Tình trạng viêm chân răng có mủ – cảnh báo sức khỏe răng miệng
Tình trạng viêm chân răng có mủ tưởng chừng đơn giản nhưng lại tiềm ẩn nhiều vấn đề. Đây có thể chính là lời cảnh báo cho sức khỏe răng miệng. Sau đây, ta hãy cùng tìm hiểu về hiện tượng này.
1. Tổng quan tình trạng viêm chân răng có mủ
Chân răng là bộ phận thông thường ta không thể nhìn thấy được trong khoang miệng do bị che phủ bởi nướu răng. Tình trạng viêm chân răng có mủ là hiện tượng tủy hoặc nướu bị tấn công bởi vi khuẩn. Điều này dẫn tới nhiễm trùng và tạo nên ổ áp xe ở vị trí cuống răng, lợi và quanh chân răng. Tình trạng này nếu không được điều trị kịp thời và đúng cách sẽ ảnh hưởng nghiêm trọng tới sức khỏe người bệnh.
1.1 Dấu hiệu nhận biết
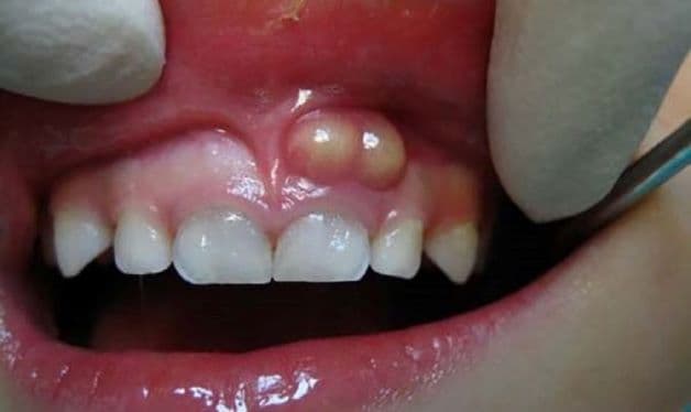
Thông thường, người bị viêm chân răng chứa mủ sẽ có cảm giác đau nhói ở vùng chân răng. Phần nướu bao quanh xuất hiện tình trạng viêm. Cùng với đó, bệnh nhân có thể xuất hiện một số triệu chứng khác như:
– Đau lan ra toàn hàm, đến tai và cổ. Tình trạng đau nặng hơn khi người bệnh nằm nghiêng về bên bị viêm hoặc trong quá trình ăn nhai.
– Mặt bị sưng ở bên có chân răng viêm.
– Nướu răng đỏ, sưng to, nóng và mềm hơn.
– Răng nhạy cảm, ê buốt hơn bình thường.
– Răng bị viêm có cảm giác cao hơn những răng bình thường.
– Răng đổi màu hoặc có biểu hiện lung lay.
– Hơi thở có mùi hôi khó chịu.
– Sốt.
1.2 Các dạng bệnh viêm chân răng có mủ
Viêm chân răng chứa mủ có 3 dạng cơ bản
Viêm chân răng chứa mủ được chia làm 3 dạng cơ bản được xác định tùy theo vị trí ảnh hưởng:
– Viêm quanh chóp răng: Đây là tình trạng viêm xảy ra ở phần đầu chân răng. Điều này là do vi khuẩn xâm nhập vào tủy răng qua một số lỗ ở trên chóp răng dẫn tới viêm nhiễm.
– Viêm xung quanh răng: Tình trạng viêm này xảy ra ở trên nướu, xương ổ răng và dây chằng. Nguyên nhân dẫn tới viêm là do chấn thương. Vấn đề này nếu không được điều trị kịp thời sẽ gây lây lan tới các phần mô và xương quanh chân răng.
– Viêm nướu: Viêm nướu là khi nướu quanh chân răng bị sưng và viêm. Nướu sưng to, xuất hiện mủ. Lý do gây nên tình trạng này có thể là mắc xương cá, lông bàn chải đánh răng, … Chúng găm vào nướu hoặc do thói quen dùng tăm xỉa răng, sơ suất khi sử dụng chỉ nha khoa.
2. Nguyên nhân gây viêm chân răng
Viêm chân răng mủ thường bắt nguồn từ việc phần nướu bao bọc quanh chân răng bị viêm nhiễm. Nướu sưng phồng và phần chân răng có dấu hiệu chảy máu âm ỉ. Sau khoảng một vài ngày, phần nướu bị sưng sẽ xuất hiện mủ. Đây là dấu hiệu cảnh báo nhiều bệnh lý nguy hiểm tới người bệnh.
Viêm chân răng chứa mủ thường do 2 nguyên nhân sau: Viêm nha chu và viêm tủy răng.
2.1 Bệnh viêm nha chu
Khi quá trình vệ sinh răng miệng không được đảm bảo sẽ dẫn tới thức ăn đọng lại lâu trong kẽ răng. Lâu ngày, chúng nằm sâu phía dưới lợi không được lấy ra hoặc lợi bị vật nhọn đâm phải gây tổn thương sẽ dẫn tới viêm lợi. Khi bệnh viêm lợi xuất hiện, người bệnh sẽ có những biểu hiện như hôi miệng, nướu dễ chảy máu khi chải hoặc hoặc sưng, phù nề, đỏ, phì đại che mất một phần của thân răng.
Nếu tình trạng viêm lợi không được điều trị kịp thời sẽ dễ khiến cho vi khuẩn thêm phát triển, gây nhiễm trùng. Khi đó, phần chân răng sẽ xuất hiện mủ, abscess lợi, phần xương bọc quanh chân răng bị tiêu và răng bị lung lay do tụt lợi. Lúc ấy, bệnh đã chuyển từ viêm lợi sang thành viêm nha chu. Tiếp tục để lâu, không được chăm sóc, điều trị phù hợp, đây sẽ là nguyên nhân dẫn tới mất răng hàng loạt.
2.2 Bệnh của tủy răng
Khi răng bị sâu, chấn thương hay nhiễm trùng lâu ngày sẽ lan xuống tới cuống răng. Từ đó, phần tủy răng bên trong cũng sẽ bị ảnh hưởng theo. Khi vi khuẩn từ lỗ sâu răng sẽ đi xuống tủy. Lỗ sâu càng to sẽ càng khiến cho phần tủy răng trực tiếp tiếp xúc với môi trường khoang miệng. Điều này khiến cho vi khuẩn từ bên ngoài tấn công vào dọc theo chân răng. Hoặc cũng có thể tình trạng này sẽ gây chấn thương khiến tủy răng bị sang chấn. Lâu dần, tủy răng bị nhiễm trùng và dẫn tới chết tủy.
Ngoài ra, viêm chân răng mủ cũng do một số nguyên nhân khác như răng bị chấn thương khớp cắn, nội tiết hoặc răng lệch lạc, …
3. Điều trị viêm chân răng
Để điều trị viêm chân răng chứa mủ đạt hiệu quả triệt để, người bệnh cần kết hợp điều trị với bác sĩ và quá trình chăm sóc tại nhà sau điều trị.
3.1 Quá trình điều trị
Điều trị viêm chân răng chứa mủ, bác sĩ thường sẽ lựa chọn một trong những phương pháp sau:
– Dẫn lưu khối mủ: Với phương pháp này, bác sĩ sẽ cắt một vết nhỏ tại vị trí viêm chân răng. Điều này để thực hiện dẫn lưu khối mủ. Bước tiếp theo sẽ tiến hành vệ sinh sạch khu vực bị viêm. Điều này sẽ giúp tránh được tình trạng viêm lây lan sang các vị trí lân cận.
Bác sĩ thực hiện lấy tủy răng nhằm giữ lại răng sâu hoặc răng bị viêm chân
– Lấy tủy răng: được chỉ định khi viêm quanh răng có tổn thương vào tủy hoặc do sâu răng làm viêm tủy, viêm quanh cuống, lúc này bác sĩ sẽ thực hiện quy trình điều trị tủy răng hoặc có thể kết hợp phẫu thuật nạo nang răng hoặc cắt cuống tùy từng trường hợp cụ thể.
– Nhổ răng: Trong trường hợp tình trạng viêm chân răng quá nghiêm trọng, răng hư hỏng nặng mà không bảo tồn được, thì bác sĩ sẽ chỉ định nhổ bỏ răng. Sau đó, quá trình làm sạch ổ viêm sẽ được tiến hành.
– Sử dụng thuốc kháng sinh để điều trị là một trong những phương pháp được bác sĩ chỉ định kết hợp với các thủ thuật tại chỗ.
Tiểu phẫu để loại bỏ dị vật gây viêm chân răng
– Các thủ thuật tại chỗ: tùy từng nguyên nhân và tính chất mức độ viêm mà bác sĩ sẽ chỉ định các thủ thuật tại chỗ để loại bỏ nguyên nhân (như dị vật, cao răng,…) và làm sạch ổ viêm.
3.2 Quá trình sau điều trị
Quá trình sau điều trị viêm chân răng chứa mủ cũng rất cần lưu ý. Điều này để vết thương nhanh lành và tránh tình trạng viêm chân răng tái phát sau điều trị:
– Chú ý chải răng sau mỗi bữa ăn, trước khi đi ngủ. Bên cạnh đó, bệnh nhân nên kết hợp sử dụng chỉ nha khoa để tăng hiệu quả làm sạch.
– Súc miệng hàng ngày với nước muối loãng ấm. Thói quen này sẽ giúp tiêu diệt vi khuẩn trong khoang miệng một cách hiệu quả.
– Thực hiện lấy cao răng và khám răng định kì 2 lần/năm.
Trên đây là những điều cơ bản cần biết về viêm chân răng xuất hiện mủ. Chúng ta hãy cùng lưu lại và vận dụng trong trường hợp cần thiết.


















