Bệnh viêm chân răng và cách điều trị, bạn đã biết hay chưa?
Viêm chân răng hay viêm quanh răng/ viêm nha chu là một bệnh lý răng miệng nghiêm trọng. Bệnh có thể phá hủy mô nướu, xương hàm, làm lung lay hoặc thậm chí là rụng răng. Vậy bạn đã biết bệnh viêm chân răng và cách điều trị bệnh viêm chân răng hay chưa? Nếu chưa, bài viết này, với đầy đủ thông tin vê viêm chân răng, chắc chắn sẽ hữu dụng với bạn.
1. Tổng quan về viêm chân răng
1.1. Triệu chứng viêm chân răng
Bên cạnh sâu răng và viêm lợi, viêm chân răng thuộc nhóm những bệnh lý răng miệng phổ biến nhất. Vậy, làm thế nào để xác định bản thân có hay không bị viêm chân răng? Là tình trạng viêm các tổ chức xung quanh răng, viêm chân răng có biểu hiện như sau:
– Nướu sưng, đỏ, chảy máu khi vệ sinh răng miệng, ăn nhai và nói chuyện;
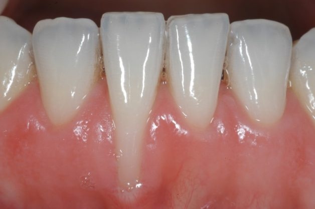
– Nướu tụt làm lộ chân răng, xuất hiện khoảng trống giữa nướu và răng, trong khoảng trống đó có thể có mủ;
– Răng lung lay, đau khi ăn nhai hoặc trở nên nhạy cảm;
– Hôi miệng.

Tụt nướu – dấu hiệu nhận biết bệnh lý viêm chân răng
1.2. Nguyên nhân viêm chân răng
Trong hầu hết các trường hợp, viêm chân răng là do mảng bám – cao răng, tức là do vệ sinh răng miệng kém. Cụ thể, sự phát triển của bệnh lý này diễn ra như sau:
– Hình thành mảng bám: 10 – 15 phút sau khi ăn, trên bề mặt răng sẽ xuất hiện một lớp màng sinh học. Nếu bệnh nhân vệ sinh răng miệng cẩn thận, lớp màng này sẽ được loại bỏ. Tuy nhiên, nếu bệnh nhân không vệ sinh răng miệng cẩn thận trong nhiều ngày, lớp màng này sẽ dày lên. Đến một độ dày nhất định, chúng được gọi là mảng bám.
– Hình thành cao răng: Mảng bám ban đầu rất mềm và rất dễ làm sạch. Tuy nhiên, theo thời gian, trạng thái của mảng bám sẽ thay đổi. Cụ thể, chúng sẽ bị các muối vô cơ có trong nước bọt vôi hóa và trở nên cứng hơn. Lúc này, chúng không còn là mảng bám, mà là cao răng. Cao răng không dễ loại bỏ.
– Viêm lợi: Sự tồn tại của mảng bám – cao răng kích thích phản ứng miễn dịch của cơ thể, làm xuất hiện phản ứng viêm tại mô nướu. Tình trạng mô nướu bị viêm gọi là viêm lợi.
– Viêm chân răng: Viêm lợi không được kiểm soát chặt chẽ sẽ tiến triển đến viêm chân răng.
Ngoài ra, viêm chân răng còn có thể phát sinh do: Thay đổi nội tiết tố, một số bệnh lý toàn thân (HIV/AIDS, bệnh bạch cầu, ung thư, tiểu đường, viêm khớp dạng thấp, bệnh Crohn), thuốc điều trị các bệnh lý toàn thân, tuổi tác, di truyền, dinh dưỡng bất hợp lý (thiếu Vitamin C, thừa cân, suy dinh dưỡng), lạm dụng chất kích thích (hút thuốc lá, uống rượu, bia,…). Hai loại viêm chân răng phổ biến nhất phát sinh do những nguyên nhân này là:
– Viêm chân răng tấn công do di truyền: Dạng viêm chân răng này dẫn đến mất xương và mất răng rất nhanh chóng.
– Viêm chân răng hoại tử do bệnh lý suy giảm miễn dịch (HIV/AIDS, ung thư) và suy dinh dưỡng: Được đặc trưng bởi tình trạng hoại tử mô nướu, dây chằng răng và xương do thiếu nguồn cung cấp máu.

Viêm chân răng có thể là do rối loạn nội tiết tố khi mang thai
1.3. Biến chứng viêm chân răng
Như đã biết, viêm chân răng có thể làm tiêu xương ổ răng, tiêu xương hàm, mất răng hàng loạt. Tuy nhiên, đó chưa phải là tất cả biến chứng của bệnh lý này. Nhiều nghiên cứu y khoa đã chứng minh: Tồn tại khả năng bệnh nhân viêm chân răng mắc thêm các bệnh hô hấp, viêm khớp dạng thấp, bệnh động mạch vành hoặc đột quỵ; do vi khuẩn gây viêm chân răng hoàn toàn có thể di chuyển đến các cơ quan khác của cơ thể thông qua máu.
2. Bệnh viêm chân răng và cách điều trị
Muốn khỏi viêm chân răng, không có cách nào khác là bệnh nhân phải đến ngay cơ sở y tế chuyên khoa răng hàm mặt ngay lập tức để được chuyên gia nha khoa thăm khám và điều trị. Phụ thuộc tình trạng viêm chân răng của từng bệnh nhân, chuyên gia sẽ chỉ định một trong 4 phương pháp sau: Điều trị khẩn cấp, điều trị không phẫu thuật, điều trị phẫu thuật và điều trị duy trì:
2.1. Điều trị viêm chân răng khẩn cấp
Điều trị khẩn cấp được áp dụng nếu bệnh nhân có viêm niêm mạc miệng (niêm mạch miệng sưng, đỏ) hoặc áp xe lợi (lợi đau khi sờ, ấn, chạm). Chuyên gia sẽ kê đơn kháng sinh đường uống cho bệnh nhân để kiểm soát hiện tượng viêm – nhiễm trùng. Tuy nhiên, phương pháp điều trị này không có tính bền vững. Chỉ điều trị bằng nó, viêm chân răng vẫn có thể tái phát cấp tính hoặc âm thầm diễn biến đến mãn tính.
2.2. Điều trị viêm chân răng không phẫu thuật
Phương pháp điều trị này bao gồm các hạng mục:
– Lấy cao răng;
– Kiểm tra trạng thái các miếng trám răng (nếu có), điều chỉnh hoặc thay thế nếu chúng bị trám sai kỹ thuật hoặc trám tạm thời;
– Cố định răng lung lay, nếu có;
– Nhổ răng, nếu răng không thể giữ;
– Bôi thuốc chống viêm, kháng khuẩn lên các vùng viêm.

Muốn khỏi viêm chân răng, bệnh nhân phải đến ngay cơ sở y tế chuyên khoa răng hàm mặt
2.3. Điều trị viêm chân răng phẫu thuật
Khi các phương pháp phía trên đã được áp dụng nhưng không cho hiệu quả như mong muốn, chuyên gia sẽ chỉ định bệnh nhân điều trị phẫu thuật:
– Bỏ túi nha chu: Việc loại bỏ túi nha chu sẽ giúp chuyên gia dễ thao tác vệ sinh mảng bám chứa vi khuẩn trên răng hơn.
– Phẫu thuật tái tạo: Giúp phục hình mô và xương nha chu bị tổn thương sau khi các túi nha chu được tiễu trừ.
– Phẫu thuật ghép mô mềm: Được tiến hành để cải thiện tình trạng tụt lợi – một hệ lụy thường gặp của viêm chân răng.
2.4. Điều trị viêm chân răng duy trì
Là phương pháp điều trị cần phải được tiến hành đều đặn để ngăn ngừa viêm chân răng tái phát và tiến triển. Phương pháp này chủ yếu là các lưu ý vệ sinh răng miệng:
– Vệ sinh răng miệng tại nhà: Thực hiện mỗi ngày; sử dụng bàn chải – kem đánh răng, chỉ nha khoa, tăm nước và nước súc miệng để loại bỏ mảng bám.
– Vệ sinh răng miệng chuyên sâu tại phòng nha: Để loại bỏ cao răng.
Như vậy, Thu Cúc TCI đã chia sẻ phía trên mọi thông tin về bệnh viêm chân răng và cách điều trị. Nếu còn thắc mắc, đừng ngần ngại, liên hệ ngay Thu Cúc TCI để được tư vấn chi tiết mọi băn khoăn, bạn nhé!