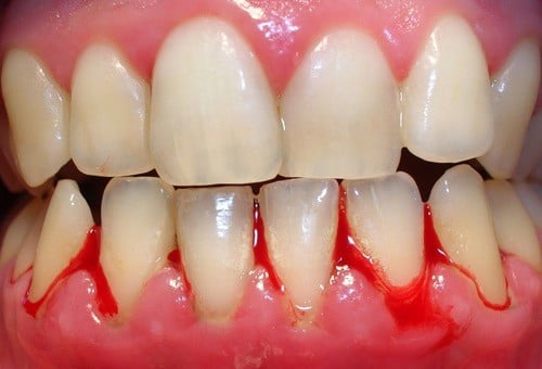
Chảy máu chân răng cảnh báo bệnh gì?

Chảy máu chân răng cảnh báo bệnh gì?

Nếu chỉ cần một tác động nhỏ như chải răng thậm chí ấn nhẹ vào lợi cũng khiến bạn bị chảy máu chân răng thì có nghĩa là răng lợi của bạn đang phát tín hiệu mắc bệnh. Khi thường xuyên chảy máu chân răng bạn hãy đi kiểm tra và điều trị kịp thời […]
Liệu trình chăm sóc răng miệng tiêu chuẩn Nhật Bản

Liệu trình chăm sóc răng miệng tiêu chuẩn Nhật Bản

Vi khuẩn, chất nhầy, vụn thức ăn tích tụ trong nướu sẽ gây viêm, nhiễm trùng từ đó khiến hàm răng của bạn không được khỏe mạnh, làm bạn thiếu tự tin trong giao tiếp. Liệu trình chăm sóc răng miệng tiêu chuẩn Nhật Bản tại Bệnh viện Đa khoa Quốc tế Thu Cúc giúp […]
Điều trị các bệnh lý nha khoa bằng Laser

Điều trị các bệnh lý nha khoa bằng Laser

Sở hữu nhiều ưu điểm hơn so với các phương pháp truyền thống, điều trị các bệnh lý bằng Laser là một trong những phương pháp được sử dụng phổ biến trong điều trị nha khoa. Thủ thuật này gây ít tổn thương, rút ngắn thời gian, giảm thiểu nhiễm trùng do vi khuẩn,… nên […]
Bệnh nướu răng và cách chăm sóc răng miệng

Bệnh nướu răng và cách chăm sóc răng miệng

Bệnh nướu răng là bệnh lý răng miệng phổ biến ở nhiều người, có thể xảy ra ở mọi lứa tuổi, mức độ từ nặng tới nhẹ. Viêm nướu răng sẽ không gây nguy hiểm nếu được phát hiện và điều trị sớm ngay từ những giai đoạn đầu của bệnh. Ngược lại, nếu để […]
Nguyên nhân gây sâu răng và cách phòng tránh

Nguyên nhân gây sâu răng và cách phòng tránh

Sâu răng là bệnh lý phổ biến, có thể gặp ở mọi lứa tuổi. Ngoài việc gây đau nhức và những biến chứng như viêm tủy, viêm quanh chân răng, sâu răng còn làm hơi thở hôi, có mùi, gây cản trở quá trình giao tiếp. Vậy đâu là nguyên nhân sâu răng và cách […]
1900558892
zaloChat