Chân răng bị sưng mủ là bệnh gì?
Sưng mủ là biểu hiện tiêu biểu của việc bị nhiễm trùng tại chỗ. Chân răng bị sưng mủ là triệu chứng cho thấy phần chân răng đã bị nhiễm trùng, hình thành nên mủ. Đây là một dấu hiệu của bệnh viêm chân răng có mủ. Bệnh cảnh báo sức khỏe răng miệng của bạn đang gặp phải các vấn đề nghiêm trọng. Bài viết dưới đây sẽ cho bạn biết thêm những thông tin cơ bản về căn bệnh này: nguyên nhân, dấu hiệu cũng như cách điều trị bệnh.
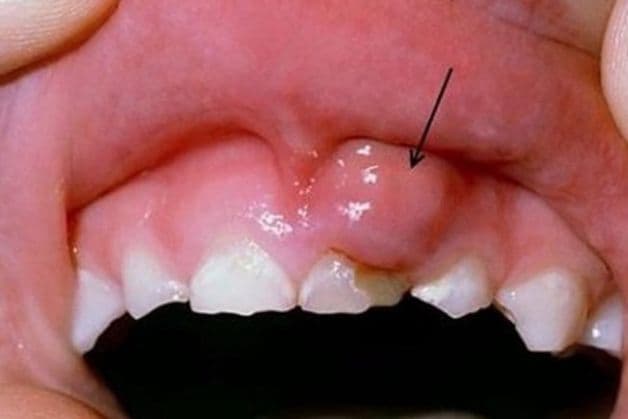
Hình ảnh minh họa chân răng bị sưng mủ.
1. Viêm chân răng có mủ là gì?
Viêm chân răng có mủ là tình trạng chân răng bị sưng mủ do nhiễm trùng hoặc lan ra các bộ phận khác. Để hiểu rõ hơn, cần chú ý đến cấu tạo của răng. Răng người gồm có 3 bộ phận: men răng, ngà răng và tủy răng. Men răng là lớp cứng ngoài cùng có nhiệm vụ bảo vệ răng, đây là lớp bảo vệ răng khỏi các axit gây hại. Khi men răng bị bào mòn là lúc răng dễ gặp các bệnh lý. Ngà răng và tủy răng nằm ở giữa, kết hợp với hệ thống mạch máu và dây thần kinh để kết nối răng với hệ thần kinh qua 1 lỗ ở đỉnh của chân răng hay còn gọi là cuống răng. Chân răng nằm sâu bên trong, không thể nhìn thấy bằng mắt thường. Lợi bao phủ bên ngoài xương ổ răng – đây là nơi bao bọc chân răng.
Như vậy, viêm chân răng là khi tủy răng hoặc vùng lợi (nướu) của người bị viêm nhiễm, tạo nên ổ áp xe. Nếu áp xe nhẹ, có thể dùng thuốc điều trị và nhanh chóng khỏi bệnh nhưng nếu chủ quan, để ổ áp xe lâu dài và tiến triển nặng thì có thể gây ra những bệnh lý khác ảnh hưởng sức khỏe toàn thân.
2. Chân răng bị sưng mủ là biểu hiện tiêu biểu của viêm chân răng
Ngoài biểu hiện dễ thấy là mưng mủ ở chân răng, người bệnh mắc viêm chân răng có mủ còn có các biểu hiện bệnh khác như:
– Đau tức ở vùng nướu, cơn đau có thể lan đến đầu, tai, cổ
– Răng đau nhức, đau hơn khi cố gắng ăn nhai hoặc ăn uống đồ nóng, lạnh. Nhiều bệnh nhân không thể ăn nhai bình thường.
– Biểu hiện ở lợi: sưng tấy đỏ, ấn vào thấy mềm, có thể chảy dịch mủ. Bệnh nhân sẽ cảm thấy đỡ đau hơn khi chích, ấn vỡ túi mủ. Bên cạnh đó, lợi trở nên nhạy cảm, dễ chảy máu khi đánh răng hoặc ăn uống.
– Sưng bên mặt có vùng áp xe
– Răng yếu hơn, có biểu hiện lung lay hoặc xỉn màu
– Có hạch ở cằm, cổ
– Miệng hôi
– Nếu để bệnh dai dẳng, bệnh nhân có thể có các cơn sốt
Nhìn chung, biểu hiện của bệnh viêm chân răng có mủ rất dễ nhận biết. Khi thấy các dấu hiệu bất thường, bạn nên đến gặp các bác sĩ nhanh chóng để được thăm khám và chẩn đoán kịp thời. Tuyệt đối không tự ý thường xuyên chích vỡ các bọc mủ và bỏ qua việc điều trị hoặc tự điều trị tại nhà.
Khi thấy có dấu hiệu bất thường cần đến gặp bác sĩ để được điều trị kịp thời.
3. Các tác nhân gây bệnh viêm chân răng có mủ
Một số nguyên nhân gây bệnh có thể kể đến như:
– Răng mọc lệch, đặc biệt thường xuyên xảy ra với trường hợp răng khôn mọc lệch
– Răng bị chấn thương khớp cắn
– Biến chứng bệnh tiểu đường
– Đề kháng kém, cơ thể dễ bị nhiễm khuẩn
– Bệnh viêm quanh răng hay còn gọi là nha chu viêm: viêm lợi hay viêm nướu xảy ra khi vệ sinh răng miệng kém, không làm sạch các kẽ răng khiến vi khuẩn sinh sôi, không lấy cao răng định kỳ hình thành các mảng bám cứng đầu, lợi bị tổn thương do tăm, cắn dị vật,… Viêm lợi không được điều trị dứt điểm sẽ khiến lợi phì đại, đau nhức, khó chịu, dễ chảy máu, gây hôi miệng. Lâu ngày vi khuẩn tích tụ sẽ hình thành ổ áp xe, lợi suy yếu dễ tụt khiến răng bị lung lay, yếu dần. Khi này, bệnh đã chuyển trạng thái sang viêm nha chu, đe dọa mất răng.
– Viêm tủy răng gây ra do nhiều lý do trong đó có sâu răng không được điều trị kịp thời và dứt điểm. Tủy răng là bộ phận không hồi phục, khi bị vi khuẩn xâm nhập thì sẽ chết dần, nhiễm trùng lan sâu xuống gây nên các ổ áp xe, tạo bọc mủ ở chân răng và cuống răng. Nếu nhiễm trùng lan sang các chân răng khác thì tình trạng lúc này khá tồi tệ, hậu quả lớn nhất là tạo ổ mất sương và phải nhổ bỏ răng. Nhổ bỏ răng là phương án tồi tệ nhất khi không thể bảo tồn được răng.
4. Điều trị bệnh như thế nào?
Cách tốt nhất để điều trị dứt điểm bệnh là gặp bác sĩ nha khoa. Qua thăm hỏi tình trạng bệnh và thăm khám trực tiếp, các bác sĩ sẽ đưa ra phác đồ điều trị phù hợp với từng tình trạng bệnh nhân. Bác sĩ điều trị bệnh đảm bảo nguyên tắc:
– Bảo tồn răng
– Cô lập ổ nhiễm trùng, không để lây lan sang các chân răng khác
– Loại bỏ ổ nhiễm
– Thuyên giảm các triệu chứng khó chịu, đảm bảo quá trình ăn uống được bình thường
Lấy sạch cao răng là một phương pháp loại bỏ ổ viêm nhiễm.
Bác sĩ có thể thực hiện điều trị bệnh, loại bỏ ổ viêm nhiễm bằng các biện pháp:
– Chích rạch ổ áp xe, loại bỏ dị vật mắc ở vùng lợi nếu có
– Tiến hành làm sạch chân răng, lấy vôi răng
– Lấy tủy răng, làm sạch và phục hình bằng phương pháp trám răng hoặc làm răng sứ
– Cắt cuống răng để loại bỏ ổ nhiễm trùng ở cuống răng
– Nhổ bỏ răng khi không thể thực hiện các biện pháp khác. Bên cạnh đó cần cạo hết vùng viêm nhiễm sâu trong xương và tạo hình răng bằng các phương pháp phù hợp. Nếu viêm nhiễm lan rộng, có thể cần nhổ bỏ cả các răng liên quan để điều trị tận gốc.
– Kê đơn thuốc giúp kiểm soát tình trạng viêm nhiễm, kiểm soát đường huyết,…
Quá trình điều trị và hồi phục cần tuyệt đối tuân theo chỉ định và hướng dẫn của bác sĩ. Các bác sĩ điều trị cần có chuyên môn cao, có kinh nghiệm và thực hiện tại nơi có trang thiết bị đạt tiêu chuẩn, vô trùng.
Cách tốt nhất để phòng tránh và giúp điều trị bệnh nhanh chóng, triệt để đó chính là thăm khám nha khoa định kỳ giúp sớm phát hiện các vấn đề bất thường. Không chỉ bệnh viêm chân răng có mủ mà còn rất nhiều bệnh lý nha khoa khác luôn rình rập, đe dọa sức khỏe răng miệng của bạn khi bạn không chăm sóc cẩn thận. Hãy đến với Nha khoa Thu Cúc TCI, bạn sẽ được chăm sóc sức khỏe răng miệng bởi các bác sĩ chuyên môn cao, giàu kinh nghiệm làm việc trong lĩnh vực Răng Hàm Mặt. Cùng với các trang thiết bị tiên tiến, hiện đại, Thu Cúc TCI chăm sóc sức khỏe trọn đời cho bạn.


















