Trường hợp nào cần chỉ định chụp MRI sọ não?
Chụp cộng hưởng từ sọ não là kỹ thuật chẩn đoán hình ảnh ưu việt hàng đầu hiện nay. Với khả năng chụp chi tiết và sắc nét, chụp MRI cho ra những hình ảnh cấu trúc sọ não rõ ràng và chi tiết hơn hẳn các phương pháp khác. Chính vì vậy mà chụp MRI sọ não là phương pháp hiệu quả giúp phát hiện các bệnh lý liên quan đến thần kinh và não bộ. Vậy khi nào cần chụp MRI? Hãy theo dõi bài viết dưới đây để biết những trường hợp nào cần chỉ định chụp MRI sọ não nhé!
1. Chụp MRI sọ não là gì?
Chụp MRI sọ não là kỹ thuật chẩn đoán hình ảnh không xâm lấn, không sử dụng bức xạ như những phương pháp chẩn đoán hình ảnh khác giúp tạo ra hình ảnh chi tiết về các cấu trúc nội sọ. Chụp MRI tạo ra hình ảnh bằng cách sử dụng từ trường và sóng radio kích thích các nguyên tử Hydrotrong cơ thể. Khi bị kích thích các nguyên tử này sẽ phát ra tín hiệu, những tín hiệu này sẽ được máy thu lại để tạo ra hình ảnh chi tiết.
Hình ảnh thu được là các mặt cắt ngang của sọ não sẽ được thể hiện qua hình ảnh trắng đen. Máy MRI cũng có thể chuyển đổi hình ảnh của vùng được khảo sát thành dạng 3D nhằm giúp bác sĩ có thể dễ dàng xác định các bất thường trong não hơn. Chính vì vậy, phương pháp này còn được áp dụng phổ biến trong việc chẩn đoán các bệnh lý thần kinh và não bộ. Chụp cộng hưởng từ não là phương pháp hữu ích giúp phát hiện một số tình trạng của não, bao gồm: tổn thương tủy sống, não úng tủy, sự tích tụ của chất lỏng tủy sống trong các khoang não, chứng phình động mạch hoặc phình mạch máu não trong bệnh đa xơ cứng.

Phương pháp chụp MRI sọ não
2. Quy trình chụp MRI sọ não
– Đầu tiên bệnh nhân sẽ được kỹ thuật viên giải thích về phương pháp chụp, thay trang phục chụp chuyên dụng, đeo tai chụp chống ồn và tháo bỏ tất cả các vật kim loại có từ tính trong cơ thể. Tại vì những vật này sẽ ảnh hưởng đến chất lượng hình ảnh khi chụp.
– Bệnh nhân sẽ di chuyển vào phòng chụp, kỹ thuật viên sẽ yêu cầu bệnh nhân nằm ngửa trên bàn chụp. Lưu ý là bệnh nhân phải nằm yên trong quá trình chụp để hình ảnh thu về được rõ nét nhất.
– Sau đó, kỹ thuật viên sẽ điều khiển bàn chụp di chuyển từ từ vào trong khoang máy.
– Kỹ thuật viên tiến hành chụp ảnh não bộ. Bệnh nhân sẽ giao tiếp với kỹ thuật viên thông qua một micro gắn trong khoang máy.
– Trong một số trường hợp, bệnh nhân có thể được tiêm thuốc đối quang từ. Thuốc này sẽ giúp nhìn rõ hơn một số bộ phận nhất định của não, đặc biệt là các mạch máu.
– Kết thúc quá trình chụp, bệnh nhân sẽ ngồi chờ kết quả và tư vấn về tình trạng sức khỏe từ bác sĩ chuyên khoa.

Bệnh nhân sẽ được mặc quần áo chuyên dụng và đeo tai nghe để chống ồn
3. Ưu điểm và nhược điểm của phương pháp chụp MRI sọ não
3.1. Ưu điểm
Để so sánh với những phương pháp chẩn đoán hình ảnh khác, chụp cộng hưởng từ sọ não luôn được các bác sĩ đánh giá cao bởi những ưu điểm sau:
– Là kỹ thuật chẩn đoán hình ảnh an toàn, không xâm lấn. Có thể áp dụng được với người già, phụ nữ mang thai và trẻ em. Bởi vì phương pháp không sử dụng tia bức xạ nên có tính an toàn cao và có thể chụp nhiều lần.
– Có thể đánh giá các cấu trúc theo nhiều hướng khác nhau, tạo lập hình ảnh 3D của cấu trúc sọ não.
– Hình ảnh chụp MRI có độ tương phản, độ sắc nét cao đem lại hình ảnh chi tiết của các cơ quan rất tốt. Điều này giúp bác sĩ phát hiện tốt những tổn thương hay các vấn đề bất thường liên quan đến mạch máu và não bộ. Từ đó giúp phát hiện chính xác các bệnh lý não bộ như các khối u, nang, xuất huyết, phù nề, nhiễm trùng, chấn thương,… Đây cũng là phương pháp giúp đánh giá và phát hiện sớm nguy cơ đột quỵ, nguyên nhân dẫn đến tử vong hàng đầu hiện nay.
– Chụp MRI sọ não còn có thể cho ra kết quả với những cơ quan hay phần xương bị che khuất, khó quan sát.
3.2. Nhược điểm
Có thể nói hiện nay, phương pháp chụp MRI mang lại rất nhiều lợi ích nhưng bên cạnh đó phương pháp vẫn còn những nhược điểm sau:
– Do người bệnh sẽ được đưa vào khoang chụp kín trong máy nên với những bệnh nhân sợ không gian hẹp sẽ không được chỉ định chụp phương pháp này.
– Phương pháp không được khuyến nghị với những bệnh nhân có đặt các thiết bị kim loại trong cơ thể như răng giả, máy tạo nhịp tim, máy thính giác,…
– Trong phòng chụp không được mang thiết bị hồi sức, nên với những bệnh nhân đang nguy kịch nếu lựa chọn thực hiện phương pháp này sẽ tương đối rủi ro.
– Thiết bị chụp chỉ được đặt cố định trong một phòng riêng nên không thể di chuyển nếu trường hợp cần chụp cấp cứu.
– So với các phương pháp chẩn đoán hình ảnh khác thì chụp cộng hưởng từ có chi phí khá cao.
4. Những trường hợp cần chỉ định chụp MRI sọ não
4.1. Trường hợp chỉ định chụp MRI sọ não
Với những trường hợp bệnh sau, bệnh nhân sẽ được bác sĩ chỉ định chụp MRI sọ não:
– Thường xuyên đau đầu ở các mức độ khác nhau, trí nhớ kém, chóng mặt kéo dài không có chiều hướng cải thiện.
– Bệnh nhân gặp vấn đề về giấc ngủ diễn ra thường xuyên như mất ngủ, rối loạn giấc ngủ,…..
– Người bệnh bị chấn thương sọ não do tai nạn, té ngã hay bất kể một va chạm nào ở phần đầu.
– Xuất hiện các dấu hiệu như miệng méo, mặt méo, khó nói, khó nghe, cứng gáy, nôn vọt, co giật, động kinh,…
– Có biểu hiện nghi ngờ khối u não, u dây thần kinh sọ não.
– Các trường hợp bị tai biến, nhồi máu não, xuất huyết, viêm não và màng não.
– Có dị tật bẩm sinh ở não như khuyết, teo não,…
– Có các bệnh lý liên quan đến mạch não như dị dạng, xung đột dây thần kinh – mạch máu,…
– Theo dõi sau khi phẫu thuật não để đánh giá khả năng hồi phục và phát hiện sớm nếu có biến chứng xảy ra.

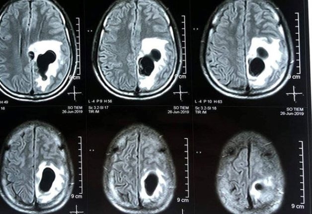
Hình ảnh u não phát hiện qua hình ảnh chụp cộng hưởng từ
4.2. Trường hợp chống chỉ định chụp MRI sọ não
Trong một số trường hợp, bệnh nhân được các bác sĩ khuyến cáo không nên thực hiện chụp cộng hưởng từ não bộ:
– Bệnh nhân đã và đang đặt các thiết bị hỗ trợ bằng kim loại bên trong cơ thể như máy tạo nhịp tim, máy kích thích thần kinh, máy bơm tiêm tự động cấy trong người, clips mạch máu, máy nghe gắn liền trong ốc nhĩ,….
– Bệnh nhân có sử dụng kim loại trong phẫu thuật chỉnh hình như thay khớp nhân tạo và các vật liệu kết hợp xương (vis, nẹp…), đã mổ thay van tim và van đó có thành phần kim loại, vật liệu hàn răng cố định,…
– Bệnh nhân đang mang thai dưới 3 tháng không nên chụp vì sẽ ảnh hưởng đến thai nhi trong bụng.
– Các trường hợp người bệnh không thể nằm bất động được có thể do run tay, lo lắng…
– Bệnh nhân có hội chứng sợ buồng kín.
Hiện nay, có rất nhiều cơ sở y tế cung cấp dịch vụ chụp cộng hưởng từ não bộ tại Hà Nội. Bệnh nhân có thể cân nhắc các cơ sở phù hợp với nhu cầu của bản thân. Nếu vẫn đang còn phân vân nên chọn cơ sở nào đảm bảo chất lượng tốt và độ chính xác cao, bài viết xin phép gợi ý Hệ thống y tế Thu Cúc TCI.
Với nhiều năm cung cấp dịch vụ khám chữa bệnh tại Hà Nội, Thu Cúc TCI tự tin đem đến cho khách hàng trải nghiệm dịch vụ khám sức khỏe hàng đầu chuẩn quốc tế với đội ngũ y bác sĩ hàng đầu trong ngành. Đặc biệt với dịch vụ chụp cộng hưởng từ tại TCI, bệnh nhân sẽ được trải nghiệm chụp với hệ thống máy móc hiện đại cùng đội ngũ kỹ thuật viên có trình độ chuyên môn cao, đảm bảo quá trình khám an toàn, hiện đại cùng kết quả khám chính xác, hiệu quả cao, chẩn đoán đúng bệnh.
Trên đây là những lưu ý về những trường hợp được chỉ định chụp cộng hưởng từ sọ não. Mong rằng những thông tin trên sẽ phần nào giúp ích cho người bệnh trước khi quyết định thực hiện chụp MRI.