Sưng nướu răng có mủ và những thông tin bạn cần biết!
Nướu là một trong những bộ phận rất dễ bị tổn thương ở khoang miệng. Đây là vị trí nhạy cảm rất dễ bị viêm nhiễm mà người bệnh khó có thể nhận biết ở trong giai đoạn đầu. Sưng nướu răng có mủ là tình trạng cho thấy bệnh lý viêm nướu đang ở trong giai đoạn nặng và cần được điều trị càng sớm càng tốt để ngăn ngừa các biến chứng nặng có thể xảy ra.
1. Thế nào là sưng nướu răng có mủ?
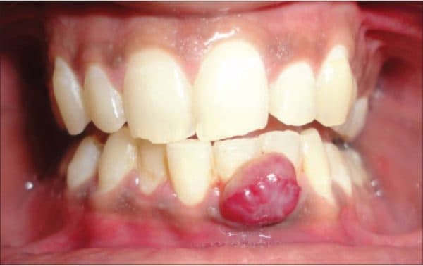
khi nướu bị viêm sưng nặng sẽ xuất hiện tình trạng mưng mủ ở vị trí viêm nhiễm, gây ảnh hưởng lớn đến việc ăn nhai và sinh hoạt hàng ngày của người bệnh.
Lợi viêm và có mủ là tình trạng bệnh lý viêm nhiễm nặng ở miệng khá phổ biến. Đây là bệnh lý có thể xảy ra ở bất cứ ai, ở bất cứ độ tuổi và giới tính nào. Viêm nướu có mủ là một trong những biểu hiện điển hình của tình trạng nhiễm trùng mô nướu.
Khi bị viêm nướu, người bệnh sẽ có thể quan sát vùng nướu quanh chân răng tại vị trí viêm nhiễm có màu đỏ, sưng phồng. Ngoài ra, mủ trắng cũng xuất hiện bên trong vết sưng và có cảm giác đau đớn, khó chịu. Sưng lợi có mủ có thể gây ra rất nhiều biến chứng nguy hiểm như rụng răng, máu bị nhiễm trùng, thậm chí là đe dọa tính mạng nếu người bệnh không thăm khám và điều trị kịp thời.
2. Các nguyên nhân dẫn đến tình trạng sưng nướu răng có mủ
Có rất nhiều nguyên nhân khiến cho lợi sưng và hình thành túi mủ. Sưng nướu có mủ thường xuất hiện do 5 nguyên nhân thường gặp nhất sau đây:
2.1. Do răng mắc các bệnh lý viêm nhiễm
Tủy răng là cơ quan rất nhạy cảm nằm sâu bên trong và có tác dụng nuôi dưỡng răng. Nhiều trường hợp tủy răng bị lộ ra ngoài do răng bị vỡ gãy, sứt mẻ vì tai nạn va chạm hay nhai cắn với lực quá mạnh gây ra sẽ dễ bị viêm nhiễm hơn. Tủy răng viêm mà không được thăm khám và điều trị sớm, bệnh lý sẽ phát triển nặng hơn, xuất hiện túi mủ tại vị trí giữa lợi và nướu hoặc có thể là áp xe chân răng.
Ngoài ra, bệnh lý sâu răng cũng có thể gây ra những tình trạng tương tự như viêm tủy răng nếu như không được điều trị bằng các phác đồ điều trị phù hợp.
2.2. Sưng nướu răng có mủ do bệnh nha chu gây ra
Bệnh lý nha chu thường có 2 giai đoạn phát triển bao gồm viêm lợi và viêm nha chu. Ở trong giai đoạn đầu viêm nướu, người bệnh rất khó có thể nhận biết được bệnh lý bởi các triệu chứng đều không rõ ràng. Hơn nữa, người bệnh cũng thường có tâm lý chủ quan mà không đi thăm khám ngay từ sớm để có thể phát hiện bệnh lý và điều trị. Theo sự phát triển của bệnh nha chu, các triệu chứng càng trở nên rõ ràng hơn.
Khi bệnh lý bắt đầu trở nặng, nướu của người bệnh sẽ có tình trạng sưng rộp, có thể sẽ thấy mủ chảy ra ở vị trí giữa răng và nướu. Nhiều trường hợp sẽ gặp biến chứng áp xe chân răng nếu tình trạng viêm nhiễm mất kiểm soát.
2.3. Phụ nữ đang mang thai và trong quá trình sinh nở
Nội tiết tố thay đổi bất thường cũng là một trong những nguyên nhân khiến nướu bị nhạy cảm hơn bình thường và gây ra hiện tượng viêm mưng mủ.
Khi người phụ nữ mang thai đứa con của mình, nội tiết tố trong cơ thể thay đổi, đặc biệt là Estrogen và Progestin. Khi 2 nội tiết tố này tăng nhanh và nhiều sẽ khiến cho mao mạch ở nướu của mẹ bầu phình to ra nhiều hơn so với bình thường, đi kèm là hình dạng gấp khúc khiến cho huyết dịch bị ứ lại và khiến nướu bị viêm.
Nếu mẹ bầu không chăm sóc và vệ sinh đúng cách thì sẽ khiến cho bệnh thêm nặng hơn, nướu sưng mãi không dứt và dễ bị chảy máu, thậm chí là mưng mủ.
2.4. Răng khôn là một trong những nguyên nhân gây ra tình trạng sưng nướu răng có mủ
Răng khôn mọc lệch, mọc ngầm chính ra một trong những nguyên nhân gây ra rất nhiều bệnh lý ở răng miệng, đặc biệt là viêm nướu răng có mủ. Chính vì vậy, người bệnh cần nhổ bỏ sớm những chiếc răng khôn mọc lệch này càng sớm càng tốt để bảo vệ sức khỏe răng miệng hiệu quả hơn.
2.5. Viêm nướu răng có túi mủ do thói quen chăm sóc răng miệng chưa hiệu quả của người bệnh.
Những người thường có thói quen xấu như dùng răng để mở nắp chai hoặc bao bì thực phẩm, thường xuyên cắn móng tay hoặc đánh răng sai cách đều có thể khiến cho nướu bị tổn thương và gây ra tình trạng viêm nhiễm mưng mủ.
Do đó, người bệnh cần hạn chế các thói quen gây hại cho răng như nhai cắn vật cứng, dùng tăm xỉa răng sau khi ăn hay cắn móng tay,… để hạn chế nguy cơ nướu bị viêm nhiễm.
2.6. Sưng nướu do viêm nhiễm bởi các nguyên nhân khác
Ngoài các nguyên nhân phổ biến trên thì sưng nướu mưng mủ cũng có thể bởi các nguyên nhân khác như:
– Sưng viêm nướu do các tác dụng phụ của một số loại thuốc đặc trị
– Người bệnh đang trong quá trình xạ trị hoặc sử dụng các loại thuốc điều trị ung thư
– Do ăn uống các loại thực phẩm cay nóng trong thời gian dài khiến cho loét miệng, viêm nướu
– Là tình trạng biến chứng của một số bệnh lý toàn thân khác
3. Các triệu chứng của viêm nướu răng có mủ
Ở từng giai đoạn, người bệnh sẽ quan sát được các triệu chứng khác nhau theo mức độ nặng dần.
3.1. Ở giai đoạn mới mắc bệnh
Đây là giai đoạn nướu chưa bị tổn thương nghiêm trọng và người bệnh có thể chủ quan do các triệu chứng không quá nghiêm trọng.
– Khi đánh răng hoặc vệ sinh răng bằng chỉ nha khoa sau khi ăn sẽ có hiện tượng chảy máu chân răng
– Vùng nướu có hiện tượng sưng và đổi màu sang đỏ sẫm hoặc tím chứ không còn hồng hào như khi khỏe mạnh
– Người bệnh sẽ cảm thấy đau nhức khi dùng tay chạm nhẹ vào vùng nướu viêm nhiễm
– Miệng của người bệnh xuất hiện mùi hôi rất khó chịu
3.2. Giai đoạn nặng
Khi bệnh tiến sang giai đoạn nặng và có tính nghiêm trọng, các triệu chứng điển hình như sưng nướu, chân răng chảy máu,… sẽ diễn ra với tần suất thường xuyên hơn kể cả khi không có các tác động từ bên ngoài
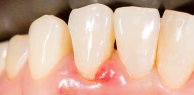
– Vùng nướu bị viêm sẽ xuất hiện các túi mủ khiến cho nướu sưng to, đau nhức cực kỳ khó chịu
– Một vài người bệnh sẽ gặp tình trạng mất ngủ, chán ăn và sốt nhẹ,… khi nướu mưng mủ
– Tụt nướu khiến chân răng lộ ra và đe dọa đến cả chiếc răng vùng viêm nhiễm
– Răng lung lay và có nguy cơ gãy rụng nếu tình trạng viêm nướu cực kỳ nghiêm trọng
Để ngăn ngừa các triệu chứng nặng của viêm nướu có mủ, người bệnh nên chú ý theo dõi sức khỏe răng miệng và đi thăm khám sớm để các bác sĩ có thể điều trị dứt điểm bệnh lý ngay ở giai đoạn đầu của bệnh.
4. Phòng ngừa sưng nướu có mủ hiệu quả bằng cách nào?
Vệ sinh răng miệng sạch sẽ là một trong những phương pháp phòng ngừa viêm nhiễm nướu mưng mủ hiệu quả.
Để nướu luôn khỏe mạnh, người bệnh cần chú ý đến việc giữ khoang miệng luôn sạch sẽ.
– Đánh răng đều đặn hàng ngày với tần suất ít nhất 2 lần/ngày. Hãy học cách đánh răng đúng cách để ngăn ngừa việc mòn men răng, bảo vệ răng hiệu quả
– Lựa chọn các loại bàn chải có sợi lông mềm mại, không quá cứng và kem đánh răng có thành phần fluor giúp răng luôn được bảo vệ
– Sau khi ăn, người bệnh nên vệ sinh răng miệng bằng chỉ nha khoa để đảm bảo các kẽ răng không còn vụn thức ăn mắc lại
– Hạn chế sử dụng các loại thức ăn có chứa hàm lượng chất tạo ngọt cao
– Các loại nước, thức ăn có tính axit cao như nước ngọt, cam, chanh sau khi sử dụng thì người bệnh nên uống hoặc súc miệng bằng nước lọc
– Không dùng răng để cắn các vật cứng như nắp chai, bút,…
– Khám răng định kỳ theo chỉ dẫn của bác sĩ hoặc 6 tháng/lần
– Ngay khi có các dấu hiệu bất thường, người bệnh không được chủ quan mà cần đi khám càng sớm càng tốt
Hy vọng bài viết này sẽ giúp người bệnh hiểu rõ hơn về bệnh lý viêm lợi có mủ và có các phương án phòng ngừa cũng như điều trị thích hợp. Thu Cúc TCI luôn sẵn sàng hỗ trợ giải đáp mọi thắc mắc của người bệnh qua tổng đài của chúng tôi!


















